Message from the Online Community Manager

 
Townie Events

Townies are social. We like being part of the largest online orthodontic community in the world and having colleagues from all around the globe. Sometimes we like to hang out online and sometimes we like to hang out in person. With more than 3,600 registered members, you can always be amongst friends. But maybe you’ve never been a part of some of the events we hold just for our members. Don’t miss a Townie gathering by checking out the Townie Events section of Orthotown.com. You can view all upcoming Townie Events from our free Webcasts to the tradeshows we’re attending. Join the party – we’d love to have you.

If you have questions about the site, call me at 480-445-9696 or e-mail me at kerrie@farranmedia.com.


Online Features

Help Center
Feature of the Month – Orthotown.com offers valuable office forms for your use. Download and print off these forms for free in the Downloads section of the Web site. Check out the Help Center’s Feature of the Month for more information!

Video Tutorial
How to View a Purchased CE CourseWith Orthotown.com online continuing education, you can watch your purchased courses as many times as you’d like. Go to the Media Center and click on the Tutorial section to watch a short video with step-by-step instructions on viewing a CE course for a second time.


Virtual Study Club - Case of the Month

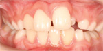
How Can I Help This Kiddo?
Can’t chew, chokes badly and bites lips which causes bleeding – this patient needs help, but what’s the best course of action?


Message Boards

In-house Laser Digital Model Scanner
Are in-office digital models ready for prime time? Share your comments about what it will take for this technology to be a “game changer” in your office!

What is Your Retainer Protocol?
Retainers! Fixed 3-3? Clear retainers? Hawley retainers? Read what your colleagues do and why.


Features

Monthly Poll
Bracket Systems
Do you consider self-ligation a bracket system?
     A. Yes. I consider using self-ligation to be a bracket system.
                    B. I consider self-ligation as just a bracket design.
                    C. I consider only certain self-ligating brackets to be associated with a wire system.
                    D. No. I think self-ligating bracket systems are just a marketing hype.

Refer a Colleague to Orthotown
The More the Merrier!
We have online members from all over the world, but some orthodontists still haven’t joined our growing community. If you know of someone who should become an official Townie, you can use the “Refer a Colleague” link to let him or her know.

Online CE
Evidence-Based Orthodontics Practice Management
– Eugene Roberts, DDS, PhD

An 11-year clinical study of a graduate orthodontics program tested the industrial engineering principles of W. Edwards Deming. Outcomes assessment of post-treatment records was used to identify problems detracting from the quality of the clinical result.
Sponsors
Townie® Poll
Which emerging technology do you think will have the biggest impact on practice efficiency in the next 5 years?
  
The Orthotown Team, Farran Media Support
Phone: +1-480-445-9710
Email: support@orthotown.com
©2026 Orthotown, a division of Farran Media • All Rights Reserved
9633 S. 48th Street Suite 200 • Phoenix, AZ 85044 • Phone:+1-480-598-0001 • Fax:+1-480-598-3450