Managing a Young Class III with Crowding

Categories: Orthodontics;
Managing a Young Class III with Crowding
Straight Talk draws its cases and discussions from the Orthotown message boards. Written by the editorial team with the assistance of AI, each article showcases how orthodontists tackle unusual and challenging scenarios.
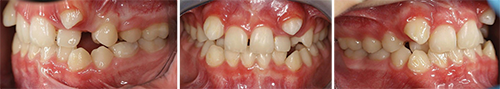
A 12-year-old boy presented with a chief complaint of “vampire teeth.” Clinical and radiographic findings revealed a complex mixed-dentition case: a mild Class III skeletal pattern with a Wits appraisal of -4 mm, a straight facial profile, and significant maxillary crowding (Figs. 1–2). The upper midline was 3 mm to the right, the maxillary canines were erupting buccally, and both lower second primary molars (75 and 85) were retained and carious. The lower left second premolar (34) was erupting under the 75, while the right ramus showed a radiolucency that raised questions about possible pathology or developmental variation. The condylar head on the right appeared atypical.

The clinician presented several treatment options for peer input:
  • Extract upper first premolars (14 and 24) and retract the canines, noting that buccal eruption might create periodontal concerns such as recession.
  • Extract the upper canines and substitute the first premolars for them.
  • Begin non-extraction treatment by proclining the maxillary anteriors and expanding the arches, then re-evaluate later.
  • Consider other approaches as appropriate.
They also noted that the patient could still develop into a surgical Class III pattern regardless of the chosen path.
Managing a Young Class III with Crowding
Fig. 1
Managing a Young Class III with Crowding
Fig. 2


Assessing the diagnosis
Colleagues first addressed the radiographic anomalies. One clinician pointed out that the apparent radiolucency in the right ramus and the asymmetry of the condyles were likely artifacts caused by the patient’s head position during the panoramic exposure (Fig. 1). A slight rotation of the head can easily distort the image, especially when the staff aligns the pan to the patient’s facial midline instead of the dental midline. In this case, the radiolucent area corresponded with the inferior alveolar canal seen on the contralateral side, confirming that it was not pathology.


Treatment planning perspectives
Several orthodontists weighed in on how to manage the Class III tendency and maxillary crowding. One recommended expansion to balance the intercanine width, followed by lower-lingual-holding-arch placement and possible extraction of upper first premolars if space analysis warranted it (Figs. 3–4). If unfavorable mandibular growth occurred later, the family would already have been counseled on the risk of eventual surgical correction.

Another orthodontist agreed with most of that plan but preferred extracting the upper second premolars rather than the firsts, reasoning that the first premolars had better morphology and anchorage potential. They emphasized the importance of molar rotation and maintaining mesial positioning to optimize space before alignment.

A different contributor argued that rapid palatal expansion was unnecessary. Since the patient did not exhibit a posterior crossbite or a constricted lower arch, minimal skeletal expansion at this age could be achieved more comfortably with archwires alone. They recommended the extraction of all four first premolars to address severe anterior crowding and cautioned against delaying treatment, given the psychosocial impact of the boy’s prominent “vampire” canines (Fig. 5).
Managing a Young Class III with Crowding
Fig. 3
Managing a Young Class III with Crowding
Fig. 4
Managing a Young Class III with Crowding
Fig. 5



Debating expansion and anchorage
Others countered that the maxilla appeared deficient in both anteroposterior and transverse dimensions, supporting the use of an expander. One clinician noted that the upper left first premolar cusp was nearly in crossbite, indicating a transverse imbalance that could contribute to crowding. They suggested expansion first, followed by extraction of upper first premolars once the Hyrax appliance was removed, ideally using TADs and a Nance appliance to manage anchorage.

Another orthodontist favored a more conservative “Phase I” approach, treating only the upper arch. By extracting upper first premolars and allowing limited expansion and alignment, the clinician could improve aesthetics and function while deferring any lower-arch or surgical decisions until growth potential was clearer. This phased strategy, they argued, preserved options and reduced the risk of over-compensation if the patient later required orthognathic surgery.


Outcome and reflection
After consulting with the family, the treating orthodontist decided to begin with upper-arch treatment only, removing the upper first premolars and monitoring lower-arch development. The lower right second primary molar exfoliated naturally, and the lower left was extracted. No lower-lingual holding arch was placed.

The case sparked valuable discussion about diagnostic interpretation, treatment timing, and the balance between proactive correction and growth observation. It also underscored how panoramic imaging errors can mimic pathology, reminding clinicians to interpret films in context before making irreversible decisions.

For a growing Class III patient with crowding and eruptive irregularities, there is rarely a single “right” answer. Each approach, from four-bicuspid extraction to limited Phase I intervention, has its rationale and risks. The key lies in careful diagnosis, realistic growth forecasting, and clear communication with the family about long-term possibilities.

What would you have done in this case? Would you expand first, extract, or wait to see how growth unfolds?

Join the Conversation!


Sponsors
Townie® Poll
Which emerging technology do you think will have the biggest impact on practice efficiency in the next 5 years?
  
The Orthotown Team, Farran Media Support
Phone: +1-480-445-9710
Email: support@orthotown.com
©2026 Orthotown, a division of Farran Media • All Rights Reserved
9633 S. 48th Street Suite 200 • Phoenix, AZ 85044 • Phone:+1-480-598-0001 • Fax:+1-480-598-3450