Quantum leaps in orthodontic diagnostic potential
have occurred in the past decade. This has been primarily
the result of the introduction of 3D imaging to dentistry.
Digital 3D imaging has opened the window into the hard
and soft structures of our patients, allowing us to:
- pursue an analysis of "anatomic truth" as part of our
diagnoses and interactive treatment planning,
- diagnose in 4D (adding the element of serial images
without the confounding issues inherent in 2D
imaging, such as image distortion and altered angles
of viewing and magnification),
- create visual treatment simulations for orthodontic
and orthognathic surgical movements,
- simulate placement of temporary anchorage devices,
- simulate placement of implants to ensure readiness
to remove pre-implant orthodontic appliances,
- simulate the prosthodontic replacement of teeth,
- store records digitally, and
- fabricate appliances using 3D images and models.
The focus of this article is on 3D and 4D diagnostics
using cone beam volumetric imaging (CBVI), also known
as cone beam computed tomography (CBCT). More to
the point, this article will outline a "cookbook" that the
clinical orthodontist and staff can implement to create and
save the images obtained from 3D scans. Controversial
issues such as when CBVI is indicated, who should read
the data set, and the econometrics of 3D imaging can and
should be debated in other articles.
The challenges of a quantum leap in our profession are
manifold. Owning and maintaining the technology is an
enormous expense, and drastic changes to the practice
workflow are required, perhaps including an office remodel.
Additionally, seasoned practitioners
have not been educated
on the technology or what to do
with the new information. How
do we use the data acquired from
3D and 4D imaging?
Let's break down the question
into a more detailed set of questions:
How do we view the data?
Do we view the data when the
patient is in the office, or after
hours? Which images do we
build for each patient? Which
images do we save in the patient
chart for future viewing? Which
images do we share with the
patient's other practitioners? How
long do we have to wait for the
profession to move toward a standardized protocol, or group of
acceptable protocols for these?
The answer to the question of how long it will take our profession
to develop the protocols and accepted methods of analyses
is becoming clear: a long time. One needs only to reflect back
on the last substantial improvement in diagnostics, the lateral
cephalogram. B. Holly Broadbent published his classic article
describing the use of the cephalometric radiograph in 1931.1
However, regular use and development of cephalometric analyses
were not put into practice until the 1950s. CBVI was introduced
to dentistry in 1998,2,3 and remarkably, for 12 years there
was not a proposed method of analysis or sample montage of
images that could be created with 3D imaging. Taking into consideration
the length of time required for our specialty to adopt
new technology, I felt the need and desire to accelerate the
process. Hence, I published a template for use with CBVI in the
April 2010 Journal of Clinical Orthodontics.
There are thousands of CBVI machines installed in the U.S.
with more than 30 vendors manufacturing the machines. At last
count, approximately 20-plus orthodontic residences are using
CBVI as their principle method of imaging. One could estimate
that there have been 100,000 or more 3D scans of orthodontic
patients. Since we are making the images, it is our responsibility
to have an effective methodology for creating, assessing, sharing
and documenting the images created from CBVI data. For those
not familiar with CBVI, the machine looks very similar to a
combination pan-ceph machine (Fig. 1).
It is a digital machine that creates data that is "processed" by
a computer (no X-ray picture is directly created by the machine).
A trained orthodontic technician can create a series of images
that resemble traditional X-rays and myriad other images to
form the template previously published.4 The process of making
the patient scan is approximately one minute long. The time
required by an experienced technician to build the images for
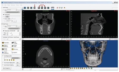
our template (the German template) in Dolphin Imaging is
approximately six minutes (Fig. 2).
The German template of images is intended to ensure that a
comprehensive evaluation of the data occurs for every patient,
and that the appropriate data is shared with colleagues. Each
new patient scan is scrutinized as articulated in the publication,
viewing all data in three multiplanar views (sagittal, axial and
coronal), followed by an additional review of the images created
in the German template. A very basic explanation of the purpose
of each of the views and the information gleaned from them is
described in the JCO publication.4
The remainder of this article serves as a "cookbook" for creating
the default settings on the Dolphin Imaging and TxStudio software
packages and the six-minute process for you or your
technician to create/save the desired images on the computer using
Dolphin software. When building the template for the first time,
it will take a doctor or staff member at least 30 minutes to work
through the instructions. Although the instructions should be adequate
for the 3D novice, familiarity with Dolphin and TxStudio is
helpful. More details regarding the nuances of the software can be
gleaned from Dolphin and TxStudio training materials.
You may load the complimentary default German Dolphin
template from an installer written by Dolphin Imaging available
at www.germanorthodontics.com. Click on the box labeled "3D imaging training" or use the direct link (http://germanorthodontics.com/orthodontic-3d-imaging-training/). The
automatic process will take approximately one minute to load.
To watch the German Orthodontic staff create the images in
Dolphin as described in the article, click the header labeled "3D
imaging training." Under that header you can also view a video
we produced, "a primer on diagnosing and treatment planning
with 3D CBVI."
Saving Patient Images to the
German Layout Dolphin Template
- After making the patient's 3D CBVI scan, open Dolphin
and click "Patients" to open the "Patient Lookup" window.
Then click "New Patient…" and select "New Patient
from DICOM."
- Navigate to the DICOM file storage location. Select the
patient's ID and click "Open."
- Select the most recent scan date and click "Open."
- Select the DICOM folder and click "Open."
- Select any .dcm file and click "Open." (*Note: If the patient
already exists in the Dolphin database, the existing patient
profile will open at this point.)
- To build images for an existing patient with a previously
loaded DICOM file, click "Patients" to open the
"Patient Lookup" window and search for the desired
patient. Click "OK," then select the appropriate time
point. Click "3D" and select the "Edit" option.
- After the DICOM data has loaded, first click
"Orientation" to open the "Orientation Calibration" window.
Select the "Right" tab at the top of the window. To
orient the image, click and drag the mouse to rotate the
skull until the left and right orbits and mandible are
superimposed on each other as able. Click "OK."
- To save the hard frontal image, click "Send Snapshot," then click "Save to Dolphin Layout/Database."
- Click the square indicated below (the "Image Title"
will automatically load with "Hard Frontal"). Then
click "Save."
- Click "Sinus/Airway." First, focus on the upper left side
of the screen to outline the airway. Place your mouse to
the right of the opening of the airway and click to make
the first green point, then move the mouse over the airway
passage to the left and click a second time to make
another green point on the opposite side. (The vertical
height of the upper line should be determined by the
doctor and used consistently for each scan made.) Next,
move the mouse down along the side of the airway and
click to make a third green point to the bottom left of
the airway, then move the mouse over the airway passage
to the right and click a fourth time to make a green
point to the bottom right of the airway. Finally, move
the mouse back up along the side of the airway and reclick
on the first green point to complete the airway outline
box.
Click the "Add" button (located under the lateral picture)
and a small, yellow dot will populate. Use the mouse
to drag the yellow dot into the airway area. (See steps 1-3
shown on the top right picture for additional assistance.)
Click "Update Volume."
Once the airway volume has updated, focus on the
upper right side of the screen. Check the box to "Enable
Minimum Axial Area." Then drag the red lines to the top
and bottom of the airway outline (the top red line should
be directly beneath the top green line and the bottom red
line should be directly above the bottom green line) and
click "Find."
Depending on the doctor's preference, you may
choose to adjust the slide bar next to "Soft Tissue" to
slightly change the look of the soft tissue. Select the
"Right View" icon (see diagram below for location) and
check the "Hard Tissue" box.
Then click the "Volume View" icon in the upper left
corner and click "Send Snapshot" and select "Save to
Dolphin Layout/Database."
- To save the airway image, click the square indicated
below (the "Image Title" will automatically load with
"Translucent Volume"). Then click "Save."
- Click "OK" to exit the "Sinus/Airway" window. Then
click "Build X-rays." Click "OK" in the pop-up window
that appears and the "Build X-rays Tool" window will
open. (See above.)
- Select "Lateral" from the "View" drop-down menu and
click "Apply." Adjust the "Sharper" slider and "Dolphin
1" Level to the doctor's preference. [*Note that the ceph
generation preferences should be selected according to the
desired protocol; orthogonal (1:1) or perspective (magnified)
projection]. Then select "Send Snapshot" and "Save
to Dolphin Layout/Database."
- To save the lateral X-ray image, click the square indicated
below (the "Image Title" will automatically load
with "X-ray Lateral"). Then click "Save."
- Remain in the "Build X-rays Tool" window and select
"Panoramic" from the "View" drop-down menu. Adjust
the top white line to the bottom of the orbit, and the
bottom white line to below the chin. Adjust the blue line
to the left of the condyle and the red line to just below
the crown of the lower teeth.
Focus on the lower left side of the screen to create the
"Arch Path." Begin below the blue line on the left side
and click to place the first red path point. For optimal
visual quality, place two path points along the arch, then
click in the middle of every tooth to add path points.
Double click below the blue line on the right side to
complete the path. Then click "Apply." Adjust the
"Sharper" slider and the "Dolphin 1" Level to the doctor's
preference. Click "Send Snapshot" and "Save to
Dolphin Layout/Database."
- To save the panoramic X-ray image, click the square
indicated below (the "Image Title" will automatically
load with "X-ray Panoramic"). Then click "Save."
- Select "TMJ" from the "View" drop-down menu.
Adjust the white lines to border the condyle (the top line
will be near the bottom of the orbit and the bottom line
will be roughly one-third of the way down the jaw) and
adjust the red line to bisect the center of the condyle.
(*Hint: While adjusting the red line, focus on the lower left
image. The condyles are shaped like kidney beans, so when
the "beans" appear, you know the red line is positioned correctly
on the condyle.)
Focus again on the picture in the lower left of the
screen. Adjust the lower red path points (with the yellow
boxes around them) so they are in the middle of each
condyle. Adjust the upper path points until the red lines
are perpendicular to the condylar axis. The lines should
be bisecting the condyles. Select "Sagittal" from the
"Direction" drop-down menu and click "Apply."
Focus on the upper right section of the screen.
Adjust the yellow hash marks to ensure the clearest view
of the condyle, and then adjust the "Sharper" slider as
needed. Select "Send Snapshot" and "Save to Dolphin
Layout/Database."
- To save the sagittal TMJ X-ray image, click the square
indicated below (the "Image Title" will automatically
load with "TMJ Sagittal"). Then click "Save."

- "TMJ" should still be selected from the "View" dropdown
menu. Select "Coronal" from the "Direction"
drop-down menu. Click "Apply." Adjust the yellow hash
marks in the upper right-hand corner to ensure the
clearest view of the condyle, and then adjust the
"Sharper" slider as needed. Select "Send Snapshot" and
"Save to Dolphin Layout/Database."
- To save the coronal TMJ X-ray image, click the square
indicated below (the "Image Title" will automatically
load with "TMJ Coronal"). Then click "Save."
- Select "Frontal" from the "View" drop-down menu and
click "Apply" to build the frontal X-ray image. Adjust the
"Sharper" slider and "Dolphin 1" Level to the doctor's
preference. [*Note that the ceph generation preferences
should be selected according to the desired protocol; orthogonal
(1:1) or perspective (magnified) projection.] Then select
"Send Snapshot" and "Save to Dolphin Layout/Database."
- To save the frontal X-ray image, click the square indicated
below (the "Image Title" will automatically load
with "X-ray Frontal"). Then click "Save."
- Click the "X" to close the "Build X-rays Tool" window.
- Select the "4-Equal Slices-Volume Layout" icon at the
top of the screen. Adjust the crosshairs to the doctor's
preference on each of the three slice views. Adjust the
green line until the "Coronal Slice" focuses on the first
molars. Move the red line so the "Sagittal Slice" shows
the right centrals. Adjust the blue line so the "Axial
Slice" shows the lower root tips.
After all three pictures are adjusted, select the
"Show/Hide Crosshairs on the Slice Views" icon (that
looks like four black boxes) to remove the lines from the
images. Then individually select each of the three
("Sagittal," "Coronal" and "Axial") icons. For each picture, when it is enlarged to be the only image on the
screen, save by clicking "Send Snapshot" and choosing
"Save to Dolphin Layout/Database."
- To save the sagittal slice, click the square indicated below
(the "Image Title" will automatically load with "Sagittal
1s"). Then click "Save."
- To save the coronal slice, click the square indicated
below (the "Image Title" will automatically load with
"Coronal 6s"). Then click "Save."
- To save the axial slice, click the square indicated below
(the "Image Title" will automatically load with "Axial
Mandible"). Then click "Save."
- Click the "X" to close the window.
- Click "Digitize."
- Select your preferences in the "Digitize Setup" window,
then click "Start Digitize."
- To trace the ceph, follow the written and spoken instructions
that automatically activate. When the tracing is complete,
click "OK" and "Digitized – Ceph Lateral" will
automatically save into the Image Layout. (The current layout
includes the untraced frontal ceph. A traced frontal can
be saved off of the template. It can be viewed by choosing
"Everything" from the "Layout" drop-down menu.)
- Choose "Image Layouts" from the "Layout" drop-down
menu. Then click "Capture/Scan" to begin importing
patient intra/extraoral photos.
- In the "Capture Setup" pop-up window, click "Start
Capture."
- Click "Browse" to navigate to the photo storage location.
Drag the appropriate thumbnails from the list on the right to the specified photo positions and edit as
needed, then click "Save."
-
The German template is complete!
References
- Boadbent BH. A New X-Ray technique and Its Application to Orthodontia, Angle ortho. Vol 1. No 2 April 1931
- Cattaneo, P.M.; Bloch, C.B.; Calmar, D.; Hjortshøj, M.; and Melsen, B.: Comparison between conventional and conebeam computed tomography-generated cephalograms, Am. J. Orthod. 134:798-802, 2008.
- Mozzo, P.; Procacci, C.; Tacconi, A.; Martini, P.T.; and Andreis, I.A.: A new volumetric CT machine for dental imaging based on the cone-beam technique: Preliminary results, Eur. Radiol. 8:1558-1564, 1998.
- German D, German J. Cone Beam Volumetric Imaging: A Two minute Drill. J Clin Ortho 2010; April 2010, 253-265
| Author's Bio |
Dr. Dan German has a private orthodontic practice in Dayton, Ohio. He is a part-time assistant clinical professor at The Ohio State University
and is a consultant to the University of Louisville Division of Orthodontics. He has been the keynote speaker at orthodontic association meetings
from Alaska to South Africa, and most recently at New Zealand's University of Otago. Dr. German's article presenting a protocol for using
3D CBVI in orthodontic diagnosis and treatment planning was featured in the Journal of Clinical Orthodontics. He has also been published in the Journal
of the American Dental Association and the American Journal of Orthodontics and Dentofacial Orthopedics. He is most passionate about his role in raising
seven children with his wife, Teri. |
|