Can I Close This Space Orthodontically with Reshaping?

Message Board Header

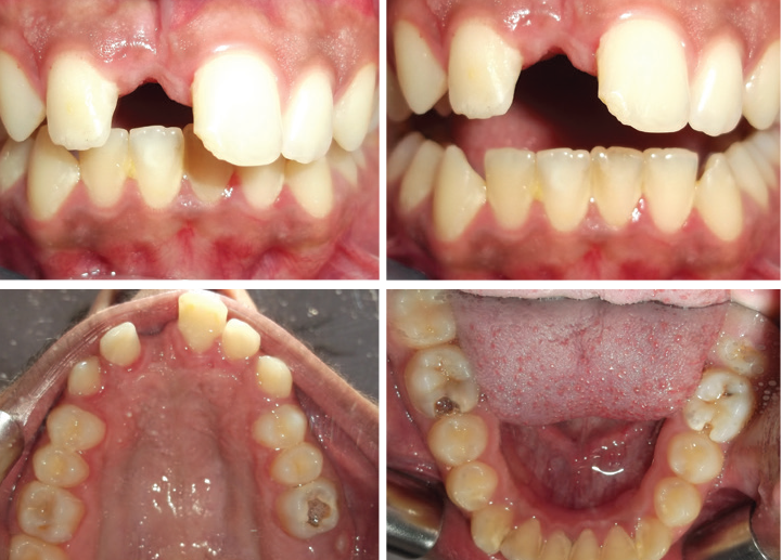
Can I Close This Space Orthodontically with Reshaping?

A patient with poor oral hygiene wants to close a space between his teeth. Is it wise to treatment plan before he improves his oral hygiene?

Click Here to read or comment on this discussion on the message boards.

Sponsors
Townie® Poll
What percentage of your treatments involve traditional ortho (brackets, wires, etc.)?
  
The Orthotown Team, Farran Media Support
Phone: +1-480-445-9710
Email: support@orthotown.com
©2026 Orthotown, a division of Farran Media • All Rights Reserved
9633 S. 48th Street Suite 200 • Phoenix, AZ 85044 • Phone:+1-480-598-0001 • Fax:+1-480-598-3450