Adult Clinical Cases with Pathological Problems Treated with Lingual Orthodontics by Dr. Salvador Romero


by Dr. Salvador Romero


Introduction
A 34-year-old patient (Fig. 1) wanted to close the spaces between the front teeth and put an implant on the first upper bicuspid (Fig. 2). He didn't want the braces to show so he came to the office for lingual braces.

Diagnosis
The patient presented a challenging combination of circumstances, dental spaces, absence of the first upper bicuspid and overbite (Fig. 2).

Treatment
Lingual customized brackets and wires for upper and lower arch. In the order of the customized brackets we chose from cuspid to cuspid vertical slot .018 and from first bicuspids to second molars horizontal slot .018. We placed the turbo bite on the upper cuspids to help the overbite. Contact only existed on the front part where the bites were located so we had the opportunity of opening the bite since the beginning.

On the setup we planned to keep the space for the implant on the first upper bicuspid (Fig. 3).

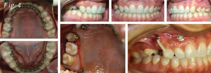
Continuing with the adjustments we found that it was impossible to move the second upper bicuspid (Fig.4). We placed two TADs, one of them applying direct pressure to the second upper bicuspid which had no positive results. We even tried making a little bit of luxation for movement, obtaining no results at all. On the other TAD we made a vertical movement on the upper right cuspid, applying a lever movement on the root (Fig. 4).

Making a close diagnosis on the right upper bicuspid area, we found a problem of hypercementosis on the second bicuspid. This forced us to make changes to the original treatment plan of placing an implant and taking a closer view. We had to work with the periodontics, prosthodontics and endodontics. Considering the mentioned outcomes, the decision of performing the root canal and building a flying bridge that would hold on to the second right upper bicuspid with the hypercementosis and leave a little extension to the cuspid, was taken (Fig. 5).

Discussion
We have seen a lot of articles about hypercementosis, and what we should emphasize is that there is an excessive formation of cement on the root surface and there is no way of knowing the exact amount of cement that will be formed, since even on devitalized teeth the cement keeps growing. This problem might also damage one or multiple teeth. The three factors are:
  • Physiological: dental eruption
  • Phatological: missing next tooth, gingival problems or periodontitis
  • General: Paget problem, acromegaly or giantism
We can take advantage of a hypercementosis tooth as an anchorage unit for building a bridge. In this case, with the limitation of not having a space for the implant because the problem was mesial to the second bicuspid root.

Due to the complications of the patient, we had to make a good lateral and protrusive adjustment so we would have stability, and suggested to the patient to use an Essix Ace .040 as an upper retainer and fix retainers from lateral to lateral on upper and from cuspid to cuspid on bottom.

Clinical Case #2


Introduction
A 17-year-old patient (Fig. 6) wanted to close the spaces between the front teeth (Fig. 7). He didn't want the braces to show so he came to the office for lingual braces.

Diagnosis
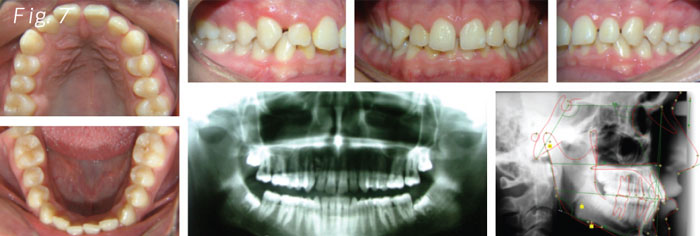
The patient presented a challenging combination of circumstances: dental spaces, lower crowding and overbite. The main problem we saw on the panoramic X-ray was the presence of an odontoma between the upper right lateral and cuspid.

It can be diagnosed in adolescence; it is asymptomatic, and usually found by X-rays. We observed disorganized dental tissue and it's well delimitated by a radiolucent area (Fig. 7).

Treatment
Lingual customized brackets and wires for upper arch and labial clear brackets for lower arch. On the order of the customized brackets we choose from cuspid to cuspid vertical slot .018 and from first bicuspids to second molars horizontal slot .018, having the turbo bite on the upper cuspids to help on the overbite and having only contact on the front teeth where the bites are located, so we have the opportunity of opening the bite.

From the start we planned to put lower braces combined with an Essix .040 with two turbos made with the plier and filled with acrylic, that way we can start the treatment and just wait for the upper braces to come (Fig. 8).

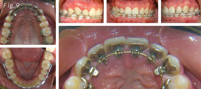
When the upper braces arrived it was very easy for the patient to make the transition from the Essix .040 with turbos to the customized lingual braces with turbos on cuspids (Fig. 9).

Discussion
On this clinical case we had a big disadvantage because the patient didn't help us on doing the enucleation of the pathology. One of the biggest problems was that the odontoma on this case started putting pressure on the roots of the lateral and cuspid.

We had to make good lateral and protrusive adjustments so we could have stability and suggested to the patient just to use an Essix Ace .040 as an upper retainer and fixed retainers from lateral to lateral on upper and from cuspid to cuspid on the bottom (Fig. 10).

Final Conclusions
On some occasions when we have pathology, there are disadvantages for orthodontic treatment; we have to explain to the patient that in some cases we can find a positive way to take advantage of the situation.

Author's Bio
Dr. Salvador Romero graduated from UACJ Dentistry and UACJ Orthodontics. He is in private practice, but devotes considerable time for education as an international speaker for American Orthodontics. He is the president of Orthosmile Foundation, helping kids with Down syndrome. He has been published in several orthodontic publications in Europe and Latin America.
Sponsors
Townie® Poll
Which emerging technology do you think will have the biggest impact on practice efficiency in the next 5 years?
  
The Orthotown Team, Farran Media Support
Phone: +1-480-445-9710
Email: support@orthotown.com
©2026 Orthotown, a division of Farran Media • All Rights Reserved
9633 S. 48th Street Suite 200 • Phoenix, AZ 85044 • Phone:+1-480-598-0001 • Fax:+1-480-598-3450