Thinking Outside the Aligner by Dr. Anita Bhavnani

Categories: Orthodontics;
Thinking Outside the Aligner   

Managing a pediatric unilateral posterior Brodie bite and arch constriction with clear aligner therapy in the mixed dentition


by Dr. Anita Bhavnani


Early orthodontic intervention in the mixed dentition presents a unique set of clinical challenges. Skeletal discrepancies, transitioning occlusion, and compliance barriers all demand thoughtful treatment planning, and increasingly, orthodontists are turning to clear aligner therapy as a viable tool for Phase I treatment. This case explores how a pediatric-specific clear aligner system was used to successfully manage a patient presenting with a complete buccal (Brodie) crossbite on the left side and closing upper anterior spacing—two issues that, if left untreated, could have significant long-term consequences for arch and growth development and occlusal function.

The Brodie bite, also known as a scissor bite or complete buccal crossbite, is a relatively uncommon but clinically significant malocclusion in which the maxillary posterior teeth completely overlap the mandibular teeth on the affected side, with no intercuspation. In growing patients, this occlusal relationship can restrict mandibular arch development and lead to functional shifts, asymmetric jaw growth, and progressive skeletal compensation if not corrected during a window of active growth. This case report outlines the diagnosis, treatment strategy, and clinical outcomes for a 10-year-and-4-month-old male treated with Angel Aligner KiD, using cross-elastics as a key adjunct to correct the Brodie bite and coordinate arch width.

Patient presentation
The patient’s chief complaints were a noticeable crossbite on the left side, spacing in the upper front teeth, and a mandibular asymmetric shift to the right caused by the Brodie bite. Extraoral examination revealed a slightly convex facial profile with balanced soft tissue (Fig. 1). Periodontal and soft tissue findings were within normal limits.
Thinking Outside the Aligner
Fig. 1: Initial extraoral photographs, frontal repose, frontal smile, and profile, demonstrating a convex profile and asymmetric smile presentation.

Intraoral and cephalometric findings
Intraoral examination confirmed an Angle Class I dentofacial pattern with several complex clinical conditions (Figs. 2–3):
  • Complete posterior buccal crossbite on the left side; the left maxillary posterior teeth fully overlapped the mandibular buccal segment with no functional contact
  • Constricted mandibular arch with the lower left posterior segment lingually tipped and collapsed
  • Lower dental midline shifted to the right
  • Mild maxillary spacing in the anterior region (U2–2)
  • Mild mandibular crowding
  • 20% overbite with moderate overjet
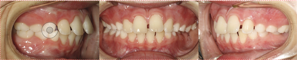
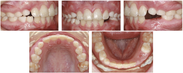
Thinking Outside the Aligner
Fig. 2: Initial intraoral views (right lateral, anterior, left lateral) demonstrating the complete buccal crossbite on the left side and upper anterior spacing.

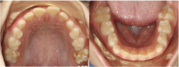
Thinking Outside the Aligner
Fig. 3: Initial occlusal views (maxillary and mandibular) showing mild upper spacing and the constricted, lingually displaced lower left posterior segment.

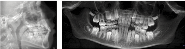
The panoramic radiograph revealed mixed dentition appropriate for the patient’s age, with developing permanent dentition in normal eruption sequence. No pathology was identified (Fig. 4).
Thinking Outside the Aligner
Fig. 4: Initial panoramic radiograph and lateral cephalogram confirming mixed dentition, Class I skeletal pattern, and normal root development.

Treatment planning and rationale
Given the patient’s age, mixed dentition status, and the nature of the malocclusion, a Phase I interceptive approach was indicated. The primary goals were to:
  • Correct the complete posterior buccal crossbite on the left side before the permanent dentition was fully established by expanding and uprighting the mandibular left posterior segment
  • Consolidate the maxillary anterior spacing
  • Shift the lower midline to the left to align with the upper
Angel Aligner KiD was selected as the delivery system. Its aligner material and staging protocols are optimized for the mixed dentition, allowing accommodation of erupting teeth and shorter tracking intervals appropriate for younger patients. The system also supports auxiliary mechanics—specifically cross-elastics using bonded buttons and the integrated angelButton feature—which were critical to tip the crowns of the lower left posterior segment buccally while depressing and buccally moving the upper left posterior teeth to break out of the Brodie relationship.

The treatment plan consisted of arch expansion of the lower left quadrant, buccal uprighting of the mandibular left posterior segment via cross-elastics (teeth #d, e, and first permanent molars #6), consolidation of upper spaces in the anterior segment (U2–2), and a left shift of the lower dental midline. A seven-day wear schedule was prescribed.

Treatment mechanics and sequence
Phase 1: First set of aligners (1–29)
Treatment began with 29 active aligners (1–26 active, 27–29 with c-chain for final space consolidation). At delivery, attachments were placed and conventional bondable buttons were bonded on the upper left buccal (d, e, 6) and lower left lingual (d, e, 6) for cross-elastics. The first six aligners were delivered at weekly intervals to closely monitor compliance and appliance fit.

Cross-elastic wear commenced at aligner 7, with the elastics running from the upper left buccal buttons to the lower left lingual buttons, applying a force vector designed to tip the maxillary left posterior teeth lingually while uprighting and buccally torquing the mandibular left segment. This combination of aligner staging and cross-elastic mechanics is a well-established protocol for Brodie bite correction and was adapted here for use with clear aligners in the mixed dentition.

Clinical note: Traditional elastics can cause warping of the aligner and patient discomfort with limited force control. The button-based approach used here preserves aligner integrity while delivering a more controlled force expression—an important consideration when treating growing patients who require precise biomechanics.

One SOS visit was required mid-course to rebond a button that had debonded. Aligners 15–22 and 23–29 were delivered on subsequent visits. A refinement scan was taken with the patient held in aligner 29.

Phase 2: Refinement (aligners 1–19)
The refinement consisted of 19 aligners (1–13 active, 14–16 with c-chain, 17–19 passive while awaiting final retainers). At the start of refinement, the pair of conventional buttons that had debonded during the first phase on the primary second molars (e’s) were replaced with angelButtons, a feature integrated directly into the aligner design. This transition reduced debond frequency and simplified chairside management throughout the refinement phase.

Cross-elastic wear continued from the left second primary molars (upper left and lower left e’s) using angelButton with the integrated retentive attachment, while bondable buttons were maintained on the first permanent molars (upper left and lower left 6s). The buttons and elastics from the primary first molars (upper left and lower left d’s) were removed for the refinement phase, as the correction had progressed sufficiently in that region.

Additional attachments were placed at the start of refinement to support the remaining tooth movements, including further uprighting of the lower left segment and fine alignment throughout both arches. Significant progress in crossbite correction was evident at the treatment midpoint (Fig. 5).
Thinking Outside the Aligner
Fig. 5: Treatment progress (01/29/25, age 11y 0m), demonstrating significant correction of the complete posterior buccal crossbite and arch improvement at the midpoint of treatment.

Treatment results
Treatment was completed in approximately 12 months with 48 total aligners, including passive aligners during the refinement scanning period. The patient attended eight scheduled visits and two SOS visits—a notably efficient appointment schedule for an early intervention case of this complexity.

The Brodie bite was fully corrected. The lower left posterior segment was successfully uprighted and buccally positioned, establishing functional intercuspation on the left side for the first time. Upper anterior spaces were consolidated through the anterior U2–2 segment. The lower midline was shifted to the left and now aligns with the upper midline. The asymmetry of the patient’s chin was also corrected, which further aided in midline alignment. Arch form and coordination were significantly improved in both arches, with the mandibular arch demonstrating meaningful expansion compared to baseline (Figs. 6–7).
Thinking Outside the Aligner
Fig. 6: Final extraoral photographs (frontal repose, frontal smile, and profile), demonstrating improved facial symmetry and a fuller, more confident smile.

Thinking Outside the Aligner
Fig. 7: Final intraoral and occlusal photographs demonstrating correction of the Brodie bite, improved arch coordination, elimination of upper spacing, and improved midline alignment.

Post-treatment radiographs confirmed no adverse root resorption or alveolar bone changes attributable to treatment. Cephalometric superimposition showed favorable dentoalveolar changes consistent with the treatment objectives, with stable skeletal relationships (Fig. 8).
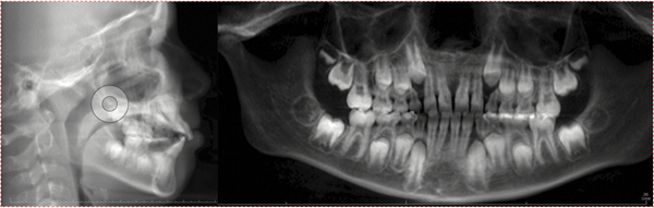
Thinking Outside the Aligner
Fig. 8: Final lateral cephalograms and panoramic radiographs. Cephalometric superimposition confirmed favorable dentoalveolar changes with no adverse root or bone findings.

Clinical pearls and discussion
This case offers several instructive takeaways for orthodontists incorporating clear aligners into their early treatment protocols.

1. The Brodie bite is correctable with aligners, but auxiliaries are essential
A complete buccal crossbite cannot be corrected by aligner staging alone. The force vectors required to both intrude and palatally tip the upper posterior while buccally uprighting and extruding the lower posterior require auxiliary elastics. The cross-elastic protocol used in this case—bonding buttons on the upper buccal and lower lingual surfaces—is a highly effective adjunct when paired with an aligner system capable of supporting auxiliary attachments. Clinicians should plan button placement at aligner 1 delivery and have a clear protocol for managing button debonds, particularly in the mixed dentition.

2. Integrated button features can improve retention in active pediatric patients
One of the most practical lessons from this case was the reliability challenge of conventional bondable buttons in pediatric patients. Transitioning to the angelButton feature—which is integrated directly into the aligner rather than bonded separately to the tooth—reduced debond frequency and chairside re-bonding time during the refinement phase. For clinicians who find conventional buttons unreliable in younger patients, aligner systems that offer integrated elastic attachment options are worth considering, particularly when cross-elastics are an ongoing part of the mechanics.

3. Mixed dentition staging requires a purpose-built system
Not all clear aligner systems are well-suited to the mixed dentition. For Phase I cases, clinicians should look for systems that accommodate erupting teeth, support shorter tracking intervals, and allow for auxiliary mechanics. In this case, the seven-day wear schedule and the system’s accommodating aligner design allowed treatment to proceed smoothly despite the transitioning occlusion. Because the aligners are removable, patients can eat, brush, and floss normally—a factor that likely contributed to the excellent compliance seen here.

4. Patient and parent compliance was excellent
Despite concerns some clinicians have about aligner compliance in pediatric patients, this young patient adapted to aligner wear quickly, reported by his mother as easy from early in treatment. This is consistent with growing evidence that motivated pediatric patients—particularly those who understand the rationale for treatment—can be highly compliant aligner wearers. Parental engagement and clear communication at the outset are key.

Conclusion
This case demonstrates that a complete buccal (Brodie) crossbite in the mixed dentition can be effectively managed with clear aligner therapy when supplemented with appropriate cross-elastic mechanics. Angel Aligner KiD provided the staging flexibility, attachment options, and mixed dentition compatibility needed to treat this clinically challenging case in approximately 12 months with a minimal office visit burden.

For orthodontists building or expanding their Phase I clear aligner protocols, this case illustrates both the possibilities and the practical mechanics required to address Brodie bite correction with aligners. As the evidence base for early aligner intervention continues to grow, cases like this reinforce that selecting a system specifically designed for the mixed dentition can support excellent clinical outcomes. 


Author Bio
Dr. Anita Bhavnani Dr. Anita Bhavnani attended Case Western Reserve University for dental school and Saint Louis University for her orthodontic residency. She is a dedicated orthodontist with extensive experience in digital orthodontics and aligner therapy, based in Yorba Linda, California. She is also a clinical educator for Angel Aligner.


Sponsors
Townie® Poll
Historically, which area has the most turnover in your office?
  
The Orthotown Team, Farran Media Support
Phone: +1-480-445-9710
Email: support@orthotown.com
©2026 Orthotown, a division of Farran Media • All Rights Reserved
9633 S. 48th Street Suite 200 • Phoenix, AZ 85044 • Phone:+1-480-598-0001 • Fax:+1-480-598-3450