The Speed of Light by Dr. John Hendy

Orthotown Magazine
by Dr. John Hendy

The variety of orthodontic movement methods provides practitioners with many choices to treat a given malocclusion.

Low-level laser therapy (LLLT) has been shown to promote remodeling of periodontal tissue and bone at accelerated rates better than control models, resulting in greater bone densities.23 Differentiation and accelerated growth rates of fibroblasts and osteoclasts are also enhanced using LLLT,12,17,19,20,25 which can greatly accelerate orthodontic movement.28,29

By applying LLLT at proper intervals and correct energy levels, practitioners can adjust the rate of movement and also significantly decrease the patient pain level associated with orthodontic movement.

The fear of pain and prolonged treatment times often prevents patient acceptance of orthodontic treatment.25 The use of lasers can lessen pain and treatment time, helping not only with case acceptance6,14,18 but also with compliance and cooperation during treatment. Often young patients will cooperate with treatment for a few months, then stop wearing treatment adjuncts such as headgear, elastic rubber bands, bite positioners and appliances. Being able to complete treatment in only a few months, rather than a few years, may circumvent this.

Science and research
The scientific proof for biologic changes of molecules, enzymes, free radicals, actively released mediators and endothelial changes pushes the understanding of LLLT further every day.

Many researchers are reporting on clinical research based on applied collective knowledge of scientific, biochemical, histological and cellular research. Experimental models show LLLT's rapid healing capabilities in soft tissues (epithelium, fibroblasts, endothelial cells) and hard tissues (bone, cartilage).3,18 Bone remodeling—cell differentiation into osteoblasts, osteoclasts, fibroblasts, endothelial cells and their respective cellular products and functions—is reported occurring at rates from two to six times control levels, depending on experimental conditions, laser wavelength, application frequency, fluency and laser power levels.3,18 Research continues to fine-tune these variables. This makes LLLT a very exciting field in the future of dentistry.

A multiyear research program studied speed of treatment
Orthodontic patients in a private dental practice were chosen to participate in an LLLT-facilitated orthodontic treatment research program. Thirty patients were included, ranging in age from 6 to 78; three were removed from the process during treatment because of an uncooperative nature arising from emotional problems and autism. The standard orthodontic documentation included photographs, study models, panoramic and cephalometric radiographs with analysis, and periapical radiographs. After complete diagnosis and treatment planning, informed written consent was obtained for orthodontic treatment, LLLT, and to be included in the investigation focusing on rapid tooth movement and orthodontic pain control.

Progress notes, photographs, models, measurements and radiographs were produced. Many different orthodontic treatments were used, depending on each patient's needs:

  • plastic and ceramic aesthetic bracketing.
  • metallic brackets and bands.
  • removable activated biofunctional appliances.
  • removable bite alignment.
  • clear progressive alignment trays.

The laser equipment was a gallium aluminum arsenide semiconductor diode laser from Biolase. A special bleaching wand handpiece included with the laser was utilized during the study and became an efficient way to apply the laser, thanks to its laser irradiation footprint of 1 by 3 centimeters. A power of 2W per second was delivered for nine seconds over the cervical areas of the teeth, which covered a majority of the root surfaces. The wand irradiated each sextant area of teeth for 9 seconds each on the buccal and lingual areas. The lasing time for the entire mouth was approximately 2 minutes. To prevent cross-contamination, a clear shield was placed over the delivery area of the bleaching wand or a clear cellophane was wrapped between patients.

In 2007, the initial treatment intervals were the historically standard (or classical) orthodontic reactivation appointments. This was once a month, with the standard activation (using only very light forces) of the orthodontic wires incorporating elastic ties, chains and rubber bands. Other monthly appointments would entail appropriate adjustments of any removable appliances. The laser was applied at the end of the appointment, so teeth were generally exposed to the new stresses applied for a period of 15–30 minutes beforehand. Usual orthodontic precautions and instructions were covered with the patient at each appointment.

After approximately two years of using this protocol, photographs, study models and radiographs were studied, and a decision was made to change the time interval for the reactivation appointments. This new interval was every two weeks with standard orthodontic reactivation appointment work, which was performed as usual. The laser was then applied again at each appointment, and progress notes, photographs and occasionally radiographs were produced. As these records were studied and new background scientific knowledge on laser interaction was learned, new protocols were contemplated for future changes. 

After following cases post-treatment, radiographs were studied and no detrimental effects were noted. This follow-up occurred for two to three years, and another protocol change was designed and implemented. The interval for reactivation appointment was changed to once every week. Any of the standard orthodontic bracketing changes or changes to wires, ties or chains were performed each visit. Alternately, removable appliances and appropriate adjustments also were made at those weekly appointments. The laser was then applied at that time and was performed as previously described. The rapid changes seen prompted treatment photographs and radiographs to be taken to follow cases for progress and safety (root resorption, root shorting and bone changes). 

The weekly orthodontic appointment interval also was evaluated for two to three years. With no detrimental effects seen, a final change was implemented in the protocol. This included once-a-week orthodontic standard reactivation appointment changes, with the application of the laser again at the end of the appointment, as well as a midweek laser application over teeth that needed the greatest amount of movement. This allowed a twice-a-week exposure to the laser energy in the most active movement areas.

With research showing total dose having an effect on tooth movement, the more energy applied within specific parameters, the more movement could be seen. This was applied in this protocol change, doubling up on weekly exposures of energy. These laser application appointments were generally 5 minutes long and were also targeted at orthodontic pain control as well as accelerated tooth movement.

In cases where specifically greater tooth movement was necessary, laser exposure could be directed on those teeth by applying the bleaching wand over only those roots. If neighboring teeth were not needing as much movement, the laser application could be omitted from those areas, thus allowing these areas to act as anchors (with the classical slow movement compared to the lased areas).

Applying research results to even more patients
Back in 2004 when first applying lasers, it was noticed that more-rapid movement was seen at the first reactivation appointment. After many cases with reduced treatment times, a decision was made to irradiate once per month, rather than only on the first day of orthodontic treatment. The laser exposure each month resulted in cases being completed much more quickly: Cases that would have taken two to three years in standard orthodontic treatment were being comfortably completed in six to eight months (Figs. 1 and 2, p. 38). On reactivation appointments, the tremendous and often remarkable movement was discussed by the staff. Quite often, the enthusiasm and excitement by the staff and the patient were identical. When changing out wires, the teeth were usually found to be nonmobile. This made it actually quite difficult to use interproximal polishers when incisor "slenderising" was necessary. This was shocking after 25 years of seeing anterior teeth extremely mobile and reactivation appointments once the arch wires were removed. Radiographs revealed very good bone formation around the teeth that had moved great distances. It was also noted that the usual enlarged periodontal ligament (PDL) seen during classical nonlaser orthodontics appeared to have completely healed with the bone. These "normal"-looking PDLs appeared as if no orthodontics was being done on them at all (Fig. 3, p. 38).

Orthotown Magazine

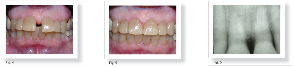
The next change in adjustment of the protocol was to the interval of reactivation appointments. Decreasing the waiting time to two weeks proved to accelerate movement at an even greater rate. As the photographs were examined and the movement assessed, it was amazing that such rapid orthodontic changes could be seen and in most cases, painless or very little pain was noted. Our 78-year-old female patient with osteoporosis completed treatment and movement in four months and remained perfectly comfortable and happy during the course of treatment (Figs. 4 and 5, p. 39). At four months, radiographs revealed bone that had filled in a large diastema between the central incisors, and it appeared to be very dense bone. The anterior incisors had normal nontreatment-sized periodontal ligaments (Fig. 6, p. 39).

Orthotown Magazine

Because of the patient's osteoporosis, banding remained on her teeth for an additional month for safety, and then retainers were made. It was noted in this and all other cases that the lower anteriors, which were going through major changes in movement, had virtually no mobility when arch wires were removed. It was very difficult to polish these teeth interproximally; even standard floss was very tight.

The next time the protocol changed was to schedule reactivation appointments at one-week intervals. Because elastic ties, chains and power arm elastic loops often lose their active elastic energy applied to the teeth in five to seven days after placement, replacing them at one-week intervals appeared to be the next logical adjustment to the rapid tooth movement protocol.

The one-week application of the laser augmented this hardware change and allowed the fastest and the most comfortable movement seen so far. These cases were completed in two to three months routinely; more difficult and stubborn cases might take three to four months. Several women in their mid- to late 60s were able to see tremendous changes in as little as two to four months (Figs. 7 and 8).

The final adjustment in our research was to apply the laser with the optimum exposure time reported in the literature—twice a week. This group had reactivation orthodontic appointments once per week with the laser applied each time, and an additional appointment later in the week for laser reapplication. By applying the laser twice a week, the biostimulation of the tissues could be maximized for the greatest metabolism. By changing elastics each week, the light orthodontic forces could be optimized by the laser's activation of periodontal ligament and bone.

Bony configuration and anatomy changes were seen at an unbelievable rate. Making changes on removable orthodontic appliances weekly and applying laser biweekly had the same phenomenal results. Whether the patient was a child or an adult, tooth movement and alignment could be completed in three to four weeks.

With our 57-year-old female patient, after one month to complete tooth movement and alignment, a decision was made to apply Class II elastic rubber bands to attempt a correction of the Class II jaw relationship to a Class I relationship. We continued the protocol for orthodontic reactivation once a week and twice-a-week laser application to the temporomandibular joint and body of the ramus—but not to the teeth, since they were acting as anchors for mandibular growth and realignment—at the same energy levels previously used on the teeth (Figs. 9 and 10). Fig. 11, on p. 42, shows the case three years after treatment; no relapse has occurred.

Orthotown Magazine

Discussion
Orthodontics is the process of applying pressures. Simply put, on the compression side of the tooth, the developed biologic stress makes cellular changes which differentiate precursor cells into osteoclasts, which leads to bone removal. On the tension side of the tooth, stress applied to precursor cells produce new osteoblast cells, and the bone matrix and ossification result. Orthodontic stress produced in the cells triggers biologically active substances such as cytokines, enzymes, interleukin 1B and 1 RA, and prostaglandin E2 and PGE2.2,5,7,8,9,11,13,17,22,24,26,29,30

Based on my personal research on lasers over the past 15 years, I believe that lasers applied in LLLT activate a cell to do whatever it genetically is destined or differentiated to do—just faster. Rates reported in the literature are often listed at two to six times above the usual production.12,32

Studies have shown that decreasing the duration of orthodontic treatment and pain involved may increase the acceptance of orthodontics in both adults and children.25 This has certainly been the case with patients in my private practice; we were treating more patients in their 60s and 70s than ever in my 40-year orthodontic career. The word-of-mouth on our treatments lasting only months instead of years brought more senior citizens seeking orthodontics. These patients had elected not to do any treatment in the past, mainly due to the longevity of the treatment plans and pain involved.

Conclusion
These laser applications and orthodontic reactivation appointment intervals and their adjustments can change the comfort level and completion times of orthodontics dramatically.

The final conclusion was that by reducing the time for orthodontics so dramatically, I was able to reduce my fees by one-third and was still able to double my income per hour in orthodontic treatment. Often, adult patients would say they would've paid double the standard orthodontic fees to achieve our dramatic and less painful results. A definite win-win situation for both patient and practitioner.

 

References

  1. Alhashimi N, Frithiof L, Brudvik P, Bakhiet M (2001) Orthodontic tooth movement and de nova synthesis of proinflammatory cytokines. Am J Orthod Dentofacial Orthop 119:307-312
  2. Carvalho RS (1997) Genomic basis of orthodontic forces: role of osteopontin in osteoblasts [dissertation]. Harvard School of Dental Medicine, Boston
  3. Coombe AR, Ho CT, Darendeliler MA, Hunter N, Philips JR, Chapple CC, Yum LW. The effects of low level laser irradiation on osteoblastic cells. Clin Orthod Res 2001;4:3-14.
  4. Cruz DR, Kohara EK, Ribeiro MS, Wetter NU (2004) Effects of low-intensity laser therapy on the orthodontic movement velocity of human teeth: a preliminary study. Lasers Surg Med 35:117-120
  5. Duan U, Inoue H, Kawakami M, Kato J, Sakuda M (1993) Changes in bone formation during experimental tooth movement after denervation of the rabbit inferior alveolar nerve. J Osaka Univ Dental School 33:45-50
  6. Ghizlane Gene, Ilken Kocadereli, Ferda Taser, Kamer Kiline, Sibel El, Bahram Sarkarati. Effect of low-level laser therapy (LLLT) on orthodontic tooth movement. Lasers Med Sci (2013) 28:41-47
  7. Grieve WG III, Johanson J, Moore RN, Reinhardt RA, DuBois LM (1994) PGE and IL-1 beta levels in gingival crevicular fluid during human orthodontic tooth movement. Am J Orthod Dentofacial Orthop 105:369-374
  8. Hall M, Masella R, Meister M (2001) PDL neuron-associated neurotransmitters in orthodontic tooth movement: identification and proposed mechanism of action. Todays FDA 13(2):24-25 (Feb)
  9. Insoft M, King GJ, Keeling SD (1996) The measurement of acid and alkaline phosphatase in gingival crevicular fluid during orthodontic tooth movement. Am J Orthod Dentofacial Orthop 109:287-296
  10. Iwasaki LR, Haack JE, Nickel JC, Morton J (2000) Human tooth movement in response to continuous stress of low magnitude. Am J Dentofacial Orthop 117:175-183
  11. Kawarizadeh A, Bourauel C, Jager A (2003) Experimental and numerical determination of initial tooth mobility and material properties of the periodontal ligament in rat molar specimans. Eur J Orthod 25:569-578
  12. Kawasaki K, Shimizu N. Effects of low-energy laser irradiation on bone remodeling during experimental tooth movement in rats. Lasers Surg Med 2000;26:282-291
  13. King GJ, Kelling SD< Wronski TJ (1991) Histomorphometric study of alveolar bone turnover in orthodontic tooth movement. Bone 12:401-409
  14. Lim HM, Lew KK, Tay DK. A clinical investigation of the efficacy of low level laser therapy in reducing orthodontic postadjustment pain. Am J Orthod Dentofacial Orthop 1995;108:614-622
  15. Limpanichkul W, Godfrey K, Srisuk N, Rattanayatikul C (2006) Effects of low-level laser therapy on the rate of orthodontic tooth movement. Orthod Craniofac Res 9:38-43
  16. Mackie EJ (2003) Osteoblasts: novel roles in orchestration of skeletal architecture. Int J Biochem Cell Biol 35:1301-1305
  17. Middleton J, Jones ML< Wilson AN (1996) The role of the periodontal ligament in bone modeling: the initial development of a time dependent finite element model. Am J Orthod Dentofacial Orthop 109:155-162
  18. Mohamed Youssef, Sharif Ashkar, Eyad Hamade, Norbert Gutkneeht, Friedrich Lampert, Maziar Mir, The effect of low-level laser therapy during orthodontic movement: a preliminary study. Lasers in Med Sci (2008) 23:27-33
  19. Mohammed AH, Tatakis DN, Dziak R (1989) Leukotrienes in orthodontic tooth movement. Am J Orthod Dentofacial Orthop 95:231-237
  20. Ozawa Y, Shimizu N, Kariya G, Abiko Y. Low-energy laser irradiation stimulates bone nodule formation at early stages of cell culture in rat calvarial cells. Bone 1998;22:347-354.
  21. Proffit WR, Fields HW Hr (2000) Contemporary orthodontics, 3rd edn. Mosby, St. Louis.
  22. Saito M, Saito S, Ngan PW, Shanfeld J, Davidovitch Z (1991) Interleukin-1b and prostaglandin E are involved in the response of periodontal cells to mechanical stress in vivo and in vitro. Am J Orthod Dentofacial Orthop 99:226-240
  23. Saito S, Shimizu N (1997) Stimulatory effects of low-power laser irradiation on bone regeneration in midpalatal suture during expansion in the rat. Am J Orthod Dentofacial Orthop 111 (5):525-532
  24. Sandy JR, Farndale RW, Meikle MC (1993) Recent advances in understanding mechanically induced bone remodeling and their relevance to orthodontic theory and practice. Am J Orthod Dentofacial Orthop 103:212-222
  25. Seifi M, Shafeei HA, Daneshdoost S, Mir M (2007) Effects of two types of low-level laser wave lengths (850 and 630 nm) on the orthodontic tooth movements in rabbits. Lasers Med Sci 22:261-264
  26. Shimizu N, Yamaguchi M, Goseki T, Ozawa Y, Saigon K, Takiguchi H,Iwasawa T, Abiko Y (1994) Cyclictension force stimulates interleukin-1b production by human periodontal ligament cells. J Periodontal area 29:328-333
  27. Skinner SM, Gage JP, Wilce PA, Shaw RM (1996) A preliminary study of the effects of laser radiation on collagen metabolism in cell culture. Aust Dent J 41:188-192
  28. Smith RJ, Burstone CJ (1984) Mechanics of tooth movement. Am J Orthod 85:294-307
  29. Sorsa T, Inman T, Mikkonen T, Suomalainen K, Golub LM, Thesleft I (1992) Characterization of interstitial collagenase in gingival crevicular fluid during orthodontic tooth movement in man. In: Davidovitch Z (ed) The biological mechanism of tooth movement and craniofacial adaptation. The Ohio State University College of Dentistry, Columbus, OH, pp 47-51
  30. Vandevska-Radinovic V (1999) Neural modulation of inflammatory reactions in dental tissues incident to orthodontic tooth movement. Eur J Orthod 21:231-247
  31. Winkler DG< Sutherland MK< Geoghegan JC et al (2003) Osteocyte control of bone formulation via sclerostin, a novel BMP antagonist. EMBO J 22:6267-6276
  32. Youssef M, Ashkar S, Hamade E, Gutknecht N, Lampert F, Mir M (2008) The effect of low-level laser therapy during orthodontic movement: a preliminary study. Lasers Med Sci 23(1):27-33

Dr. John Hendy graduated from University of the Pacific Dental School in 1977 and earned a master's in advanced laser dentistry from the University of Vienna in 2008. He has been a diplomate of the American Dental Society of Anesthesia for 25 years and a member of the International Association of Orthodontists for more than 20 years and has had a fellowship with World Clinical Laser Institute for the past decade. Hendy has taught in countries across the world and has published several articles.
Sponsors
Townie® Poll
Which emerging technology do you think will have the biggest impact on practice efficiency in the next 5 years?
  
The Orthotown Team, Farran Media Support
Phone: +1-480-445-9710
Email: support@orthotown.com
©2026 Orthotown, a division of Farran Media • All Rights Reserved
9633 S. 48th Street Suite 200 • Phoenix, AZ 85044 • Phone:+1-480-598-0001 • Fax:+1-480-598-3450