When to Step In (and When to Step Back) in Phase I Treatment

When to Step In (and When to Step Back) in Phase I Treatment
Straight Talk draws its cases and discussion from the Orthotown message boards. Developed with the assistance of AI tools and edited by the editorial team, each article showcases how orthodontists tackle unusual and challenging scenarios.
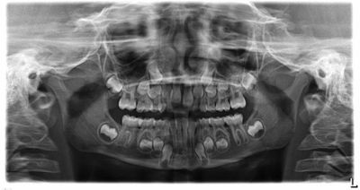
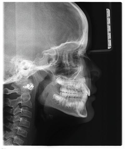
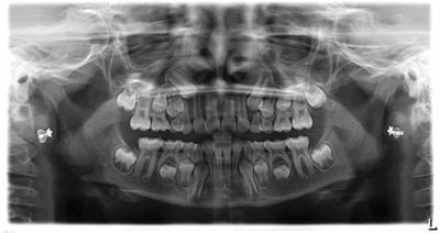
Every orthodontist has a few cases that keep them up at night, where a single tooth seems to have a mind of its own. One recent discussion on the Orthotown message boards centered on a 10-year-old patient (Figs. 1–3) whose upper right canine (UR3) was trying to erupt past the lateral incisor (UR2). The case sparked a lively debate on timing, technique, and just how much Phase I treatment is really worth.
When to Step In (and When to Step Back) in Phase I Treatment
Fig. 1: Current records. 10 years old.
When to Step In (and When to Step Back) in Phase I Treatment
Fig. 2
When to Step In (and When to Step Back) in Phase I Treatment
Fig. 3

The treating doctor explained that the patient had undergone a rapid palatal expander (RPE) two years earlier for severe crowding and a crossbite (Figs. 4–5). Despite that, the UR3 appeared to be off course. “I’m more of a minimalist every year when it comes to Phase I treatment,” the doctor wrote. “In this case, it looks like a second round of RPE could save the day.”
When to Step In (and When to Step Back) in Phase I Treatment
Fig. 4: Records from two years ago, prior to RPE.
When to Step In (and When to Step Back) in Phase I Treatment
Fig. 5

That sparked a thoughtful discussion about whether to expand again, extract, or simply wait.

Several Townies favored another round of RPE, possibly combined with extraction of the primary canine (URc). “I would do both another round of RPE and ext URc, then re-eval,” one orthodontist replied. “If more was needed, I’d bond 2x4s upper to mesialize the UR2 root apex for more clearance.”

Others pushed back, questioning the value of more expansion. “I’m not sure how another round of RPE will help,” one doctor noted. “That won’t likely change the angulation of UR2 and UR3.” Instead, they suggested limited braces to guide the roots, warning that while there’s always some resorption risk, leaving things alone could be just as risky.

Some favored a middle-ground approach: minor intervention followed by observation. “I would extract URc and URd and follow up with another panoramic in nine months,” one clinician said, referencing research showing improved canine eruption when both are removed. Another added, “I’ve been pleasantly surprised at how these self-correct a lot of times.”

Then there were the pragmatists who had seen enough unpredictable canine behavior to know when to stop promising miracles. “I have tried all kinds of things to get cuspids to cooperate,” one wrote. “Sometimes you get lucky, and sometimes they have a mind of their own. I never promise to redirect the eruption of a cuspid with Phase I.”

As the thread continued, the tone shifted toward patience and practicality. One Townie cautioned that too much early treatment can backfire, noting that after years of Phase I, some patients end up needing extractions and lengthy treatment anyway. Overdoing early intervention can burn out families and insurance long before comprehensive care even begins. In the end, the only one who really benefits from four or five years of ortho is the doctor.

By the end, most agreed the best course might be to give the young patient a break: extract a few baby teeth, monitor eruption, and save the full effort (and cost) for comprehensive treatment later. A few even suggested offering a future fee credit as a goodwill gesture if the family had already paid for expansion.

The takeaway? Phase I treatment is as much an art of restraint as it is intervention. Sometimes the smartest move is to do a little, then let growth and time do the rest.

How do you decide when to take action versus hold back in Phase I cases like this?

Join the Conversation!


Sponsors
Townie® Poll
Which emerging technology do you think will have the biggest impact on practice efficiency in the next 5 years?
  
The Orthotown Team, Farran Media Support
Phone: +1-480-445-9710
Email: support@orthotown.com
©2026 Orthotown, a division of Farran Media • All Rights Reserved
9633 S. 48th Street Suite 200 • Phoenix, AZ 85044 • Phone:+1-480-598-0001 • Fax:+1-480-598-3450