
by John Marshall Grady, DMD,
Dan E. Kastner, DMD,
and Matthew C. Gornick, DMD
Orthodontic mini-implants, or temporary anchorage devices (TADs), offer skeletal anchorage that has allowed orthodontists to perform movements that weren't traditionally thought possible or weren't recommended because of negative side effects. For example, closing the space of a congenitally missing tooth often wasn't an option before TADs because the limitations of dental anchorage in protraction of teeth often caused unwanted reciprocal movements. In these two cases, TADs allowed us to close spaces for congenitally missing teeth that we wouldn't have attempted in years past.
Case 1
Our 11-year-old patient presented with congenitally missing teeth 7 and 10, skeletal Class I, dental Class II subdivision left, retro-inclined/upright maxillary incisors, good facial balance, and lip posture with a slightly obtuse nasolabial angle (Fig. 1).
At the consultation, her mother said that she didn't want implants or false teeth for her daughter, and instead requested that all space be closed. A canine replacement of missing laterals would be particularly challenging because the maxillary incisors were already retro-inclined, and a solid Class I molar was already present on the right side.
As a side note, our practice philosophy usually favors opening space for pontics or implants when lateral incisors are congenitally missing. We find the results include more perfected cosmetics, more ideal occlusion, more natural shape to the pontics, a fuller, broader smile to fill in buccal corridors, and a better upper incisor angle and torque for lip support.
In this particular case, the patient was a perfect Class I on the right buccal segment and full Class II on the left. Treatment options were presented to the patient and her mother, including:
- Distalize left buccal segment and move canines to their natural position, replacing missing 7 and 10 with pontics and eventual implants.
- Canine substitution on left, distalization of tooth 6 into its natural canine position, and replacement of tooth 7 with pontic and eventual implant.
After discussing these options with their dentist who was a family friend, the patient's parents were 100 percent firm in wanting both spaces closed for missing 7 and 10, and adamant about wanting no pontics or implants. We told them we didn't recommend “changing” the perfect Class I on the right. We also discussed the difficulty of closing the 7 space while attempting to maintain positive overjet and anterior torque, as well as trying to create a full Class II molar relationship from a very solid Class I.
However, the parents and the dentist were insistent in wanting both spaces closed, so we discussed a TAD as an option to facilitate a mesially directed closure of the 7 space to maintain positive overjet and midline symmetry.
The parents were aware the cosmetic and functional benefits of opening space for missing laterals, but were resolute on not wanting their daughter subjected to “surgery, implants and a lifetime of false teeth.” The parents were very agreeable to the use of a TAD to facilitate the space closure.
Treatment
Full brackets were placed and teeth 6 and 11 were reshaped by enamelplasty, then bonded with lateral incisor brackets. The first six months were spent consolidating space on upper arch, leveling the lower arch and idealizing overjet and maxillary incisor inclination. The challenge was improving anterior crown torque of the retro-inclined maxillary incisors. This was accomplished by using reverse curve in upper archwire, with opening coil between 6 and 5 to improve midlines and anterior torque (Fig. 2). This was also supported with Class III elastics.
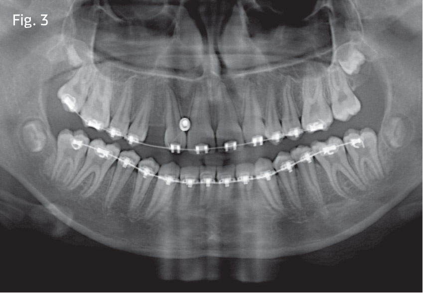
Approximately seven months into treatment, we placed the TAD mesial to the upper right lateral incisor position (Fig. 3) and used indirect anchorage to protract the right buccal segment. Sliding mechanics were used in conjunction with Class III elastics on the right—again, trying to maintain as much anterior torque as possible.
The TAD was removed after six months. At this point the bite was slightly edge-edge anteriorly. We performed some light IPR on the lower arch to maintain positive overjet, and further reshaped teeth 6 and 11 to simulate lateral incisors. Proper Class II occlusion was established on her right buccal segment. Total treatment time was 21 months.
Anterior maxillary incisor torque was improved, and the patient finished with an acceptable profile (Fig. 4). Patient was referred to her general dentist for veneers or gingival recontouring as needed. (Our patient moved and we haven't had contact with her since debonding, which was five years ago.)
Conclusion
While this case was dentist- and parent-driven, the result was very acceptable. The dentist and parents were pleased. Although we generally prefer to replace missing lateral incisors with implants, the TAD treatment allowed us to achieve complete space closure while maintaining good anterior torque, positive overjet and an acceptable facial profile.
|
Case 2
The patient, a healthy 13-year-old, presented with congenitally missing tooth 29, ankylosed tooth T, Class II, Division 2 malocclusion, 50 percent overbite, 2.5mm overjet, mild upper and lower crowding, slightly convex facial profile, and good facial balance (Fig. 5).
Ankylosed tooth T was causing a moderate vertical bony defect on the mesial of tooth 30 and a mild defect on the distal of tooth 28. With growth and orthodontic leveling, it was anticipated that the defect on teeth 28 and 30 would get worse. The patient and his mother were presented two treatment options:
- Bracket all teeth, optional extraction of ankylosed tooth T, maintain space for future implant replacement of tooth 29.
- Bracket all teeth, extraction of ankylosed tooth T, TAD placement for mesialization of teeth 30 and 31.
The patient's mother, a dental marketer, knew about TADs and traditional dental implants. She was very interested in using a TAD to close the space and preferred to avoid a dental implant for the replacement of tooth 29. It was explained that space closure would result in increased treatment time and complexity, because the patient was already Class II and had 50 percent overbite. However, space closure would avoid the need for a dental implant and could improve the vertical bony defect caused by ankylosed tooth T. The patient's mother understood the pros and cons of both treatment options and chose to go with using a TAD.
Treatment
Full brackets (.018 bracket slot) were placed and teeth 27 and 28 were positioned to diverge the roots away from each other for future TAD placement in this area. During the first six months of treatment, the arches were leveled and aligned and Class II elastics were started. The patient wore elastics until the anterior dentition was edge-to-edge, anticipating bite relapse during the space-closure phase of treatment. The patient was referred to an oral-maxillofacial surgeon for the extraction of ankylosed tooth T (Fig. 6).
At the next appointment, an 8mm TAD was placed between teeth 27 and 28 (Fig. 7). Immediate loading of the TAD using a 6mm closed NiTi spring was utilized for direct anchorage to tooth 30.
The majority of space closure was performed on a 16x22 NiTi using sliding mechanics. The initial TAD failed after eight weeks and a new TAD was placed mesial to tooth 27, using the same anchorage protocol.
Space closure was reinforced via Class II elastic to tooth 31 and, later, a posterior box elastic was utilized to counteract mesial tipping of tooth 30 and to level the mid-arch open bite caused by space closure. At the completion of space closure, a 17x25 SS archwire with reverse curve was used to level the arch and Class II elastics were restarted.
Class I canine and full-cusp Class III molar occlusion were achieved on the right, and Class I occlusion on the left. The patient finished with ideal overjet, and the midlines were coincident.
Treatment time was 28 months, but five months passed between the time the patient was referred for extraction of the ankylosed tooth T and when the TAD was placed. Thus, active treatment time was closer to 23 months.
Conclusion
The family's chief complaint was addressed and an excellent occlusion was achieved while maintaining good dental and facial esthetics. The patient and his family were very pleased with the outcome. The vertical defects on teeth #28 and #30 were greatly improved and satisfactory root parallelism was achieved (Fig. 8).
Drs. Dan E. Kastner (left), John Marshall Grady (center) and
Matthew C. Gornick (right) of GKG Orthodontics are residency-trained specialists in orthodontics and dentofacial orthopedics. The practice in Wexford, Pennsylvania, specializes in orthodontic treatment for children and adults through orthopedic appliances, traditional and cosmetic braces, Invisalign and orthognathic surgery. All three doctors completed their dental education at University of Pittsburgh School of Dental Medicine. Grady and Kastner attended the State University of New York at Buffalo for their orthodontic residency; Gornick stayed at the University of Pittsburgh for his postdoctoral education, where he earned a certificate in orthodontics and a Master of Dental Science.