by Dr. John Pobanz
Posterior vertical maxillary excess is a skeletal discrepancy for which orthodontists have continually sought a solution. This discrepancy often results in a dolichofacial facial pattern and an anterior open-bite malocclusion. Traditionally, orthodontists have relied upon extrusion of incisors with elastic wear, which can often result in increased gingival display and less-than-predictable stability. Otherwise, Lefort maxillary impaction surgery has been prescribed. The ongoing challenge remains that many patients are unwilling to undergo this surgery due to risk, hospitalization and cost.
Manipulation of the posterior alveolus through miniscrew-facilitated maxillary molar intrusion has become a regular part of modern orthodontic practice. We can now correct open-bite malocclusions with reliable stability. This article addresses the need for a consistent protocol for miniscrew insertion in and near the midpalatal suture using CBCT simulations to avoid miniscrew failure.
Multiple configurations of miniscrew anchorage have been suggested for maxillary molar intrusion. Some authors have opted for placement on the vertical portions of the buccal and palatal aspects of the posterior alveolus—specifically, at interradicular insertion sites. This protocol has some disadvantages: The intended intrusion often results in root collision with the interradicular miniscrews, leading to screw failure before the full amount of intrusion is accomplished. It also requires four miniscrews for a single application.
Other authors have suggested that the anatomical transition from the horizontal portion of the palate to the vertical wall of the posterior alveolus is a good choice to create an anchorage point for molar intrusion. Although this location is better than any interradicular location, it carries the challenge of also being the exact location of the greater palatine neurovascular bundle, which emerges from the greater palatine foramen lingual to the maxillary second molar and travels forward in this transition area. This creates significant variability in the depth of the skeletal concavity in this location, as well as a corresponding variability in the depth of the palatal tissue here. That variability requires the clinician to react to the tissue depth when selecting a miniscrew that will adequately purchase the bone, as well as traverse the soft tissue while hopefully not coming into direct contact with the neurovascular bundle. Density and thickness of the available bone in this location is also variable from patient to patient.
To avoid the listed disadvantages, one can consider the midpalatal suture as a miniscrew insertion site for molar intrusion.
Considering the
midpalatal suture
Some clinicians have reported miniscrew failure at the midpalatal suture, which could be explained by:
- Incorrect instrumentation that contributed to operator error and insertion-driver wobble
- Insertion torque that exceeded 10 newton centimeters (Ncm)
- Placement at the center of the midpalatal suture in a growing patient, where ossification of the suture was incomplete
- Placement in an area of less-reliable density, even in a nongrowing patient
- A miniscrew of inadequate length that didn't puncture the vomer (Fig 1).
A protocol to consider
1. It's a good idea to consider the patient's age when selecting the posterior midpalatal suture as a placement site. It is particularly helpful to use CBCT assessment and simulation for female patients ages 11-15 and male patients age 13-16 due to unpredictable ossification and density. A similar mindset exists when we decide whether to orthopedically expand the maxilla. Patients in these age groups certainly would be questionable patients for miniscrew insertion in the midpalatal suture, but variability in ossification can occur regardless of age, and even regardless of the anteroposterior location of the insertion site along the midpalatal suture.
2. The Orthonia contra-angle with a 35-millimeter latch driver by Rocky Mountain Orthodontics allows for insertion torque control. A digital setting of 10 Ncm represents a value for insertion torque shown in the literature as an upper threshold for secondary stability. This device also allows for careful control of operator wobble, and placement of the screw at a 90-degree angle relative to the surrounding bone.
3. Create a simple way to apply, and then reapply, intrusive forces to the upper molars and second premolars. A dumbbell attachment (Figs. 2 and 3) can be bent from 19x25 stainless steel and bonded into the cross slot of any miniscrew with a slot in its head. It's a good idea to microetch the internal walls of the slot and apply a metal primer before bonding. A filled flowable restorative-grade composite is a good choice for this application, and the clinician should be careful to flow the material into the undercuts of the head of the miniscrew. Every 4 to 6 weeks, 75 grams of powerchain force can then be applied individually to the first and second molars, as well as the second premolars if they are included.
4. A collimated cone-beam computed tomography (CBCT) image of the palate and 3-D imaging software allow the clinician to make a careful assessment of the midpalatal suture or the immediately adjacent paramedian locations by performing a simulation (Fig. 4). Both quality and quantity of bone can be assessed, giving the clinician confidence in the intended insertion site. (I use Carestream Dental's CS 9300 system and CS 3D Imaging software.)
Such a protocol was applied to the following two cases, customized and adapted based on the outcome of each patient's imaging simulation.
Case studies
Both cases were of 18-year-old females, and carried similar treatment objectives:
- Nonsurgical correction of the posterior crossbite relationships, with arch development and early and light cross-elastics
- Maximize display of posterior teeth in the buccal corridors
- Avoid extrusion of anterior teeth during open-bite correction
- Avoid increasing gingival display
- Intrude en masse the posterior dentition with a single slotted midpalatal orthodontic miniscrew or a combination of two miniscrews
- Finish the posterior dentition mildly out of occlusion, to account for potential relapse
- Achieve ideal occlusal relationships of overbite and overjet, as well as molar and canine relationships.
Case 1
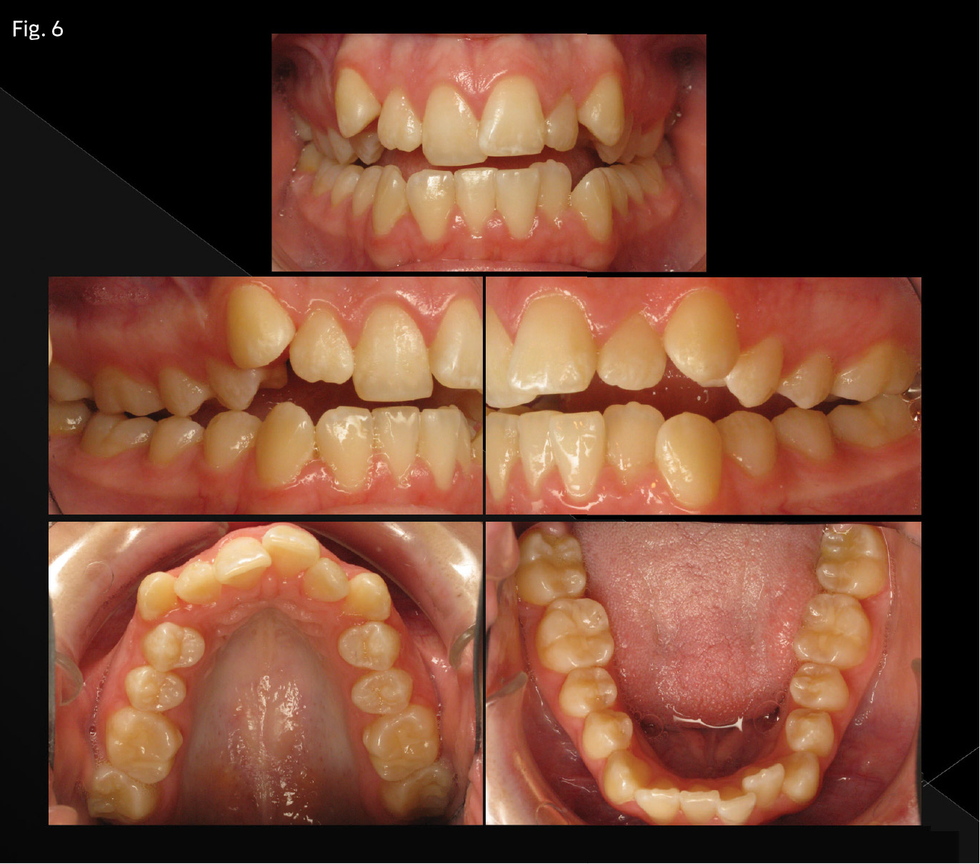
Patient (Figs. 5 and 6) presented with the following chief complaint: “I want my front teeth to come together when my teeth are straight.”
Anteroposterior: Molar canine relationships are a half-step Class II. The overjet measurement is 4mm, measured at the left central incisor. The skeletal relationships are mildly Class II. The mandible is posterior divergent, and the lower anterior face height is larger than average.
Vertical: An anterior open bite of 5mm is measured at the right maxillary lateral incisor. The maxilla shows posterior vertical maxillary excess—upon smiling, there is 5mm of gingival display.
Perimeter: Moderate crowding is present in both arches.
Transverse: A constricted maxillary arch form relative to the lower arch is present, resulting in buccal-cusp-to-buccal-cusp relationships extending from the second molars to the first bicuspids on both sides, a bilateral posterior crossbite tendency. However, the patient does have adequate lip competence at rest.
Case 2
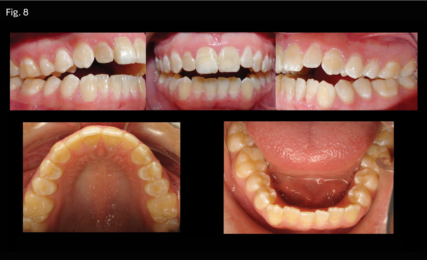
Patient (Figs. 7 and 8) presented with a chief complaint of not being able to function adequately due to an open-bite malocclusion. The patient reported being prescribed Ortho-Novum birth control pills at age 14 to alleviate menstrual cramping. She reported a progressive worsening of her open bite that was first noticeable at age 16.
Anteroposterior: Class II skeletal/dental malocclusion. Loss of mandibular condyle anatomy secondary to birth control pills. Class II molar half-step. Excess overjet. Convex profile.
Vertical: Open bite of 6mm measured at the upper-left lateral incisor. Dolichofacial facial pattern.
Transverse: Within normal limits.
Perimeter: Moderate upper and lower crowding.
Additional note: The patient in Case 2 required monitoring of mandibular condyle anatomy for the cessation of resorption once birth control pills had been discontinued. A baseline CBCT image was captured of both condyles (Fig. 9) and assessed by a maxillofacial radiologist; no active resorption was noted. Two six-month serial CBCT images of both condyles were captured and evaluated for comparison with the baseline image by the same maxillofacial radiologist; again, no active resorption was noted. This provided confidence that treatment could be initiated without concern that maxillomandibular relationships could change with ongoing condyle resorption.
Treatment-planning
Using CS 3D Imaging simulation software, I hovered the mouse pointer over the buccal shelf of the mandible, as well as the anterior palate, approximately 13mm from the gingival margin of the upper incisors, and observed the relative density value in the lower-right corner of the screen (Figs. 10 and 11). I made note of the values of these individual locations. The buccal shelf represents probably the most dense area of bone for the individual patient in the maxillomandibular complex. The anterior palate and just off the midline allows for assessment of palatal bone values relative to the buccal shelf. With both of these comparisons in mind, I assessed the possible insertion sites at the direct midpalatal suture at the midmesio/distal of the upper first molars, versus the adjacent paramedian locations from the simulated insertion. I made a decision whether to insert a single miniscrew for molar intrusion, instead of two miniscrews at the adjacent paramedian locations.
Treatment comparisons
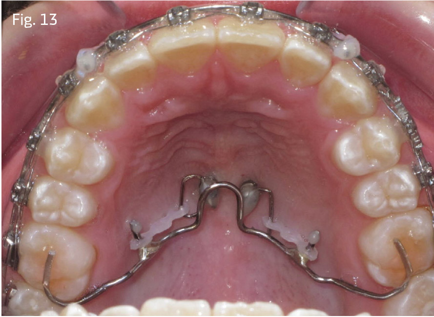
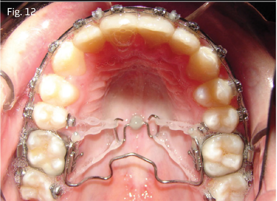
In both cases, passive self-ligating brackets with standard anterior torque prescription were placed. Quarter-inch, 2-ounce posterior cross-elastics were used as needed from the lingual of the upper molars to the labial of the lower molars from the first archwire insertion of .014 copper nickel titanium (CuNiTi). The archwire sequence of 14x25 unit, 18x25 CuNiTi, 19x25 stainless steel was followed with 10-week appointment intervals. The posterior crossbite relationships in Case 1 were corrected before advancement to 18x25 CuNiTi. In Case 1, once both arches were worked to 19x25 stainless steel, a Rocky Mountain Orthodontics fixed/removable transpalatal arch was inserted into the vertical lingual sheaths of the upper molar bands, with 6mm of clearance relative to the palate (Fig. 12). In Case 2, molar bands were avoided by placing a bonded TPA bent from .036 stainless steel. It was bonded to the occlusal surfaces of the upper first molars (see Fig. 13). This prevents lingual rolling of the buccal segments during intrusion.
Case-specific treatment
In Case 1, a collimated CBCT view of the maxilla was captured with a Carestream Dental CS 9300. A miniscrew placement simulation was performed, showing excellent bone density at the midpalatal suture, allowing for a single miniscrew and dumbbell (see Fig. 4). In Case 2, a similar simulation was also performed; both quality and quantity of bone were assessed. It was determined that a single midpalatal miniscrew at the midpoint of the suture would be less reliable than two paramedian miniscrews. The density-gradient tools of the miniscrew placement simulation showed an acceptable gradient of relative bone density in two paramedian locations, rather than a single screw placed in the midpalate.
In Case 1, a 6mm miniscrew was inserted at the midpalatal raphe at the mesial aspects of the first molars. A dumbbell attachment was bent from 19x25 stainless steel and bonded into the cross-slot of the miniscrew with filled flowable composite (Wave, Patterson Dental), and with composite carefully flowed into the undercuts of the head of the miniscrew.
In Case 2, two 6mm miniscrews were inserted at the paramedian locations shown to be reliable in the CBCT simulation, and half-dumbbells were bonded into the cross-slots of the heads of the miniscrews. Lingual buttons were bonded to the second bicuspids and first and second molars; 75g of individual elastic chain force was applied from the dumbbell attachments to the molars and second premolars in both cases.
Upon bite closure in both cases, 19x25 titanium molybdenum alloy (TMA) wires were inserted, the TPA was removed and standard techniques were used for detailing and finishing (Figs. 14a–c, pg. 30 and 15a–c).
Conclusion
Two patients of similar age and the same gender with very similar malocclusions required careful assessment of the midpalatal suture anatomy, with CBCT simulation to customize the approach for individually successful miniscrew placement and secondary stability. One of these two cases also benefitted from the careful evaluation of condyle anatomy via CBCT imaging before initiating treatment.
The protocol for molar intrusion shared in this article has merit for consideration by other clinicians interested in offering a nonsurgical solution to open-bite correction.
References
- Clin Oral Implants Res. 2009 Jan;20(1):45-9. doi: 10.1111/j.1600-0501.2008.01600.x. Bone quality in the midpalate for temporary anchorage devices. Wehrbein H1.
- Clin Oral Implants Res. 2009 Mar;20(3):306-12. doi: 10.1111/j.1600-0501.2008.01647.x. Which region of the median palate is a suitable location of temporary orthodontic anchorage devices? A histomorphometric study on human cadavers aged 15-20 years. Stockmann P1, Schlegel KA, Srour S, Neukam FW, Fenner M, Felszeghy E.
- Clin Oral Implants Res. 2008 Jul;19(7):657-64. doi: 10.1111/j.1600-0501.2008.01545.x. Epub 2008 May 19. Palatal implants in adolescents: a histological evaluation in beagle dogs. Asscherickx K1, Wehrbein H, Sabzevar MM.
- Am J Orthod Dentofacial Orthop. 2010 Jan;137(1):114-22. doi: 10.1016/j.ajodo.2008.02.022. Clinical observations and success rates of palatal implants. Asscherickx K1, Vannet BV, Bottenberg P, Wehrbein H, Sabzevar MM.
- Clin Oral Implants Res. 2008 Jul;19(7):665-9. doi: 10.1111/j.1600-0501.2007.01512.x. Epub 2008 May 19. Success rate of palatal orthodontic implants: a prospective longitudinal study. Männchen R1, Schätzle M.
- Am J Orthod Dentofacial Orthop. 2012 Nov;142(5):596-614.e5. doi: 10.1016/j.ajodo.2012.06.013. Insertion torque and success of orthodontic mini-implants: a systematic review. Meursinge Reynders RA1, Ronchi L, Ladu L, van Etten-Jamaludin F, Bipat S.

Dr. John Pobanz has owned and operated Pobanz Orthodontics in his hometown of Ogden, Utah for 18 years. He holds a Master of Science in oral biology with an emphasis on bone physiology. Pobanz completed his dental and orthodontic training at the University of Nebraska and is a diplomate of the American Board of Orthodontics. He is an associate clinical professor at the University of the Pacific orthodontic residency program.
|