Ignoring Biological Limitations by Dr. Jeffrey Miller and Gracee Hutchinson

Ignoring Biological Limitations 

Five lessons orthodontists can learn from AGGA


by Dr. Jeffrey Miller and Gracee Hutchinson


No internal review board would approve an experimental protocol on human subjects with the potential to cause predictable harm. If an orthodontic researcher proposed to move teeth far beyond the limits of the facial cortical plate, to intentionally leave them there without bone support, and to later attempt retraction, they would be laughed out of any review board. Yet this sequence of events mirrors what has occurred in clinical practice with the Anterior Growth Guidance Appliance (AGGA).

The Anterior Growth Guidance Appliance, developed by general dentist Steve Galella, has been marketed as a nonsurgical remedy for a range of problems, including obstructive sleep apnea and temporomandibular joint disorders. Promoters claim the device stimulates forward growth of the maxilla by means of a small acrylic pad said to press on a nerve meridian, thereby reversing aging and promoting forward maxillary advancement. These assertions have neither clinical nor scientific support.

Structurally, the appliance resembles a distal jet and is designed to reopen bicuspid extraction spaces to increase oral volume (Fig. 1). The assumption that extraction orthodontics is directly related to a loss of oral volume and that extraction spaces must therefore be reopened to increase oral volume is not supported by peer-reviewed literature. The AGGA treatment protocol has a total disregard for the established biological limitations of orthodontic tooth movement and orthodontic theory. Among the more than 10,000 patients who have received AGGA therapy, the resulting damage has been both predictable and consistent, with the severity of harm correlating closely to the length of time the appliance was worn and the magnitude of tooth movement.
Ignoring Biological Limitations
Fig. 1: Anterior Growth Guidance Appliance (AGGA).1


This article highlights five key lessons that orthodontists can learn from patients treated with the AGGA and presents a single case illustrating its destructive potential.


Case example
Among the thousands of reported AGGA cases, this patient illustrates the consequences particularly well. The patient, a young Fulbright scholar and woodwind virtuoso, had undergone previous Phase I orthodontic treatment with palatal expansion and Phase II treatment involving the extraction of the first four bicuspids. As an adult, she underwent retreatment, which included the extraction of one lower incisor (Fig. 2).
Ignoring Biological Limitations
Fig. 2: Pre-AGGA treatment. Intraoral photographs not in centric relation; patient posturing forward. Patient-provided photographs.

Her chief complaint was related to airway issues, and she sought a nonsurgical remedy (Fig. 3). The bicuspid extractions were erroneously implicated as the cause of her breathing problems. Her general dentist claimed her breathing issues could be nonsurgically corrected with the AGGA by reopening the extraction sites with the intention of creating space for implants, effectively attempting to reverse the extractions and the presumed cause of the airway issues. The patient wore the device for one year, during which time the treating dentist claimed she had achieved 7 mm of forward maxillary bone growth. (Fig. 4)
Ignoring Biological Limitations
Fig. 3: 2013 CBCT-generated lateral cephalogram taken before treatment. Patient-provided scan
Ignoring Biological Limitations
Fig. 4: CBCT-generated lateral cephalograms pre-AGGA and at end-stage AGGA treatment. Patient-provided scans.

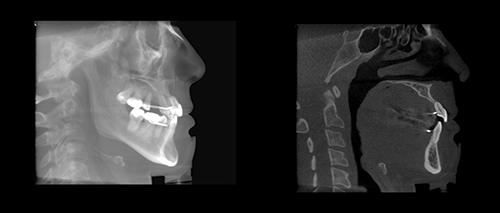
This growth was erroneously measured using the cephalometric SNA measurement. Upon closer examination, the maxilla did not grow forward (A-point) as claimed by AGGA providers. The claim of maxillary forward growth was incorrectly measured by using the facial root surface of an upper central incisor as A-point (Fig. 5). Misidentifying the A-point in this way contributed to the belief that maxillary forward growth had occurred.
Ignoring Biological Limitations
Fig. 5: Improper A-point identification on CBCT-generated lateral cephalograms taken at pre-AGGA treatment (2013) and at end-stage AGGA treatment (2019) falsely implies forward growth of the maxilla. Patient-provided scans.

In reality, most of the movement in this case and in the majority of AGGA patients occurred through distalization of molars in the posterior region, with some forward movement of the upper anterior segment. The fatuous “claimed growth” was supported by an inappropriate A-point location, a common error with cephalometric measurements.

The AGGA advances teeth beyond the boundaries of the facial cortical plate. Tooth movement beyond areas of alveolar bone support predictably causes dehiscence and fenestration. With time, the original or pretreatment alveolar housing adaptively resorbs to comport with the orthodontically repositioned root. In AGGA treatment, this typically results in a loss of buccal-lingual alveolar housing width, compromising bone support and leaving roots significantly dehisced.

If sufficient time passes, even retraction of the teeth back to their original position cannot restore the lost alveolar support. This mechanism explains why AGGA patients, even when retreated, often cannot recover lost bone support.

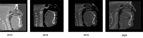
From a cephalometric perspective, the damage is difficult to visualize. Alveolar bone dehiscence and fenestration is impossible to accurately diagnose with cephalograms because of the wide focal width causing superimposition of structures. However, cone-beam computed tomography (CBCT) can quantify the damage on a slice-by-slice basis (Fig. 6). In this case, a 2019 CBCT scan revealed extreme alveolar bone loss (Fig. 7).
Ignoring Biological Limitations
Fig. 6: CBCT slices of alveolar bone support of a maxillary central incisor pretreatment (2013), pre-AGGA (2016), end-stage AGGA (2019), and post-AGGA treatment (2020). The post-AGGA scan followed orthodontic retraction with fixed appliances. Adaptive resorption is demonstrated by the diminished buccal–lingual alveolar housing. Patient-provided scans.
Ignoring Biological Limitations
Fig. 7: End-stage AGGA CBCT-generated lateral cephalogram compared to a sagittal slice of an upper central incisor from the same CBCT scan. The sagittal CBCT slice depicts extreme alveolar bone loss from adaptive resorption, resulting in minimal incisor bone support. Patient-provided scans.


Unfortunately, rather than using proper CBCT techniques to evaluate the alveolar bone and root conditions, the CBCT scans were often used only to generate conventional 2D lateral cephalograms, forfeiting the diagnostic advantage of three-dimensional imaging. This two-dimensional view masks the extent of damage. It is worth considering whether, if the patient’s provider had accurately utilized the CBCT scans throughout treatment to assess individual slices, the treatment could have been stopped or altered to reduce the extent of damage.

After one year with the AGGA, this patient’s maxillary anterior teeth demonstrated extreme dehiscence. The alveolar housing had adaptively resorbed to comport with the expanded root position, rendering post-AGGA retraction of the upper teeth problematic—that is, beyond the lingual limits of the diminished alveolar housing caused by the AGGA (adaptive resorption) (Fig. 8). Ultimately, the patient lost all four maxillary anterior teeth, effectively ending her career as an accomplished clarinetist.
Ignoring Biological Limitations
Fig. 8: Clinical photographs of the patient post-AGGA treatment after some orthodontic retraction with fixed appliances (2019). Patient-provided photographs.

This case is far from unique. Many AGGA cases have been well-documented, demonstrating similar patterns of dehiscence and irreversible bone loss.


Clinical takeaways
Assessment of this case and other AGGA cases can provide orthodontists with five key lessons:
  • Cephalometric radiographs can camouflage the damage of dehiscence and fenestration. Conventional lateral cephalograms are ripe with superimposition, precluding accurate assessment of dehiscence and fenestration.
  • Orthodontic tooth movement beyond the cortical plates causes dehiscence. The severity of dehiscence is directly related to the amount of orthodontic expansion.
  • The alveolar housing adaptively resorbs (loss of alveolar bone) over time to comport with the orthodontically repositioned root, thereby limiting corrective measures.
  • Root resorption can occur when teeth are pushed through the limits of the cortical plates (not shown in this case example).
  • CBCT can quantify the damage from indiscriminate expansion with the AGGA.
This case underscores the hazards of adopting unvalidated appliances based on pseudoscientific claims and the devastating consequences of ignoring realistic biological limits of orthodontic tooth movement. The AGGA does not “grow” the maxilla; rather, it repositions and flares teeth into areas of insufficient bone, producing sometimes irreversible loss of alveolar support. Alveolar bone does not remodel enough to support teeth moved significantly beyond the biologic limitations defined by the cortical plates. Use of the AGGA or similar devices exemplifies the dangers of oversimplified etiologic reasoning. Orthodontists must therefore remain vigilant in differentiating between skeletal changes and orthodontic tooth movements masked by cephalometric superimposition, and utilize three-dimensional CBCT to safely monitor orthodontically induced dehiscence and fenestration. 


References
1. Kelman B, Werner A. ‘AGGA’ Inventor Testifies His Dental Device Was Not Meant for TMJ or Sleep Apnea. KFF Health News. Published December 22, 2023. Accessed October 6, 2025. https://kffhealthnews.org/news/article/agga-inventor-testifies-dental-device-not-designed-for-tmj-or-sleep-apnea.


Author Bios
Dr. Jeffrey C. Miller Dr. Jeffrey C. Miller is a board-certified orthodontist with more than 40 years of clinical experience. He speaks both nationally and internationally on cone-beam computed tomography (CBCT) and its applications in orthodontic analysis and treatment planning.



Gracee Hutchinson Gracee Hutchinson is a technical writer and research assistant investigating alveolar-focused orthodontic treatment strategies with CBCT.




Sponsors
Townie® Poll
Which emerging technology do you think will have the biggest impact on practice efficiency in the next 5 years?
  
The Orthotown Team, Farran Media Support
Phone: +1-480-445-9710
Email: support@orthotown.com
©2026 Orthotown, a division of Farran Media • All Rights Reserved
9633 S. 48th Street Suite 200 • Phoenix, AZ 85044 • Phone:+1-480-598-0001 • Fax:+1-480-598-3450