by Benjamin Lund, Editor, Orthotown Magazine
The use of a laser in an orthodontic office is no longer a
“novelty.” Many orthodontists are taking advantage of the benefits
of exposing teeth to allow earlier access or easier bonding
and gingival recontouring to improve results. There have been a
number of excellent articles written about these procedures.
What is perhaps less known and certainly less mentioned in the
orthodontic literature are the “other” laser procedures that are
not only possible but advantageous as an adjunct to orthodontic
treatment. Here, we’ll discuss these “other” procedures and
the ways they can be performed using diode lasers.
Frenectomies/Frenotomies
A frenum is by definition “a narrow fold of mucous membrane
connecting a moveable part to a fixed part.”¹ There are
normally seven oral frena-upper and lower midline frena,
upper and lower, right and left lateral frena and a lingual
frenum at the base of the tongue.² When functioning normally,
these frena “keep the lips and tongue in harmony with
the growing bones during fetal development.”² Abnormally
developing frena can cause developmental and orthodontic
problems. Fortunately, abnormal frena can be easily corrected
with a diode laser.
When a frenum is released without removal of tissue, it is
called a frenotomy. When release includes removal of tissue, the
proper term is frenectomy. Kotlow³ has proposed a classification
system for labial frena.
Class I Normal Frenum
Class II Frenum inserts above the teeth
Class III Frenum inserts between centrals
Class IV Frenum inserts into palate
To determine the depth of insertion of a labial frenum, simply
pull the lip away from the alveolus and observe where the tissue
blanches. Blanching on the anterior aspect of the alveolus
suggests local insertion of the frenal fibers (Class I or II), while
blanching on the palatal aspect (incisive papilla area), indicates
a palatal insertion (Class IV). Class I or II frena can usually
be corrected with a superficial frenotomy, while Class IV frena
will likely require a deep frenectomy. Class III frena may fall in
either category.
Superficial Frenotomy
For Class I, Class II and some Class III frena, correction can
be effected with a superficial frenotomy. Technique is straightforward.
Set the laser to the normal settings used for gingivectomies
(see section on laser settings below) and blacken only the
very tip of the fiber. Anesthetize the area (a topical anesthetic is
usually adequate), place tension on the associated lip and with
the laser fiber parallel to the alveolar gingival, touch the tip of
the laser against the frenum as close as possible to the alveolus.
While lasing, assure everyone within the nominal hazard zone is
wearing protective eyewear, make sure everyone in close proximity
is wearing a protective mask (filtering to 0.1 microns) and
have your assistant place high volume suction close to the lasing
site to draw cool area across the site and suction away the
“plume” (combination of water vapor, cell contents, odor given
off when using a laser). With a brushing motion, separate the
frenal tissues, keeping tension on the lip. Using only the tip of
the laser fiber, continue separating the frenum until you are left
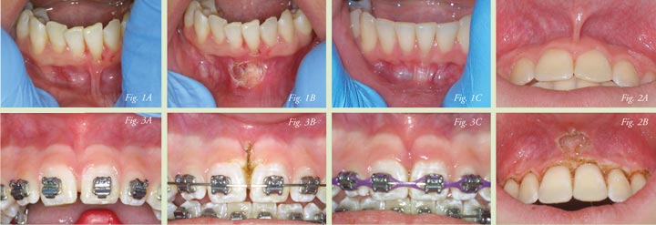
with a symmetrical lesion (Figure 1B).
Give the patient normal home care instructions (see Patient
Home Care Instructions below) and make sure they keep the lip
moving to prevent relapse. One way to avoid reattachment of the
frenum would be to suture it closed from lateral aspect to lateral
aspect, but an easier solution is to simply have the patient to pull
the lip out to look at the site at least once a day. Normal healing
for a labial frenotomy is approximately one to two weeks.
One example of when a superficial fiberotomy is appropriate
is shown in Figure 1, where the frenal attachment is close to the gingival crest. The pull of the lip has caused recession and
chronic gingivitis on the lower left lateral incisor. Releasing the
frenum reduces the pull and prevents further recession, allowing
the inflamed tissues to heal. In some cases, it is possible to actually
see regrowth of the gingival attachment.
To see a video representation of a superficial frenotomy, visit
www.eggheadortho.com and see the “Training Movies” page.
Another scenario where a superficial frenotomy would be
appropriate is in association with a gingivectomy. Even a frenum
that appears to be a non-issue initially (Figure 2A), might
become an issue after performing a gingivectomy to improve
post-treatment aesthetics. In these cases, a superficial frenotomy
avoids leaving a frenum close to the gingival margin and the possibility
of future recession (Figure 2B).


Deep Frenectomy
When a Class III or Class IV frenum is associated with a
midline diastema, a more involved approach is appropriate. To
avoid relapse, it is necessary to remove the deep fibers attached
to the bone and extending through the diastema. When performed
with a scalpel, release involves laying a flap, removing all
the fibers, including scaling away all the deep fibers attached to
the bone, then suturing closed.
With a “hard tissue laser” (i.e., Erbium), the approach is
similar, but without laying a flap. Usually a frenotomy is performed
first, with the same technique and recommendations as
for a superficial frenotomy, to allow access. Then the laser is
directed into the soft tissue until it touches bone and manipulated
to remove the fibers that insert on the facial and extend to
the palate.
Most orthodontists use diode lasers, which can damage bone
if used improperly. With a diode, a deep frenectomy also
involves first releasing superficial fibers. Then a wedge of tissue
is removed to allow access (preferably without actually touching
the bone). Once close to bone, a sharp scaler is used to release
the deep fibers. Since there is no flap, this is done by feel. After
the fibers are released all the way to the crest of the interproximal
bone, the laser is used to stop any bleeding. In this way, the
fibers are removed without damaging the bone from excess heat.
Figure 3 shows results of a deep frenectomy.
Home care recommendations are the same as for a superficial
frenotomy.
Lingual Frenum-Ankyloglossia-Tongue-Tied
A normal lingual frenum allows enough freedom to lick lips,
annunciate properly, clean buccal surfaces of teeth and swallow
with the tip of the tongue against the palate. Abnormally short
lingual frena can occur in nearly five percent of all neonates and
is often diagnosed early when there are difficulties breast feeding,
where the incidence jumps to 12.8 percent.4-6 In older
patients, ankyloglossia is associated with speech difficulties7,8
even significant orthodontic problems.2,9,10
Diagnosis of ankyloglossia has often been based on symptoms
(i.e., difficulty breastfeeding) or appearance (a short, thick,
muscular or fibrotic). Kotlow11 measured the distance from the
tip of the tongue to the insertion of the frenal attachment for 322 consecutive patients in his pediatric dentistry practice and
proposed a more objective diagnostic matrix:
Clinically acceptable, normal range of freedom: >16 mm
Class I: Mild Ankyloglossia: 12-16 mm
Class II: Moderate Ankyloglossia (Figure 4): 8-11 mm
Class III: Severe Ankyloglossia: 3-7 mm
Class IV: Complete Ankyloglossia (Figures 5A&B): < 3mm

Normal Range of motion:
- Tip of the tongue can protrude outside the mouth without
clefting (Figure 4).
- Tip of the tongue can sweep upper and lower lips easily
without straining (Figures 5B&C).
- When retruded, no blanching of tissue lingual to the
lower anterior teeth.
- Tongue should not place excessive forces on the lower
anteriors.
- The lingual frenum should allow a normal swallowing
pattern.
- The lingual frenum should not create a diastema between
the mandibular central incisors.
- In infants, the underside of the tongue should not exhibit
abrasion.
- The frenum should not prevent an infant from attaching
to the mother’s nipple during nursing.
- Children should not exhibit speech difficulties associated
with limitations of the movement of the tongue.
Traditionally, lingual frena were released in newborns prior
to leaving the hospital. Many medical practitioners now take
a “wait and see” approach, delaying frenotomy until after development
of the primary dentition11-13 or until “there are any
problems.” Since the traditional “problems” are related to breastfeeding,
once past the age of suckling, ankyloglossia is often left
undiagnosed and untreated. For this reason, it is not uncommon
to see patients with some degree of ankyloglossia in an orthodontic
office.
It is therefore appropriate to include evaluation of tongue
mobility as part of the routine orthodontic examination
sequence. Have the patient raise their tongue toward the roof of
the mouth and evaluate the shape, the distance from the tip to
the frenal attachment and the mobility. While it is certainly not
appropriate to release every Class II, III or IV lingual frenum, it
is also important to realize that these patients do not necessarily
have a frame of reference for what is normal. All they have ever
known is what they’ve always had.
From an orthodontic perspective, there is a host of possible
growth and development issues that might be related to ankyloglossia.
For example, it is generally held that a normal swallow
involves placing the tongue against the roof of the mouth and
that an improper swallow (with the tongue not against the
palate) can lead to a narrowing of the upper arch, crossbite or
crossbite tendency, excessive vertical growth of the maxilla and
an open bite tendency.14-16 With ankyloglossia, a patient’s tongue
cannot touch the palate and these patients might develop any or
all these symptoms. Northcutt2 reported 84 percent of patients
with abnormal frena developed maxillary constriction and concomitant
crowding (80 percent), while 52 percent developed an
open bite.
Another possible consequence of being tongue-tied relates to
airway. One diagnostic sign of sleep apnea is when the posterior
aspect of the tongue occludes part of the airway (Malampati
score). With Class IV ankyloglossia, any attempt to raise the
tongue results in an appearance typical of that seen with sleep apnea
sufferers.
Beyond that, it is not uncommon for teenagers to have suffered
from speech issues or difficulty swallowing and not realize
it isn’t normal. The 19-year-old patient in Figure 4 presented for
orthodontic treatment. When made aware of her Class II ankyloglossia,
her mom immediately asked whether that could be
related to her lisp and pointed out that no one had ever mentioned
this before. Correcting this problem is relatively easy with
a diode laser and is very similar to a superficial frenotomy.
Lingual Frenotomy Technique
First, anesthetize the frenum. This can be done with a topical
anesthetic, but take care to assure none of the topical is swallowed,
as this can cause an uncomfortable inability to swallow
and can cause a nervous patient to become even more apprehensive.
An injection just below the lingual frenum is also effective
without danger of swallowing anesthetic.
Once numb, set the laser to the normal settings used for gingivectomies
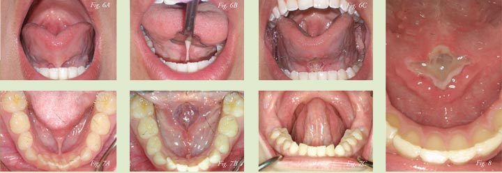
(see section on laser settings below), blacken only the very tip of the laser fiber and place tension on the lingual
frenum. While this can be done by wrapping a cotton 2x2
around the tip of the tongue, a very effective tool is the grooved
director probe (Figure 6B). Simply have the patient lift the
tongue and bring it slightly forward, then place the director
probe to keep tension on the frenum. While lasing, assure everyone
within the nominal hazard zone is wearing protective eyewear
and a 0.1 micron protective mask and have your assistant
place high volume evacuation in close proximity to the lasing site
to draw cool area across the site and suction away the “plume.”
In order to avoid deep tissues, large vessels and nerves, and
the ducts of the sublingual salivary glands, it is best to stay
within the fibrous portions of the frenum. This can be done
effectively by holding the laser fiber perpendicular to the inferior
border of the tongue and, using the tip of the laser and a brushing
motion, separate the frenal tissues, keeping tension on the
tongue (Figure 6). Continue separating the frenum until you are
left with a symmetrical lesion (Figures 6C, 7B).


If this technique does not allow adequate mobility, additional
release can be obtained by releasing the frenum as close as
possible to the alveolus (Figure 7). Limit the amount of release
in this area to the fibrous tissues to avoid severing the submandibular
saliva gland ducts.
Give the patient normal patient home care instructions (see
below), but with the additional recommendation to make sure
and keep the tongue moving as much as possible to avoid reattachment
of the frenum. As was the case with labial frenectomies
and frenotomies, suturing is an option, but by having the
patient open wide and stretch their tongue toward the roof of
the mouth several times a day, relapse can be avoided. It is also
important to explain that after about one week, the patient
should expect to see a white plaque form (Figure 8). This is normal
and should resolve to look more normal at two weeks, but
if the patient is not informed, they might mistakenly assume
there is an infection.
To see a video representation of a lingual frenotomy, please go
to www.eggheadortho.com and see the “Training Movies” page.
Laser Settings for Frenectomies/
Frenotomies
Each diode uses different settings for different procedures
and the settings for a particular diode can vary dependant on
many factors, including the thickness and type of tissue being
lased (since a diode is absorbed in keratin and hemoglobin, tissue
with less circulation might require a slightly higher setting),
length and age of the fiber (when there is a cleavable fiber,
instead of one-use tips, the effective power at the end of the fiber
tends to degrade as the laser is used, requiring a higher power for
the same procedure when approaching the end of the fiber), and
the technique used. In general, it is best to use the lowest power
necessary to accomplish a task. This reduces the risk of tissue
charring, leaves a more natural looking immediate result
(pinker, healthier looking tissue) and usually results in less soreness
and more rapid healing.
For most frenectomies, excellent results can generally be
obtained using the same settings as used for gingivectomies. As
a general guideline, the author uses approximately 0.9W CW
(Continuous Wave) or 3.2W pulsed at 20ms on/20ms off with an 810nm laser for the initial setting. Longer pulse lengths seem
to approximate the results of continuous wave, so when the
pulse lengths are long (>40 ms), it might be just as advantageous
to use a continuous wave mode.
Just as on gingivectomies, patience is important. A common
issue for new laser users is to use more power than is necessary,
which produces desiccated, charred tissue that increases the
patients discomfort during healing and takes longer to completely
heal. The first pass with the laser will not produce the
total desired effect and might seem like it’s not doing anything
at all. With repeated passes, however, it is possible to get excellent
results at these lower settings.
Patient Home Care Instructions
Recommend that the patient avoid salty or spicy foods for a
few days. Give them several Vitamin E tablets with instructions
to cut open the tabs and rub the oil into the affected area once a
day to keep it moist and promote healing. Let them know that
there might be minor soreness that is usually relieved with a mild
analgesic and that they should use warm salt water rinses after
the first few days. Mobility to avoid relapse is also appropriate.
Apthous Ulcers
Another lesser-known service possible with a diode laser is to
help relieve the pain of apthous ulcers or herpetic lesions. The
technique used for these procedures if very different than that
used for most other laser procedures:
- No anesthesia: These procedures are performed without
anesthesia. In fact, it is important that the patient have
sensation to let you know when to alter your technique.
- Unactivated tip: While most laser procedures with a diode
laser involve “activating” the tip of the fiber by placing it
against articulating paper or articulating film, treatment
of apthous ulcers and/or herpetic lesions is performed
with an unactivated tip.
- Non-contact: While the technique used for gingivectomies,
exposures, frenectomies and frenotomies involves
light contact, treatment for apthous ulcers is performed
without touching the tissues.
Lingual Frenotomy Technique & Settings
With no anesthesia and no tip activation, prepare the patient
by explaining that you will be using the laser to reduce the pain
of the apthous ulcer or herpetic lesion. There are two recommended
settings to help with these procedures, both on continuous
wave:
- Set the power at 2.0W and direct the laser fiber perpendicular
to the surface of the lesion, starting approximately
an inch from the lesion. Slowly bring the fiber
closer to the lesion until the patient just begins to feel
warmth. If it becomes uncomfortable, move the laser
back a bit, then forward and keep the laser energy over
the lesion for a total of approximately one minute.
- Set the power to 0.6W and direct the laser fiber perpendicular
to the surface of the lesion. With the fiber approximately
1mm from the lesion, systematically “cover” the
lesion, first going left to right, then top to bottom,
extending approximately 1mm beyond the edges of the
lesion and keeping the laser moving to avoid excessive
heat buildup in any one area. Continue for approximately
one minute.
While protective equipment should always be worn while lasing,
it is of particular importance when using a laser on herpetic
lesions. Because lasing basically involves vaporizing cells, all the
contents of the cells become part of the plume. Therefore, when
lasing herpetic lesions, it is known that there are herpetic viruses
in the plume. Therefore, make sure everyone within the nominal
hazard zone is wearing protective eyewear, a protective 0.1 micron
mask and have your assistant use high volume evacuation to draw
cool air across the site and suction away the “plume.”
It is expected that the patient experience immediate pain
relief and it has been suggested that both apthous ulcers and herpetic
lesions heal more quickly (Figure 9).17-19 It has also been
suggested that herpetic lesions usually do not return to the same
areas after lasing and that those that do return, they are less
severe than the previous lesion.17-19
Other Possible Procedures
In addition to the procedures detailed above, there are a
number of other procedures for which a soft tissue laser is potentially
useful:
- Fibroma removal: During orthodontic treatment, when
the cheeks rub against the braces, occasionally a fibroma
forms. These can become a source of irritation to the
patient and may become large enough to interfere with
proper biting. A soft tissue laser can be used to remove the
fibroma. Note that when performing such a procedure,
the removed portion should be evaluated by a qualified
pathologist to rule out cancer and that it should be noted
on the referral that the biopsy was taken with a laser to
avoid improper diagnosis.
- Venous Lakes: Although rare in orthodontics, as patients
age, venous lakes sometimes form on the lips. In actuality,
these lesions are perhaps best treated with a diode
laser, as the depth of penetration and relatively high
absorption in hemoglobin and melanin can provide
effective non-invasive reduction or elimination of the
venous lake.20,21
- Tissue Welding: While most laser procedures occur at
100-150 degrees Fahrenheit (boiling point of water), tissue
welding occurs at approximately 70-90 degrees.
Numerous reports of effective tissue welding are available
in the medical literature22,23 and it is possible to use a
diode laser, at a lower setting (approximately 80 percent)
of that for a gingivectomy or frenectomy to weld tissue
together without sutures. In an
orthodontic office, this could potentially
be useful in the northern states
in the winter, when patients come in
with split lips.
Summary
While the use of soft tissue lasers is
becoming more and more commonplace in
orthodontic offices, primarily for gingivectomies
and exposure of teeth, they can also
be used for a variety of additional procedures
appropriate to orthodontics.
|
References
- Summer, A: Ankyloglossia-To Clip or Not to Clip? That’s the
Question. The ASHA Leader, 10(17), 6-7, 30.
- Northcutt, ME: The Lingual Frenum. JCO, 43(9), 557-565.
- Kotlow, LA: Oral Diagnosis of Abnormal Frenum Attachments in Neonates and Infants:
Evaluation and Treatment of the Maxillary and Lingual Frenum using the Erbium: YAG
Laser. J Pediatric Dental Care, 2004, 10(3).
- Marmet C,Shell, Marment R. Neonatal frenotomy may be necessary to correctbreastfeeding
problems. J.Human Lact, 1990;6:117-120
- Messner, AH, Lalakea, ML: The effect of ankyloglossia on speech in children. Otolaryngol
Head Neck Surg, 2002, Dec; 127(6): 539-45.
- Ballard JL, Auer CE, Khoury JC: Ankyloglossia: assessment, incidence, and effect of frenuloplasty
on the breastfeeding dyad. Pediatrics 2002, 110:e63.
- Messner AH, Lalakea, ML, Aby, J, Macmahon, J, Bair, E: Ankyloglossia: incidence and
associated feeding difficulties, Arch Otolaryngol Neck Surg 2000, 126(1):36-9.
- Lalakea, ML, Messner, AH: Ankyloglossia: does it matter? Pediatr Clin North Am, 2003,
Apr; 50(2); 381-97.
- Defabianis P. Ankyloglossia and its influence on maxillary and mandibular development.
(A seven year follow-up case report). Funct Orthod, 2000, 17:25–33.
- Palmer, B: Frenums, tongue-tie, ankyloglossia. www.brianpalmerdds.com/frenum.htm.
2001
- Kotlow, LA: Ankyloglossia (tongue-tie):A diagnostic and treatment quandary.
Quintessence International 1999, 30(4), 259-262.
- Ketty, N, Sciullo, P. Ankyloglossia with psychological implications. J Dent Dhild, 1974.
Jan-Feb, 43-46.
- Warden, P. Ankyloglossia: A review of the literature. Gen Dent. 1991 July-August, 252-
253
- Linder-Aronsen, S. Adenoids: their effect on the mode of breathing and nasal airflow and
their relationship to characteristics of the facial skeleton and the dentition. Acta Oto-laryng
Suppl, 1970, 265:5-132.
- Lessa, F, Enoki, C, Feres, M, Valera, F, Lima, W, Matsumoto, M. Breathing mode influence
in craniofacial development. Rev Bras Otorrinolaringol. 2005, 71(2): 1-8.
- Mattar, SE, Anselmo-Lima, WT, Valera, FCP, Matsumoto, Man. Skeletal and occlusal
characteristics in mouth-breathing pre-school children. Journal Clin Ped Dent, 2004,
28(4): 315-318.
- Colvard, M, Kuo, P. Managing aphthous ulcers: laser treatment applied. J Am Dent Assoc,
1991, 122: 51-2.
- Convissar, RA, Massoumi-Sourey, M. Recurrent apthous ulcers, etiology and laser ablation.
Gen Dent 1992, 40:512-515.
- Pekins, D, O’Toole, T, Yancy, J. Laser treatments of aphthous and herpetic lesions. J Dent
Res 1994, 73:190.
- Bekhor, PS, Long-Pulsed Nd:YAG Laser Treatment of Venous Lakes: Report of a Series of
34 Cases. FACD Dermatologic Surgery. 2006, 32(9):1151 - 1154
- Wall TL, Grassi AM, Avram MM. Clearance of multiple venous lakes with an 800-nm
diode laser: a novel approach. Dermatol Surg. 2007 Jan;33(1):100-3.
- Foyt, D, Johnson, J, Kirsch, R, Bruce, J, Wazen, J. Dural closure with laser tissue welding.
Otolaryngology - Head and Neck Surgery, 1996. 115(6), 513-518.
- Ott, B, Züger, BJ, Erni, D, Banic, A, Schaffner, T, Weber, HP, and Frenz, M.
Comparative In Vitro Study of Tissue Welding Using a 808nm Diode Laser and a Ho:YAG
Laser. Lasers in Medical Science. 2001, 16(4), 260-266.
|