The Architects of the Lips: Part 2 by Dr. Chad Foster

Categories: Orthodontics;
The Architects of the Lips: Part 2 

Full lips vs. excess circumoral fullness


by Dr. Chad Foster


Without a doubt, nothing raises blood pressure and sparks emotional tirades faster than the age-old orthodontic line in the sand of extraction vs. non-extraction. Its polarizing nature reminds me of U.S. politics: The line in the sand is drawn, the two tribes are defined, and let the straw man arguments and disingenuous debates ensue. Much like our politics, the game is unfortunately not at all about actually understanding an opposing perspective and engaging in a practical discussion of differences.

A less emotional way of looking at the issue would be to reframe it as simply a matter of intra-arch space and incisor position. How much is the space deficiency, where should the incisors be positioned, and how does that impact profile, lips, aesthetic dental projection, periodontal support, etc.? To extract or not is not a treatment goal; it is a means to meet the treatment goals, which obviously vary greatly depending on the orthodontist’s treatment philosophy. For me personally, my treatment goals drive the decision of how much intra-arch space or change in incisor position is needed. Only after that are extractions, IPR, TADs, or other treatment modalities considered. The treatment goals are what matter, and there are no bonus points awarded if all the teeth are preserved or if a few are sacrificed to meet those goals.

Regardless of our own aesthetic preferences, real-world procedural data and peer-reviewed studies support the behavioral trend of adults increasingly seeking and electing for lip-volumizing procedures.1,2 This is not a new trend and not even just specific to females.3 This doesn’t mean that the aesthetic beauty of natural lips should be abandoned in favor of the gross extremes we have all seen on occasion. These extremes are not aesthetically pleasing, and most people prefer procedures aimed at more moderately increasing lip fullness.4

While full lips and lips with appropriate A-P projection are often aesthetically preferred, this should be differentiated from a more unaesthetic presentation, which I would call “excessive circumoral fullness.” When this is present, it is most often secondary to flared anterior dentition and can often be associated with lip strain upon closure.

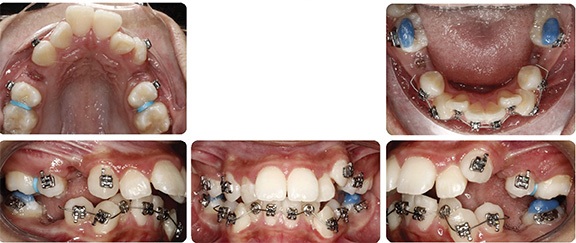
Fig. 1 shows an obvious example of a patient with excessive circumoral fullness. An important finding from the panoramic X-ray in the initial exam was the presence of short and pipette-shaped upper incisor roots. Given her extreme dental protrusion and the way it negatively impacted her smile and facial aesthetics, significant incisor retraction was indicated to reach our treatment goals. Extraction of the upper first and lower second bicuspids were used to permit that retraction. Braces were left off the upper incisors the first 10 months of treatment in order to minimize the potential for root shortening as the extraction spaces were closed. Note the use of eyelets on the lingually blocked out L2s in the start photos in Fig. 2 (I love eyelets!). The case finished in 26 months, and the incisors were retracted enough to result in a pleasing smile and facial aesthetics (Figs. 3–5). She shows pleasing upper incisor positioning, smile arc, arch width, and improved position of her beautiful full lips with obviously less unwanted circumoral fullness.

The Architects of the Lips: Part 2
Fig. 1

The Architects of the Lips: Part 2
Fig. 2

The Architects of the Lips: Part 2
Fig. 3

The Architects of the Lips: Part 2
Fig. 4
The Architects of the Lips: Part 2
Fig. 5

Fig. 6 shows a 30-year-old female who had previously undergone orthodontic treatment in adolescence. Her chief complaint was both flared teeth and a full profile. She did not show circumoral fullness to the same extent as the first case, but it was excessive enough to have her mention what she described as “mouth fullness” unprompted in the exam room. When talking about flared/protrusive teeth in the exam room, I will always try to elicit the patient’s feelings about their lips and circumoral anatomy. Given her concerns, I knew that idealizing her incisor labiolingual inclination as well as achieving enough retraction to decrease the circumoral fullness would be important. One micro-aesthetic feature that captured my attention was her barrel-shaped incisors. In my mind, interproximal reduction had the potential to kill two birds with one stone in regard to both improving the micro-aesthetic form of the anterior teeth and also providing inter-arch space for retraction. The case was finished in 14 months (Fig. 7), upper incisor brackets were inverted for negative torque, and a total of 0.6mm of IPR was performed between each contact UL4–4 (0.3mm per each proximal surface). The labiolingual angulation of the anterior teeth were improved and up-close photos of her profile show full lips with noticeably less circumoral fullness (Fig. 8). The A-P projection of her upper incisors in the side smiling photo (Fig. 9) is what I would consider ideal for her and I would not wish for them to be retracted further than where they aesthetically show. The anterior teeth appear still full in size (IPR was not overdone), but their micro-aesthetic form is more favorably “soft-rectangular” as opposed to barrel-shaped (Fig. 10–11).
The Architects of the Lips: Part 2
Fig. 6

The Architects of the Lips: Part 2
Fig. 7

The Architects of the Lips: Part 2
Fig. 8
The Architects of the Lips: Part 2
Fig. 9
The Architects of the Lips: Part 2
Fig. 10
The Architects of the Lips: Part 2
Fig. 11


Case 1 involved extractions to meet the treatment goals. Case 2 did not. For these cases, the extraction consideration was merely an unemotional means to an end. In Case 1, if I could have met the same aesthetic goals without extracting teeth, that’s what I would have done. In Case 2, had she shown smaller teeth or a micro-aesthetic tooth form that was less favorable for IPR, I wouldn’t have hesitated to extract teeth instead to meet my aesthetic goals. For both cases, excessive circumoral fullness was high on the problem list, a different trait than full lips, which they both display nicely post-treatment. 

References
1. de Queiroz Hernandez, P. M., et al. (2023). Evaluation of the attractiveness of lips with different volumes after filling with hyaluronic acid. Scientific Reports.
2. Heidekrueger, P. I., et al. (2017). Lip attractiveness: A cross-cultural analysis. Aesthetic Surgery Journal, 37(7), 828-836.
3. Nguyen DD, Turley PK. Changes in the Caucasian male facial profile as depicted in fashion magazines during the twentieth century. American Journal of Orthodontics and Dentofacial Orthopedics. 1998 Aug;114(2):208–217. doi: 10.1053/od.1998.v114.a86137.
4. Popenko, N. A., Tripathi, P. B., Devcic, Z., Karimi, K., Osann, K., & Wong, B. J. F. (2017). A quantitative approach to determining the ideal female lip aesthetic and its effect on facial attractiveness. JAMA Facial Plastic Surgery, 19(4), 261–267. doi:10.1001/jamafacial.2016.2049.


Author Bio
Dr. Chad Foster Dr. Chad Foster is Orthotown’s editorial director, a board-certified orthodontist and owner of Butterfly Orthodontics in Phoenix. A graduate of Chapman University, he earned a Doctor of Dental Surgery and a master’s degree in craniofacial biology and completed his orthodontic residency at the University of Southern California. Foster writes and lectures internationally on the topic of orthodontic aesthetics.



Sponsors
Townie® Poll
Are you happy with your practice management software?

  
The Orthotown Team, Farran Media Support
Phone: +1-480-445-9710
Email: support@orthotown.com
©2026 Orthotown, a division of Farran Media • All Rights Reserved
9633 S. 48th Street Suite 200 • Phoenix, AZ 85044 • Phone:+1-480-598-0001 • Fax:+1-480-598-3450