Orthotown.com Highlights

Case Presentation

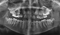
Would You Extract in This Case?
Would you try this non-extraction?


Message Boards

Second Child Discounts
What are your thoughts on second child discounts – are they a good idea?

Bending a Mandibular 3x3
A Townie makes and shares a great video on how to bend a mandibular 3x3 retainer.


Features

Monthly Poll
TADs
When placing TADs, I typically use:
A. Normal topical (benzocaine)
B. Formulary topical (TAC)
C. Injectable local anesthetic (lido)
D. Madajet or other technique
E. An oral surgeon

Comment on Our Articles!
DLeft your magazine at home? Read the digital version of Orthotown Magazine on your computer, tablet or smartphone. After you’ve read it, take the opportunity to comment on articles. This keeps the conversation on Orthotown.com buzzing and lets us know what you want to read more about!

Online CE
Simple Space Maintenance
by Josh Wren, DMD
This course teaches why space maintenance is needed, when to place what appliance, and how to fabricate the various appliances. Space maintainers discussed include: wire nance, lower lingual holding arch (LLHA), band and loop, distal shoe, and distal band and loop. Our basic goal is to prevent – decay, pain, space loss, etc. The most commonly overlooked of these is the prevention of space loss.

Sponsors
Townie® Poll
Which emerging technology do you think will have the biggest impact on practice efficiency in the next 5 years?
  
The Orthotown Team, Farran Media Support
Phone: +1-480-445-9710
Email: support@orthotown.com
©2026 Orthotown, a division of Farran Media • All Rights Reserved
9633 S. 48th Street Suite 200 • Phoenix, AZ 85044 • Phone:+1-480-598-0001 • Fax:+1-480-598-3450