Open Bite Correction in an Adult Patient Using Clear Aligner Therapy by Dr. Terry Sellke

Categories: Orthodontics;

Open Bite Correction in an Adult Patient Using Clear Aligner Therapy 

An eight-month case study


by Dr. Terry Sellke


Introduction
A 37-year-old patient we had previously treated in 1999 with conventional braces returned to our office. She originally presented with a Class III crowded, open-bite malocclusion. She was treated via maxillary expansion and protraction combined with fixed appliances. Treatment took 23 months.

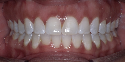
Like many Class III cases, mandibular growth continued, resulting in the occlusion as shown in August 2023 (Fig. 1). Her dentist referred her back to us to address the lack of anterior guidance that had led to significant posterior wear and, more importantly, significant TMD symptoms caused by nocturnal bruxism.
Open Bite Correction in an Adult Patient Using Clear Aligner Therapy
Fig. 1

What makes this case interesting is the use of FXClear aligners from OrthoFX, a next-generation clear aligner material designed to provide enhanced control and predictable tooth movement. Treatment began on October 9, 2023, and concluded on May 13, 2024, for a total of eight months. The case was completed with fewer attachments and refinements than are typically required for similar open-bite cases.


Diagnosis
We reviewed with the patient her original treatment needs from 1999 and her completed results. We discussed that continued mandibular growth, commonly encountered in Class III cases, had persisted for years after treatment was completed, leading to the present situation.

The patient was informed that mandibular growth was long since complete and that retreatment would lead to a stable result. I added that open bite cases are best treated with aligners, as the overbite correction is mostly posterior depression, far more stable than anterior eruption with vertical elastics.

The patient accepted the proposed treatment plan. At age 37, she preferred clear aligner therapy over fixed appliances for aesthetic reasons. The initial crowding addressed in her original treatment remained stable, as did her Class III correction (Fig. 1).


Treatment plan
Our treatment goals were to create proper overbite and overjet to achieve anterior guidance. With good posterior occlusion and no upper spaces, there was need for mandibular IPR to create the needed overjet. Clear aligner therapy allows us to identify precisely how many millimeters of space are needed and which contacts to reduce by how much.

Our experience using this clear aligner system over nearly five years, compared with the leading brand, was documented in an in-office study of 200 consecutively treated cases completed in 2024. This research has since been expanded to include more than 200 matched samples of each aligner system in a study currently being conducted by the University of Illinois Department of Orthodontics. Results from this study are expected to be available to practitioners, hopefully at the 2026 AAO meeting.

The case was managed using clear aligners fabricated from an updated polymer material designed for precision fit. All patients in our practice are monitored remotely using the Dental Monitoring digital platform that enables weekly assessment of aligner fit and treatment progress. This approach helps identify potential complications such as unseated aligners, hygiene issues, or elastic non-compliance early in treatment.

Regular remote evaluations have allowed a reduction in the number of required in-office visits while maintaining clinical control and treatment quality.


Treatment plan summary (Fig. 2):
  • Lower IPR: 0.2 mm per contact from canine to canine (3-3) done at beginning of treatment
  • Hooks: UR7, UL7, LL4, LR4
  • Correct open bite through intrusion of posterior teeth. No anterior vertical elastics were used, only Class III elastics.
  • Number of stages: 12
Open Bite Correction in an Adult Patient Using Clear Aligner Therapy
Fig. 2

Planned refinement
We scanned the patient for refinement after four months (Fig. 3). The refinement plan involved continuation of mechanics and the creation of more overbite and overjet.

Open Bite Correction in an Adult Patient Using Clear Aligner Therapy
Fig. 3

Summary of refinement goals (Fig. 4):
  • Improve upper and lower incisor angulations
  • Increase overbite
  • Continue elastics to increase overjet
  • 0.2 mm additional IPR of only lower incisors
  • Number of stages: 10
Open Bite Correction in an Adult Patient Using Clear Aligner Therapy
Fig. 4

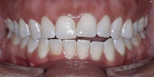
Treatment summary and results
Our office consistently achieves excellent, stable open-bite correction with aligner therapy. All treatment objectives were met (Fig. 5), and the open bite was resolved without the use of vertical elastics. Given that mandibular growth was complete, the result is expected to remain stable.

In open bite cases, we also consistently use aligners for retention. Our standard retention for cases in the office is a lower bonded retainer (3=3) and an upper Essix retainer. In open bite cases, we add a lower Essix (placed over the lower bonded retainer) as well, to ensure that posterior eruption does not create a new open bite. In this case, the patient declined a lower fixed retainer but has remained compliant with removable retainers.

Open Bite Correction in an Adult Patient Using Clear Aligner Therapy
Fig. 5

Summary of treatment metrics:
  • Treatment time: eight months
  • Number of stages: 22 (including passive stages)
  • Number of refinements: one
  • Total in-office visits: five
  • Number of office Rx visits: two (with remote monitoring used for progress evaluation)
Final records taken one year post-retention showed stable correction of all parameters, and the patient reported that her TMD symptoms were resolved.


Retention
The patient was given an upper and a lower Essix retainer, as the patient did not want our standard lower bonded retainer.


Conclusion
This case demonstrates how clear aligner therapy, when combined with digital monitoring, can achieve efficient and stable open-bite correction in adult patients. The integration of remote tracking technology supported consistent progress and reduced the need for in-office visits while maintaining treatment quality. 
Open Bite Correction in an Adult Patient Using Clear Aligner Therapy
Before
Open Bite Correction in an Adult Patient Using Clear Aligner Therapy
After


Author Bio
Dr. Terry Sellke Dr. Terry Sellke has private practices in Grayslake, Antioch, and Gurnee, Illinois. Sellke relentlessly incorporates new technologies and systems enhancements to achieve exceptional results with shorter appointments, fewer appointments, and fewer months in treatment. He served as a clinical professor at UI-Chicago for 30 years and continues to lecture worldwide on innovations in orthodontics. He also serves as a consultant and lecturer for several orthodontic and digital monitoring companies.
Sponsors
Townie® Poll
Which emerging technology do you think will have the biggest impact on practice efficiency in the next 5 years?



  
The Orthotown Team, Farran Media Support
Phone: +1-480-445-9710
Email: support@orthotown.com
©2026 Orthotown, a division of Farran Media • All Rights Reserved
9633 S. 48th Street Suite 200 • Phoenix, AZ 85044 • Phone:+1-480-598-0001 • Fax:+1-480-598-3450