Wired for Success by Alan A. Curtis, DDS, MS, Online Editorial Director, Orthotown.com

 

Portraits of Malocclusion:
A Collection of CBCT Oddities

by Alan A. Curtis, DDS, MS, Online Editorial Director, Orthotown.com

I’ve always enjoyed new technology whether it’s a new universal remote, a smartphone, an app or a sleek tablet computer. There is nothing better than a revolutionary gadget that improves your life. CBCT 3D technology is one that still wows me every day. I have been using CBCT images in my practice (first from an imaging center and then from my own scanner in my office) since 2006 when I graduated. Over the last six years I’ve collected a number of interesting images I’d like to share. Share yours online at Orthotown.com!

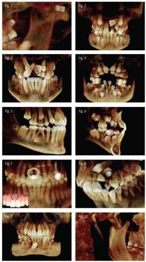
Fig. 1: “Has anyone seen my gum? I can’t seem to find it.”
Fig. 2: “We were inverted exchanging communications” –Top Gun
Fig. 3: “Can someone give me directions?”
Fig. 4: “I’ve got an extra one I can loan you.”
Fig. 5: “I’m feeling tired. I think I’ll take a nap.”
Fig. 6: “Yes, Jimmy, thank you for raising your hand.”
Fig. 7: “Doctor, can we do clear braces… I don’t like the look of metal.” (This one really happened.)
Fig. 8: “Traffic jam on the 101 southbound.”
Fig. 9: “Will a volunteer please step forward?”
Fig. 10: “Mom, have you seen the stylus to my Nintendo 3DS?”
Sponsors
Townie® Poll
Which emerging technology do you think will have the biggest impact on practice efficiency in the next 5 years?
  
The Orthotown Team, Farran Media Support
Phone: +1-480-445-9710
Email: support@orthotown.com
©2026 Orthotown, a division of Farran Media • All Rights Reserved
9633 S. 48th Street Suite 200 • Phoenix, AZ 85044 • Phone:+1-480-598-0001 • Fax:+1-480-598-3450