A Protocol for Creating Images from CBVI for the Practicing Orthodontist, Part II by Daniel S. German, DDS


These written instructions are intended to help practices glean meaningful information from CBVI data set. Additionally, the objective is to move the profession forward in developing protocols to be certain that the data set is carefully reviewed, information shared with colleagues, and viewed and/or saved in a manner to render superior care to our patients. The template will evolve or be replaced as we learn more about the information contained in the CBVI data set.

1) First, ensure that the optional Tx STUDIO Report and 3D Analysis modules have been installed and activated.

2) After making the patient's 3D CBVI scan, open the patient dataset with Tx STUDIO by clicking "File" at the top of the screen, then "Open" and "Browse File" in the pop-up window. Navigate to your DICOM file storage location and select the desired patient.

3) Go to the upper right corner of the software and select the "Report" tab. A black template outline will appear. We have provided Imaging Sciences a copy of our default report settings to provide to all users at no cost. You should not have to replicate its creation. Contact Imaging Sciences International support (215- 997-5666) to obtain our default settings to create the boxes shown for populating with images. We do not have the ability to provide a link or the report in any form. Alternatively, you may customize your preference for an image layout and save it as your default report setting.

4) You will then populate the loaded German Template by building the images listed.
5) The photographic images in the center of the template will be imported from a file on your computer or a camera memory card. Double-click on the box to bring up the "Single Image Box Properties" window, then browse to your photo storage location and select the correct image. Click "OK."

6) The tabs along the top of the screen will be used to build the images for the rest of the German Template.

7) Image creation is described in the following steps. After each image is created, zoom in by pressing the CTRL key and then clicking on the image and dragging the mouse up/down to fit the image to the screen.

The information displayed in the corners of the image can be removed by clicking on the blue "i" icon in the toolbar at the top of the screen. When available, you can also click the "Toggle Cursor Visibility" button to remove reference lines.

To save the images, click "View" at the top menu and select "Capture to Gallery." Be sure to name the images as shown, as all names are case sensitive and must be identical to the template label. Then click "OK."



a. To create the "Hard Frontal" image, go to the "Volume Render" tab. On the upper left side of the screen, select "Maximum Intensity" from the "Reconstruction" drop-down menu and then select "Gray Scale."

As described in step 7, "Capture to Gallery" and name the image "Hard Frontal."



b. Click the "Super Ceph" tab to create the "Frontal" image. Select the "Front View" icon in the upper left corner, and click "X-ray."

As described in step 7, "Capture to Gallery" and name the image "Frontal."

c. The "Coronal Slice" is created by navigating to the "Section" tab. First, ensure the patient is correctly oriented. To adjust the orientation, click the "Reorientation" icon at the top of the screen.

Once the orientation is correct, adjust the orange line in the bottom left image until the top left image shows a clear view of the lower arch. Next adjust the purple line in the upper left image while looking at the image below until there is a clear coronal slice of the first molars.

In the "3D Volume Clipping" section on the left-hand side of the screen, select "Coronal."

If desired, click the "Toggle Cursor Visibility" icon to remove reference lines. As described in step 7, "Capture to Gallery" and select "Coronal" in the "Select Image to Capture" pop-up window. Click "OK," then name the image "Coronal Slice."

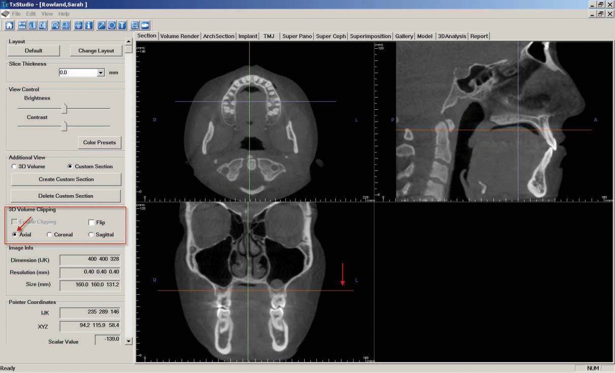
d. To create the "Axial Slice," stay in the "Section" tab and adjust the orange line in the lower left image until the upper left image shows a clear view of the mandibular bone. In the "3D Volume Clipping" section on the left-hand side of the screen, select "Axial."

e. If desired, click the "Toggle Cursor Visibility" icon to remove reference lines. As described in step 7, "Capture to Gallery" and select "Axial" in the "Select Image to Capture" pop-up window. Click "OK," then name the image "Axial Slice."

f. The "Sagittal Slice" is also created in the "Section" tab. Adjust the green line in the center of the bottom left image until the upper right image shows a clear view of the right centrals. In the "3D Volume Clipping" section on the left-hand side of the screen, select "Sagittal."

If desired, click the "Toggle Cursor Visibility" icon to remove reference lines. As described in step 7, "Capture to Gallery" and select "Sagittal" in the "Select Image to Capture" pop-up window. Click "OK," then name the image "Sagittal Slice."


g. Next, go to the "TMJ" tab to create the "TMJ Coronal" image. First, move the orange line while focusing on the center image until the condyles (shaped like kidney beans) appear. Click on the white rectangle and position over each condyle, using the orange points to bisect the vertical center of the condyles. Rotate the boxes 90 degrees toward the midline to make coronal slices of the condyles. You can adjust the width and interval settings to ensure the slices match the size of the condyles.

As described in step 7, "Capture to Gallery" and select "Whole View" in the "Select Image to Capture" pop-up window. Click "OK," then name the image "TMJ Coronal."

h. The "TMJ" tab is also used to create the "TMJ Sagittal" image. Click on the white rectangle and position over each condyle, using the orange points to bisect the horizontal center of the condyles. Rotate the boxes toward the midline to bisect the condyle. Adjust the interval setting to view slices of the entire width of the condyles.

As described in step 7, "Capture to Gallery" and select "Whole View" in the "Select Image to Capture" pop-up window. Click "OK," then name the image "TMJ Sagittal."

i. The "Lateral Ceph Tracing" is created in the "3D Analysis" tab. First, click the "Right view" icon at the top of the screen, then click "Create Tracing" and follow the prompts to trace the ceph to your doctor's preference. Then you might want to select the "Teeth" view.



As described in step 7, "Capture to Gallery" in whole view and name the image "Lateral Ceph Tracing."

j. The "Airway" image is created in the "Volume Render" tab by selecting the "Airway Measurement" icon at the top of the screen and choosing "Volume Render" from the "Reconstruction" drop-down menu located in the upper left corner of the screen.

The skull will automatically orient for optimum airway marking. To begin measuring, begin at the base of the airway and click inside the airway passage to place several points moving upward. Right click to finish at the height the doctor determines should be used for every patient when measuring airway.

You might then want to switch from the "Gray Scale" view to the "Soft Tissue + Bone 1" view using the icons on the left side of the screen.


As described in step 7, "Capture to Gallery" and name the image "Airway."

k. Select the "Super Pano" tab. Focus on the three images at the bottom. In the first image, drag the top green line to below the orbits. Then drag the bottom green line to below the chin. In the second image, adjust the white outline of the arch to frame the mandible and use the red dots to widen the arch path.

Now click the "Create Pano" button at the top left side of the screen.

As described in step 7, "Capture to Gallery" and choose the "Pano" option in the "Select Image To Capture" pop-up window. Click "OK."

Name the image "Pano" and click "OK."

8) The German template is complete! Click on the report tab to view the populated template.

If any images are missing, ensure that the spelling and case of the image title are identical to the template label, then resave the missing image(s) to "Capture to Gallery" to automatically populate the template.

9) In order to print the template, go to "File" and select "Print Setup." Be certain that "Landscape" orientation is selected, and then click "OK." Next, return to the "File" menu and select "Print Preview." If the image shown is correct, click "Print" and then "OK."

10) The template can also be saved as a .jpeg, .bmp or .png file by going to "View" and selecting "Capture to File" from the drop-down menu. Enter a "File name" and select the desired file type from the "Save as type" drop-down menu, then click "Save."

11) To save the populated template for future viewing, go to "File" and select "Save As" from the drop-down menu. Enter a "File name" and save as an "InVivo file (.inv)."

Open the saved InVivo file with Tx STUDIO by clicking "File" at the top of the screen, then "Open," and "Browse File" in the pop-up window. Navigate to your InVivo file storage location and select the desired file.

Finally, reload the German Template by going to the upper right corner of the software and selecting the Report tab. Click the "Load Template" button located on the left-hand side of the screen and select the "German Template" to auto-populate the images previously built. *Note: you will need to reload the photographic images in the center.

A series of complimentary tutorial videos for using the Tx STUDIO report module are available at: http://www.you tube.com/user/ImagingSciences.

Acknowledgements: Thank you to Barbara Brinker of Dolphin Imaging who carefully proofed the section on Dolphin Imaging. Also, a thank you to Hanna Minges, Sarah Rowland and Sydney Kruse of German Orthodontics for their special effort in creating the detailed instructions for using Dolphin Imaging and Tx STUDIO to create the German Template.

Author's Bio
Dr. Dan German has a private orthodontic practice in Dayton, Ohio. He is a part-time assistant clinical professor at The Ohio State University and is a consultant to the University of Louisville Division of Orthodontics. He has been the keynote speaker at orthodontic association meetings from Alaska to South Africa, and most recently at New Zealand's University of Otago. Dr. German's article presenting a protocol for using 3D CBVI in orthodontic diagnosis and treatment planning was featured in the Journal of Clinical Orthodontics. He has also been published in the Journal of the American Dental Association and the American Journal of Orthodontics and Dentofacial Orthopedics. He is most passionate about his role in raising seven children with his wife, Teri.
Sponsors
Townie® Poll
Which emerging technology do you think will have the biggest impact on practice efficiency in the next 5 years?
  
The Orthotown Team, Farran Media Support
Phone: +1-480-445-9710
Email: support@orthotown.com
©2026 Orthotown, a division of Farran Media • All Rights Reserved
9633 S. 48th Street Suite 200 • Phoenix, AZ 85044 • Phone:+1-480-598-0001 • Fax:+1-480-598-3450