Do You Have a Laser Yet? It’s Time to Get One! by Jerry Clark, DDS, MS




Have you ever completed treatment and ended up with a "gummy" smile (Fig. 1)? Have you ever waited and waited for a canine to erupt so you can bracket the tooth and move forward with treatment? Have you ever completed treatment, had the teeth aligned perfectly, only to find that the gingival heights of some of the maxillary anterior teeth are at different levels adversely effecting the aesthetics of your patient's smile? Have you ever tried to band a second molar and had an operculum obstructing your ability to band the tooth? Have you ever had a patient with poor oral hygiene that presents with inflamed hypertrophic gingival tissues that are growing over the patient's brackets? These are just a few of the problems that can be easily and painlessly eliminated by using a soft-tissue diode laser. Today, for the orthodontist who desires to provide the finest treatment for his or her patients, a soft-tissue laser is an affordable must for your practice. They are easy to use and the positive effect you can have on your patient's orthodontic treatment results are too significant to ignore.

Cost

Today there are many cost-effective soft-tissue diode lasers available to the practicing orthodontist. Since the procedures that are required for orthodontic care are relatively simple, it is not necessary to purchase a high-powered laser. The laser manufacturers, in fact, have developed lasers that are relatively modest in price yet sophisticated enough for any of the needs of an orthodontic practice. Not so long ago, lasers cost between $10,000 and $15,000, but now you can purchase a quality laser from any number of companies for approximately $2,500.* Our practice uses the Picasso Lite (Fig. 2) laser manufactured by AMD but there are many other options available from other manufacturers. If you don't have a laser, now is the time to buy because any additional price reductions in the future are going to be minimal.

Function

Laser stands for light amplification by stimulated emission of radiation. The laser provides a single wavelength light that is focused and extremely powerful. There are a wide variety of wavelengths and watts of power available for all types of surgical procedures. However, for orthodontics we only need an 810nm wavelength and 2.5 watts of power, which is minimal as far as laser technology goes. This is important because 810nm is highly absorbed in hemoglobin and melanin thereby making it perfect for softtissue procedures. This gives the diode laser the ability to easily cut, coagulate, ablate or vaporize soft tissue.

Benefits

No needles! The wonderful thing about using a diode laser is that we can provide some incredible benefits for our patients by removing or recontouring soft tissue while requiring only a topical anesthetic (TAC Alternative - lidocaine-HCL 20%, tetracaine 4%, phenylephrine2%) to accomplish these procedures. The combined local anesthetics are powerful in blocking pain while the phenylephrine promotes local hemostasis. The laser's ability to coagulate the blood also contributes to the lack of bleeding. Postoperatively, most patients report that they felt no pain or discomfort while the surgery was being performed and afterward reported little if any pain or discomfort in the period following the procedure. Our patients have been enthusiastic about the ease of the procedure and have been delighted with the treatment results.

To Start

After the orthodontists have purchased their laser they will need to purchase a few additional things in order to get started. You will need to purchase topical anesthetic from a pharmacy (we obtain our anesthetic from Stanley Apothecary 866-698-0247). You will need articulating paper to carbonize the tip of the laser fiber, which enhances the effectiveness of the laser in cutting tissue, and hydrogen peroxide to help clean the surgical area. Purchase some vitamin E capsules to give to the patient once the surgery has been completed. Vitamin E helps to sooth the cauterized tissue, promote healing and reduce post-surgical discomfort. For the next 24 hours encourage the patient to take whatever medication he would normally take to relieve headache symptoms. Take the time to read the instruction manual that comes with the laser. Learn the proper settings to use for performing the various procedures. Generally a setting of 1.2 watts would be used for soft-tissue removal, a setting of 1.4 watts for denser tissue and 1.6 watts for a frenectomy. Also, there are some videos on the Internet that are beneficial to watch to become more familiar with the laser procedure. Laser surgery will also require a chairside assistant to help with the procedure and the use of high-speed evacuation to remove charred tissue and the odors created by the cutting of the gingival tissue.


Procedures

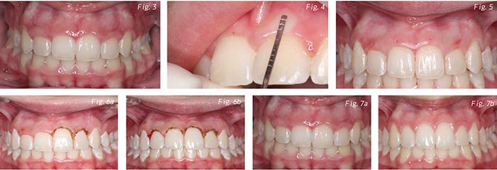
Gingivectomy: Occasionally a case is completed, the teeth are properly aligned, the occlusion is one that Dr. Ron Roth would be proud of and yet the final result still falls short of the final aesthetic result desired. The patient still exhibits a "gummy smile." At that time it is important to determine if the problem is the result of a true maxillary skeletal excess requiring maxillary impaction surgery to improve the aesthetics, or if it's due to excessive gingival tissue requiring only a simple gingivectomy to correct. Figures 3-8 demonstrate the significant improvement in the smile when the excess gingival tissue is removed and properly sculptured. Figure 9 represents an example of gingival recontouring when the gingival margins of the maxillary incisors are at different heights.

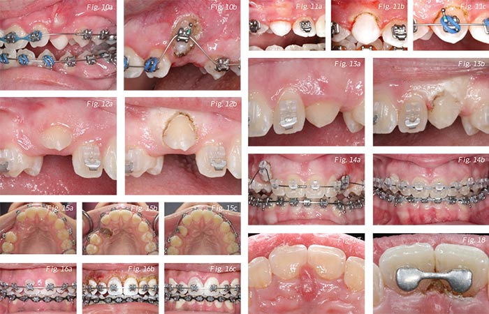
Canine Exposure: The laser is ideal for removing tissue that is covering canines in order to facilitate their eruption and in many cases significantly reduce the patient's treatment time. This procedure can make the overall treatment much easier for both the patient and the orthodontist (Figs. 10-15).

Hypertrophic Tissue: The accumulation of hypertrophic tissue can happen in cases where patient brushing is inadequate as tissue swells up around their brackets, but tissue can also build up when spaces are being closed even when brushing is adequate. The diode laser provides a significant patient benefit by eliminating this excess tissue and allowing for greater ease in the brushing of these areas (Figs. 16-18).

Frenectomy: Simple frenectomies can be easily accomplished by using the diode laser. Both maxillary and mandibular lingual frenectomies can be cost effectively done by the orthodontist (Figs. 19-21). However, when a maxillary frenectomy is being considered, an X-ray should be taken of the maxillary incisors to verify that there is no tissue entrapment in the mid-palatal suture. If it is found that there is tissue entrapment in the mid-palate area, then the case should be referred to a periodontist for surgery.

Tissue Impacted Second Molar: Sometimes treatment can be delayed significantly when a mandibular second molar is mesially impacted and the tooth is still covered by gingival tissue. The diode laser offers a tremendous solution to this vexing problem (Fig. 22).

Operculum Removal: Sometimes it is not possible to bond or band a second molar due to a persistent operculum. Using the laser for this procedure can make bonding or banding these teeth much easier and much more comfortable for the patient (Fig. 23).

Summary of Benefits

As orthodontic professionals it is incumbent on us to continually strive to provide the finest treatment for our patients. The simple diode laser procedures mentioned in this article highlight some of the significant improvements in patient care that now can be so easily accomplished. These benefits specifically include:
  • Tremendous improvement in treatment aesthetics
  • Procedures can be accomplished without injections, with little if any pain, discomfort or bleeding
  • Cost-effective procedures for both the patient and the practice
  • Significant reduction in treatment time
  • Allows you to increase your practice's high-tech image

I strongly recommend that all orthodontic professionals consider a diode laser for their practices in order to dramatically improve the quality of their patient care.

Author's Bio
Dr. Jerry Clark maintains a successful orthodontic practice in Greensboro, North Carolina. He received his BS and DDS degrees from The University of North Carolina and his master's degree in orthodontics from St. Louis University. He is board certified and has practiced orthodontics for more than 35 years and been lecturing on various orthodontic topics for over 30 years. He is also a partner in Bentson, Clark & Copple - a company dedicated to assisting orthodontists with successful succession planning, practice valuation and sale of their orthodontic practices.

Sponsors
Townie® Poll
Which emerging technology do you think will have the biggest impact on practice efficiency in the next 5 years?
  
The Orthotown Team, Farran Media Support
Phone: +1-480-445-9710
Email: support@orthotown.com
©2026 Orthotown, a division of Farran Media • All Rights Reserved
9633 S. 48th Street Suite 200 • Phoenix, AZ 85044 • Phone:+1-480-598-0001 • Fax:+1-480-598-3450