Orthotown.com Highlights


    Case Presentation    

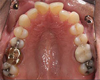
Ideal Invisalign Case
Check out this 48-year-old man’s case where preserving the existing occlusion is a breeze. No bond failures, no wires and appointments that take 10 minutes or less. The patient’s overbite though, proved to have multiple solutions. Which would you choose?


    Message Boards    

Working out of a General Practitioner’s Office. Advice?
What should you look out for while working for a general practitioner?

Re-opening Premolar Sites for Facial Aesthetics.
Two years into the treatment, this 19-year-old patient is seeing her facial profile dish inward. Would you consider reopening premolar sites for implants? Is bimaxillary surgery the better choice? You decide.


    Online CE    

What Exactly is CBCT and What Does One Need to Know Before Use or Purchase?
by Dr. James Mah

This course covers advances, features and technology of CBCT devices. It focuses on key decisions relating to appropriate field of view and imaging needs and goals, as well as provides device comparisons.

Featured Blog

When is the Best Time to have Orthodontic Treatment? | 2.14.2014 | Dr. Sarah Sadek

A brief overview of when and how to decide the optimal time for pushing patients to receive orthodontic treatment. Should the axiom of “sooner is always better” be re-evaluated?


Comments

Don’t have your print copy handy? Read the digital version of Orthotown Magazine on your computer, tablet or smartphone. After you’ve read, take the opportunity to comment on articles. This keeps the conversation on Orthotown.com buzzing and lets us know what you want to read more about!

e-Newsletter

To receive all the weeks highlights from Orthotown.com "delivered straight to your inbox": click here.

Sponsors
Townie® Poll
Which emerging technology do you think will have the biggest impact on practice efficiency in the next 5 years?
  
The Orthotown Team, Farran Media Support
Phone: +1-480-445-9710
Email: support@orthotown.com
©2026 Orthotown, a division of Farran Media • All Rights Reserved
9633 S. 48th Street Suite 200 • Phoenix, AZ 85044 • Phone:+1-480-598-0001 • Fax:+1-480-598-3450