Message from the Online Community Manager

 
Because a Lot Can Change in a Year

Move offices? Graduating soon? It’s been a year since we last reminded you and we know a lot can change in that time! Update your registration information and public profile in the My Profile section of the Web site. Your registration information is confidential, but helps Orthotown.com bring you information relevant to you and your practice. Add information to your public profile so other Townies can find you in the member search. Update your avatar and signature area to show your personality on the boards. Make sure you click the update button to save any changes and as always, let me know if you have any questions!

If you have questions about the site, call me at 480-445-9696 or e-mail me at kerrie@farranmedia.com.


Online Features

Help Center
Feature of the Month – The new online CE at Orthotown.com can now be viewed on your iPad! Check out the Help Center’s Feature of the Month for more information!

Video Tutorial
How to Upload an Avatar – Avatars are images used to represent you on the message boards. Upload yours today! Go to the Media Center and click on the Tutorial section to watch a short video with step-by-step instructions on how to upload an avatar.


Virtual Study Club - Case of the Month

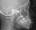
Idiopathic Root Resorption/Orthognathic Surgery Case
Have you ever seen root resorption to this extent? Would you have the same treatment plan as the ortho assigned to this case?



Message Boards

About Lace Back?
This Townie is trying to learn about incorporating lace back in canine retraction. Is there an easier and more predicable method to know how much is enough?

E-mail Confirmations for Patients – Does it Work for You?
The goal was to eliminate the need to call patients the day before, but this Townie is having more no-shows than ever. What’s the problem?


Features


Monthly Poll
3D CBCT/Plaster Models
Do you feel that 3D CBCT images are sufficient replacements for plaster models in documenting pre-treatment conditions (diagnostically, legal defense)?


Media Center
Webcasts
Check out the Webcasts in the Media Center. Here you can view “3D Imaging – a New Dimension in Orthodontic Diagnosis and Treatment Planning” by John Graham, DDS, MD, as well as other Webcasts.


Online CE
Orthodontic Root Resorption – Update
-Glenn T. Sameshima, DDS, PhD

This course will update the clinician on what is currently known about external apical root resorption. You will learn which patients are the most at risk. You will understand what the etiology is, and what diagnostic and treatment factors must be considered.
Sponsors
Townie® Poll
Which emerging technology do you think will have the biggest impact on practice efficiency in the next 5 years?
  
The Orthotown Team, Farran Media Support
Phone: +1-480-445-9710
Email: support@orthotown.com
©2026 Orthotown, a division of Farran Media • All Rights Reserved
9633 S. 48th Street Suite 200 • Phoenix, AZ 85044 • Phone:+1-480-598-0001 • Fax:+1-480-598-3450