Nonsurgical Orthodontic Treatment

Message Board Header

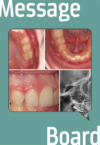
Nonsurgical Orthodontic Treatment
Townie "HappyOrthoD" has a young patient who could use treatment planning—and surgery could be an option. Is it called for in this case?

Click Here to join this conversation.

Sponsors
Townie® Poll
What percentage of your treatments involve traditional ortho (brackets, wires, etc.)?
  
The Orthotown Team, Farran Media Support
Phone: +1-480-445-9710
Email: support@orthotown.com
©2026 Orthotown, a division of Farran Media • All Rights Reserved
9633 S. 48th Street Suite 200 • Phoenix, AZ 85044 • Phone:+1-480-598-0001 • Fax:+1-480-598-3450