Message from the Online Community Manager

 
Share Your Opinions

You’ve got opinions and we want to hear them! Each month we feature a short, easy-to-take poll on a variety of subjects. Whether it’s about infection control or brackets, the information we gather from you is used to drive content for the magazine, guide us on updates to the Web site and help us gain a better understanding of what Townies experience in their practices. Find out how other professionals practice by viewing the results each month in Orthotown Magazine, or, if you’d like to dig deeper, you can view results of previous polls on the Web site.

If you have questions about the site, call me at 480-445-9696 or e-mail me at kerrie@farranmedia.com.


Online Features

Press Releases
Extra! Extra! – Orthotown.com is a great place to stay up-to-date on what’s happening in the industry. Check out the News section at the bottom of the home page.

Refer a Colleague
The More the Merrier – We have online members from all over the world, but some orthodontists still haven’t joined our growing community. If you know of someone who should become an official Townie, you can use the “Refer a Colleague” link to let him or her know.


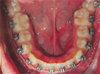
Virtual Study Club - Case of the Month

Mid-treatment Class II Correction with Forsus Vs. Ext. Upper First Bis
Should this doc extract the upper first bis and finish Class II molar? What do you think?



Message Boards

Dental Abuse Driven by Private Equity
Bloomberg published an article that is creating quite a conversation. What is your reaction to the article?

Patient with Root Fracture
New patient with overjet comes in for treatment. Mom has questions about the prognosis of a tooth that underwent endo work a few years prior. Can you help answer the questions?


Features

Monthly Poll
Patient Financing
How often do you use third-party patient financing? (CareCredit, Springstone, Vanco, etc.)


Comments
Orthotown Magazine is based on an interactive publishing model. After you read this magazine, jump online to Orthotown.com and post your comments and feedback about the articles.


Online CE
Associates, Partnerships, Acquisitions, Oh My! – Jason Wood, Esq.
This course is for young professionals who are looking at entering into an associate agreement, purchasing an interest in a practice and forming a partnership, attempting a startup or purchasing a practice as the sole owner. Check out this practice management course and earn 1.5 CE credits.
Sponsors
Townie® Poll
Which emerging technology do you think will have the biggest impact on practice efficiency in the next 5 years?
  
The Orthotown Team, Farran Media Support
Phone: +1-480-445-9710
Email: support@orthotown.com
©2026 Orthotown, a division of Farran Media • All Rights Reserved
9633 S. 48th Street Suite 200 • Phoenix, AZ 85044 • Phone:+1-480-598-0001 • Fax:+1-480-598-3450