Orthotown.com Highlights

Case Presentation

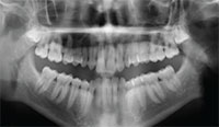
What's Wrong with Planning Implants for Canine Areas?
In this case, what's wrong with keeping the upper deciduous canines (along with the upper left E) as long as possible?


Message Boards

Exact Bracket Position
A Townie is looking for the best bracket position protocol. What would you suggest?

Finding a Treatment Coordinator
Help! This Townie's search for a great treatment coordinator isn't going as well as planned.


Features

How often do you review your financial goals?
A. Daily
B. Weekly
C. Monthly
D. Semi-annually
E. Annually

Comments
Don't have your print copy handy? Read the digital version of Orthotown Magazine on your computer, tablet or smartphone. After you've read it, take the opportunity to comment on articles. This keeps the conversation on Orthotown.com buzzing and lets us know what you want to read more about!

Online CE
Treatment by Twelves
- Daniel J. Grob DDS, MS

Treatment by Twelves is a recently trademarked method to describe caring for patients with malocclusions of all ages with the express intention of treating to the new aesthetic demands.

Sponsors
Townie® Poll
Which emerging technology do you think will have the biggest impact on practice efficiency in the next 5 years?
  
The Orthotown Team, Farran Media Support
Phone: +1-480-445-9710
Email: support@orthotown.com
©2026 Orthotown, a division of Farran Media • All Rights Reserved
9633 S. 48th Street Suite 200 • Phoenix, AZ 85044 • Phone:+1-480-598-0001 • Fax:+1-480-598-3450