Orthotown.com Highlights

Case Presentation

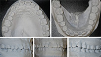
Buccal Crossbite in an Adult
This Townie has a hard time with buccal crossbites in adults when the teeth have super-erupted past each other vertically. Do you have any tips for him?


Message Boards

Space Next to Pedo Office
This Townie is debating moving offices to be next to a pedo dentist. He wants to know the pros and cons.

Are They Just Trying to Put Us Out of Business?
A great discussion about GPs who perform orthodontics. What do you think?


Features

Will you pass the medical device tax on to your patients?
Do you know about the Orthotown's Virtual Study Club? This is a great place to post your progressive cases. Get feedback from others, help residents and orthos new to the profession and make friends, all in the same place!
A. Yes
B. Yes, plus an increased inflationary cost
C. No
D. Not sure yet
E. What are you talking about?

Comments
At Orthotown Magazine, we do "Letters to the Editor" a little differently. Log on to Orthotown.com and view the digital edition of the magazine. Post your comments below each article and tell the editors and other Townies what you think.

Online CE
Keeping More of Your Hard Earned Money - Improve the Bottom Line
in Minimal Time
- Garrett B. Gunderson

Gunderson shares ways to pay off debt faster, save more in taxes and get more insurance coverage without paying more money. He’ll show you how to unlock your trapped and underperforming retirement funds, and have more money to do what you want today to build your business.

Sponsors
Townie® Poll
Which emerging technology do you think will have the biggest impact on practice efficiency in the next 5 years?
  
The Orthotown Team, Farran Media Support
Phone: +1-480-445-9710
Email: support@orthotown.com
©2026 Orthotown, a division of Farran Media • All Rights Reserved
9633 S. 48th Street Suite 200 • Phoenix, AZ 85044 • Phone:+1-480-598-0001 • Fax:+1-480-598-3450