"How long do I have to be in braces?" This question ranks
right up there with "how much is this going to cost?" when new
patients are discussing orthodontic treatment. Your answer to
the first question might soon be, "about 38 percent shorter time
than in the past," thanks to the results shown when treatment
is enhanced with OrthoAccel's AcceleDent System. The
AcceleDent system has been in use in Europe and Australia since
2009, and received U.S. FDA clearance in November 2011.
This article looks at the physics and technology behind the system,
and discusses several patient-success stories of three U.S.
orthodontic providers.
Static vs. Dynamic Forces
Day-to-day living subjects our bone structures to continuous
cycles of deposition and resorption. These cycles go out of balance
when bone is damaged due to breakage and might also contribute
to osteoporosis. Studies have shown that treatment consisting of
non-invasive mechanical intervention, in the form of low-level
vibratory forces, not only decreases bone-density loss but also
reverses the process. This field is now called micro-pulse therapy
and has been investigated and applied to orthodontic treatment.
Traditionally, orthodontic appliances rely on the application
of static forces to induce micro-movement of a tooth and the
subsequent alveolar bone remodeling. Both osteoblastic (tension)
and osteoclastic (compression) activity takes place as the desired
movement is accomplished, and the treatment time depends
directly on the bone remodeling rate. Many different approaches
have been evaluated to increase the speed of movement and thus
decrease treatment time, from chemical and biological mediators
(whose development takes decades and may have side effects) to
surgical intervention and the well-documented use of temporary
anchor devices (TADs) for certain cases.
However, in recent years clinical studies involving dynamic
forces, such as applied through micro-pulse therapy, have demonstrated accelerated rates of movement and thus bone formation,
leading to shorter treatment times. The cyclic nature of
the force (a true oscillation, not just an intermittent application)
changes magnitude rapidly and repeatedly, creating
stresses on the tissues and cellular structures multiple times over
short periods, increasing blood flow. This approach has been
shown to have a greater stimulating effect than that of constant
forces. Frequencies found relevant to orthodontic applications
range from several Hertz (Hz or cycles per second) up to 100Hz
or greater.
An Orthodontic Stimulation System
Pursuing a practical design for an oscillatory orthodontic
stimulation system came next. A prospective, randomized,
blinded, controlled trial was conducted at the University of
Texas Health Science Center, San Antonio, Texas, from
February 2009 to December 2010, enrolling 45 patients age 12
to 40. The device used during this evaluation (patients used it
for 20 minutes daily) has the same functional properties as the
currently marketed AcceleDent System. Results from the trial
showed that during the alignment phase of treatment, tooth
movement in the AcceleDent group, as determined by the rate
of change in the mandibular arch perimeter, produced a rate 106
percent faster, recorded as 2.71mm/week for the AcceleDent
group, as compared to the control group rate of 1.32mm/week.
Also, the rate of tooth movement during the space closure phase
was 38 percent faster for the AcceleDent group as compared to
the control group.1
These results were so successful (with no root resorption
issues) that the device has now been fully productized and FDAcleared
as a Class II medical device. Developed and marketed by
OrthoAccel as an adjunct to routine orthodontic treatment, the
device has been in use in Europe and Australia for almost three
years, and was approved for use in the United States in November 2011. Overall treatment time savings (over both
phases) is said to range from 38 to 50 percent.
The AcceleDent System consists of four parts: 1) a mouthpiece,
not unlike a sports mouthguard, which the patient
gently bites onto during use, 2) an activator that houses the
micropulse generator (attached external to the removable
mouthpiece and about the size of a couple of flash drives), 3) a
small desktop docking station that recharges the unit and also
tracks usage (via a microprocessor in the activator) and 4) a
carrying case that keeps the mouthpiece-plus-activator clean
and secure for travel.
AcceleDent plastic mouthpieces come in two sizes and three
shapes and can be trimmed with dental scissors for minor fitting.
The various configurations accommodate patients dealing
with a flat bite, open bite or deep bite. A fully charged unit will
last for five to seven uses, so patients can take it on a weekend
trip without needing to pack the charger. Mouthpieces are
meant to be hand-washed after each use, as with a sports guard
or retainer.
Patients use the hands-free AcceleDent system 20 minutes a
day and can easily read, text or work on a computer while doing
so. Since it can only go in one way, there's no chance of improper
seating. AcceleDent uses SoftPulse technology to deliver the
micro-pulsations at a frequency of 30Hz, with an output force of
approximately 25 grams. The whole unit weighs just 2.3 ounces
and patients report only a very slight vibratory sensation.
The AcceleDent System can be used on patients undergoing
all forms of orthodontic treatment, from fixed traditional
bracket systems to lingual braces to removable aligners (the
aligner stays in while the device is in use). It is primarily marketed
to adults, though children could also use it, and is handled
as a single-user, prescription device.
More than 300 U.S. orthodontists already offer the
AcceleDent system. Based on their prior knowledge of the system's
effectiveness in Australia, three of the earliest users were
Dr. Robert Rudman (Colorado), Dr. Anil Idiculla (Colorado)
and Drs. Marc Lemchen and Jennifer Salzer (New York).
| Accelerating a Mile-High Smile |
Fred Churbuck is well known around Denver for his savvviness and style as General Manager of LivingSocial Denver, the consumer-buying phenomenon
that connects online and offline commerce. In recent months, his smile has also become the local "face" of the AcceleDent system as he became
the first person in Colorado to use it and started blogging about the experience on Facebook for Dr. Robert Rudman of Advanced Orthodontic Care. Fred
has traditional braces with ceramic brackets on the upper front six teeth; he's been a bit self-conscious about them in both business and social scenes,
and was definitely interested in speeding up the process. With the AcceleDent in he says, "It's basically innocuous to use. I put it in for 20 minutes after
dinner when I watch TV, and that's it."
He started in braces on January 16, with treatment expected to take 22 months. After just 12 weeks of use, in a May 29 blog-post, he wrote, "I was
blown away by my progress pictures side by side today. I am totally in awe of you guys." Now the plan is to be done by November 1. "We've literally moved
them in half the time," says Fred. "I love this thing to the point where I tell everyone."
|
Offering More Options in Denver
Dr. Robert Rudman of Advanced Orthodontic
Care (www.cherrycreeksmiles.com) in Denver,
Colorado, is a frequent international lecturer who
encountered the AcceleDent System while speaking
in Australia in 2009. He followed the progress of the
system through the company's international Web
site and began offering the option to his patients in March 2012.
Dr. Rudman's first case, a 37-year-old male with a Class III
occlusion and a 4mm anterior open bite, offered a unique
opportunity to put the technology into use. The patient had
already had traditional bracket braces on for two months prior
to starting with the AcceleDent, so he could readily report on
any perceived differences before and after. (In fact, Dr. Rudman
persuaded him to share his experiences on the practice's
Facebook page – see "Accelerating a Mile-High Smile.") The
original probable treatment time was 18 to 24 months. Progress
has been so rapid that completion is now expected at the 16-
month mark.
Advanced Orthodontic Care offers the AcceleDent option to
all its full-treatment patients (fixed or aligner). The practice has
had 15 more patients choose to shorten their treatment time
through use of the AcceleDent, with more soon coming on
board. As Dr. Rudman says, "It is easy to implement and does
not change your treatment mechanics." He adds, "Pay particular
attention to the fitting of the mouthpieces. Also, have your
patients bring the device to their appointment and have them
wear it prior to adjustments. This reduces discomfort and you
can check on the fit." In some cases, enough movement of both
jaw and teeth has occurred (as in closing an open bite) that a different
mouthpiece is required as treatment progresses.
 |
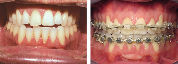
Initial photo before orthodontic treatment.
Images courtesy of Dr. Robert Rudman. |
Six months into orthodontic treatment including four months' use of
OrthoAccel's AcceleDent system. |
Accelerating Invisalign Cases
Dr. Anil Idiculla is another Denver-area orthodontist
(www.live-life-smiling.com) who travels the
world. He first heard about the AcceleDent System
from Dr. Craig Scott, one of the first orthodontists
to use the system in Australia. The two have stayed
in touch, so Dr. Idiculla was prepped to work with
the system immediately upon its FDA clearance in the U.S.
Now, every one of Dr. Idiculla's Invisalign patients (currently
more than 50) uses the AcceleDent System – perhaps the highest
number of system users at one U.S. practice. You can tell
how much he likes this approach when he says, "What a difference.
It's all we offer – we don't offer non-accelerated Invisalign
treatment." Also, having transitioned many patients mid-treatment
from non-accelerated to accelerated, he says those patients
really see the contrast in progress between a regular two-week
tray change and a one-week change with AcceleDent.
Dr. Idiculla notes, "I'm looking very closely to see if there are
certain movements that are faster than others with AcceleDent,
which will help me better plan the future."
 |
| OrthoAccel's AcceleDent system in use,
showing how the patient can easily be
doing other activities during the
20 minute session. |
Due to the simple issue of practice management, he does
not yet offer the system to his fixed-appliance patients. He
says, "If we did it with fixed patients, they would have to
come in (for appointments) probably twice as fast, so they
would come in every four weeks, instead of eight weeks. The
beautiful thing with Invisalign is we can bring them back
every eight weeks, but they have twice the amount of trays –
they get eight trays now instead of four – so it doesn't burden
an orthodontic schedule." He will continue to look to his
study-club mentors for advice that might change that
approach down the road.
Personal Approval by NYC Orthodontists
In New York City, Dr. Marc
Lemchen and Dr. Jennifer Salzer
(www.drmarclemchen.com) really took
the system to heart: Dr. Salzer became
the practice's first AcceleDent patient.
Dr. Lemchen had been following the
work done by OrthoAccel years before the system's U.S. debut,
so the two orthodontists were well informed about its capabilities
and process.
As an Invisalign patient, Dr. Salzer knew how the trays
worked and felt in her mouth at start-up and said, "Use of the
AcceleDent system made the aligners seat better. And, the
normal discomfort you have when you change a wire or
aligner is mitigated by the use of the device – it makes them
more comfortable."
Both doctors say the unit produces a very subtle vibration.
"You barely feel it's working," says Dr. Lemchen.
When asked about any downsides, Dr. Lemchen proposed,
"We might be concerned about using it in cases where we are
looking for anchorage that is dental in nature as opposed to any
kind of skeletal anchorage. We assume it would make everything
move more easily, and since we can't apply it to specific areas, we
have to be aware of that. A TAD would be the best option."
He adds, "It's a question of how you present the cost, but
we would probably use it for every case. We have not discovered
any contraindications – we have used them with
Invisalign cases, with labial braces as well as lingual appliances.
It absolutely works."
For more information about OrthoAccel's device, visit
www.orthoaccel.com.
References
- AcceleDent Safely Accelerates Conventional Orthodontic Treatment – Results of a RCT, OrthoAccel,https://acceledent.com/
|