Case Presentation:
Mini-screw anchorage to accomplish en masse intrusion... by John M. Pobanz, DDS, MS


Case History and Analysis

An African-American 14-year and four-month-old female presents with the chief complaint of excessive gingival display. In her words: "Can you make it so that I don't look like a horse?" She had not yet experienced the onset of menstruation. She presents with no significant medical or dental history affecting treatment planning and no complicating factors associated with the periodontium or oral tissues. The patient displays 8mm of gingiva upon smiling (Fig.1). Pre-treatment facial photographs (Fig. 2) show a convex profile bimaxillary protrusion. Cephalometric analysis (Fig.3) shows a Class II skeletal relationship, retrusive mandible. The lip profile is protrusive relative to the E-line. She is not lip incompetent. However, the molar and canine relationships are Class I. Overjet and overbite are normal.

Treatment Objectives
  • Maintain the AP position of the maxilla
  • Restrain vertical growth of the maxilla
  • Correct high smile line and excessive gingival display
  • Improve vermillion display of the upper lip
  • Maintain Class I molar/canine relationships, ideal overbite and overjet
  • Encourage autorotation of the mandible
  • Maintain lip competence
  • Accept facial convexity and protrusive lip profile
  • Maintain a pleasing smile arc and maximize dental display in the buccal corridors

Treatment Plan

A surgical correction of the high smile line was discussed but rejected by the family due to cost and lack of medical insurance coverage. The alternative of extraction treatment to reduce the protrusive lip profile was explored. The family chose to maintain the existing lip profile and pursue a non-extraction treatment plan. Family ethnicity and lip competence despite bimaxillary dentoalveolar protrusion were the driving forces behind this decision. The following treatment plan was created to achieve treatment objectives and satisfy patient preferences:
  1. Level and align both arches non-extraction.
  2. Intrusion of the maxillary dentition and modification of vertical maxillary growth achieved with skeletal anchorage.
Treatment Sequence

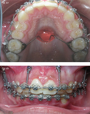
Damon standard torque .022 appliances were placed in both arches. Routine leveling and alignment was achieved with a standard archwire sequence to 19x25 stainless steel archwires, requiring six months of treatment time. A soldered transpalatal arch was placed with 6mm of clearance relative to the palatal tissue and an acrylic button to provide comfort for the tongue and encourage additional intrusive forces by the tongue upon the maxillary dentition (Fig. 4a). Vector TADs (6mm) were placed at the mucogingival junction in the buccal vestibule between the upper central and lateral incisor roots and 8mm vector TADs between the roots of the upper second bicuspids and molars. Intrusive forces were applied to the posterior segments with 250gm NiTi coil springs between the upper first molars and second bicuspids. Smaller intrusive forces of 150gms each were applied to the archwire between the maxillary central and lateral incisors so as to maximize molar intrusion and autoration of the mandible while simultaneously reducing gingival display (Fig. 4b). The intrusive forces were applied for a total of 14 months. During the course of treatment, the upper right posterior mini screw failed twice, as well as the upper right anterior mini screw once, due to root collisions during intrusion. In both instances of failure, the failed mini screw was removed and the site allowed to heal for two weeks prior to reinsertion at a site just apical to the original site. The TPA was then removed and final detailing of the posterior occlusion, anterior root torque, ideal overbite and overtjet relationships were achieved with 19x25 TMA and light interarch elastics for an overall treatment time of 24 months. Some gingival contouring was performed with a diode laser to maximize enamel display and establish pleasing gingival margin symmetry. Osseous crown lengthening was not necessary as reported by others.1 Bonded wire retainers were placed and night time Essix retainers were delivered.

Treatment Results

The cephalometric analysis and superimposition of before-and-after-treatment tracings shows a significant dentolalveolar intrusion of the entire upper arch, as well as a restraint of downward and forward growth of the maxilla coupled with a mandibular forward autorotation (Fig. 5a). A pleasing display of first and second bicuspids was achieved in the buccal corridors. Class I molar and canine and ideal overjet and smile arc relationships were maintained. Maxillary gingival display was reduced such that a pleasing smile line was achieved with the upper lip being just above the gingival margin of the maxillary incisors. Vermillion display of the upper lip was improved with remodeling of the anterior alveolus (Fig. 5b, c & d). Overbite is ideal and crowding is resolved while maintaining lip competence. The outcome was pleasing to the patient, patient's family and to the clinician. It was significant to note that this patient experienced the onset of menstruation at the 13-month mark of the overall 24 month treatment time. Significant growth modification of the maxilla was achieved with skeletal anchorage and accounted for approximately 40 percent of the correction of vertical maxillary excess. Facial convexity was accepted. However, the patient is considering advancement genioplasty. Failures of mini screws occurred in this case due to root proximity during dental intrusion, especially in the posterior where limited interradicular space was present. An updated treatment protocol would include placement of 6mm tomas mini screw at the mid-palatal suture to reduce the chance of posterior mini screw failure due to root proximity during intrusion (Fig. 6).2 Creating root divergence between the upper central and lateral incisors prior to mini screw placement and intrusion could reduce the chance of anterior mini screw failure.

Conclusions

This case demonstrates the following: skeletal anchorage can be used to modify growth of the maxilla in the vertical plane of space. Gingival display can be reduced in a growing patient with intrusion of the entire maxillary arch while maintaining ideal occlusal relationships without the requirement of osseous crown lengthening following treatment. Updated protocols to avoid root-mini screw collision during intrusion can be used to reduce mini screw failure in similar cases.

References
  1. Simultaneous Reduction in Vertical Dimension and Gummy Smile Using Miniscrew Anchorage. James Cheng-Yi Lin, DDS, Eric Jein-Wein Liou, DDS, mSC, S. Jay Bowman, DMD, MSD JCO Volume 44: Number 3: Page 157: Mar: 2010
  2. One mid-palatal TOMAS mini-screw used for en masse intrusion of the maxillary posterior dentition to accomplish anterior open bite correction. John Pobanz, DDS, MS, Orthotown. March 2012
Author's Bio
Dr. John Pobanz owns and operates Pobanz Orthodontics in his hometown of Ogden, Utah. He holds a Masters of Science degree in oral biology with an emphasis on bone physiology. He completed his dental and orthodontic training at the University of Nebraska and is a diplomate of the American Board of Orthodontics. Dr. Pobanz delivers lectures to national audiences on topics ranging from creative practice marketing to effective practice management and team building, in addition to progressive applications of temporary anchorage devices.
Sponsors
Townie® Poll
Which emerging technology do you think will have the biggest impact on practice efficiency in the next 5 years?
  
The Orthotown Team, Farran Media Support
Phone: +1-480-445-9710
Email: support@orthotown.com
©2026 Orthotown, a division of Farran Media • All Rights Reserved
9633 S. 48th Street Suite 200 • Phoenix, AZ 85044 • Phone:+1-480-598-0001 • Fax:+1-480-598-3450