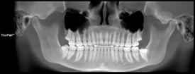
Tru-Pan for i-CAT
Tru-Pan software for i-CAT yields precise “true” panoramic views from 3D scans. Developed to meet the needs of dental professionals who require quick and easy pan creation from existing 3D scans, Tru-Pan delivers anatomically accurate and precise panoramic images with optimal clarity and detail plus time savings over traditional arch detection methods found in today’s 3D imaging programs. Visit www.tru-pan3d.com for more information.
Your comments and opinions are welcome on Orthotown.com.
To discuss the Tru-Pan for i-CAT visit Orthotown.com: Orthotown
Home » Orthotown Message Boards » Clinical Topics » New
Products » Tru-Pan for i-CAT
|
|
Cleanse.Freshen.Go.
Oral Health Technologies, LLC, announces the release
of Cleanse.Freshen.Go. Dental Appliance Cleaners, a
powerful and effective way to keep removable dental
appliances clean. The mint flavored, disposable towelettes
and convenient, quick pump spray deliver powerful cleaning
results and oral care benefits in seconds. Cleanse.Freshen.Go.
can be used with mouthguards, aligners, retainers,
biteguards, nightguards, partials and bleaching trays.
Visit www.cleansefreshengo.com for
more information.
|
| To discuss more about Cleanse.Freshen.Go., log on to the
Orthotown.com message boards and search: Orthotown Home »
Orthotown Message Boards » Clinical Topics
» New Products » Cleanse.Freshen.Go. |
 |
|
Dual Head Toothbrush
Paradise Dental Supplies, Inc., offers a new brush that has a
narrow V-Trim with a fold in and out proxy brush on the opposite
end. The spiral brush on the end goes under the wire to
clean plaque from the enamel that is under the wire and around
the bracket. The brush has .006 diameter bristles and a rubber
handle for a firm grip. Visit www.paradisedentalsupplies.net for more information.
Share your thoughts about the Dual Head Toothbrush at
Orthotown.com in Orthotown Home » Orthotown Message Boards
» Clinical Topics » New Products » Dual Head Toothbrush
|
|
everLight LED Operatory Light
DentalEZ Group introduces an alternative to halogen-based
operatory lights, the everLight. The everLight LED
operatory light provides color-corrected lighting, precise light
pattern, and energy efficient features. The everLight encompasses
a long life of 30,000-plus hours and uses less than 35
watts of energy. It can be easily installed in six mounting configurations.
For more information visit www.dentalez.com. |
| Do you have a comment to share? Follow this address to
find the complete thread on the everLight LED Operatory
Light at Orthotown.com: Orthotown Home » Orthotown
Message Boards » Clinical Topics » New Products » everLight LED Operatory Light |
 |
|