Efficiency of Advanced Digital Technology for Orthodontic Treatment by James Reynolds, DDS, MS



As clinicians, we are continually faced with the question: "What is state-of-the-art in orthodontics?" Today, I believe the answer to that question is individually customized digital orthodontics.

Customized appliance systems increase efficiency by reducing or even eliminating errors inherent in employing a one-size-fitsall approach to treatment. By incorporating digital treatment planning software and customized appliances, I have been able to reduce errors in bracket placement and prescription that have greatly reduced the number of months and appointments necessary to complete treatment. The following case represents the efficiency and high-quality results I have been experiencing for the past 3 1/2 years with this advanced digital technology.

Diagnosis and Treatment Plan

A 17-year-old female patient presented with mild CL II molar/CL I cuspid relationships, a narrow upper arch and bilateral posterior crossbite with lingually positioned second bicuspids. She also demonstrated moderate upper and mild lower crowding with a mild overbite and overjet, thin gingival tissue at the lower incisors with mild attrition and a heavy maxillary frenum (Fig. 1).

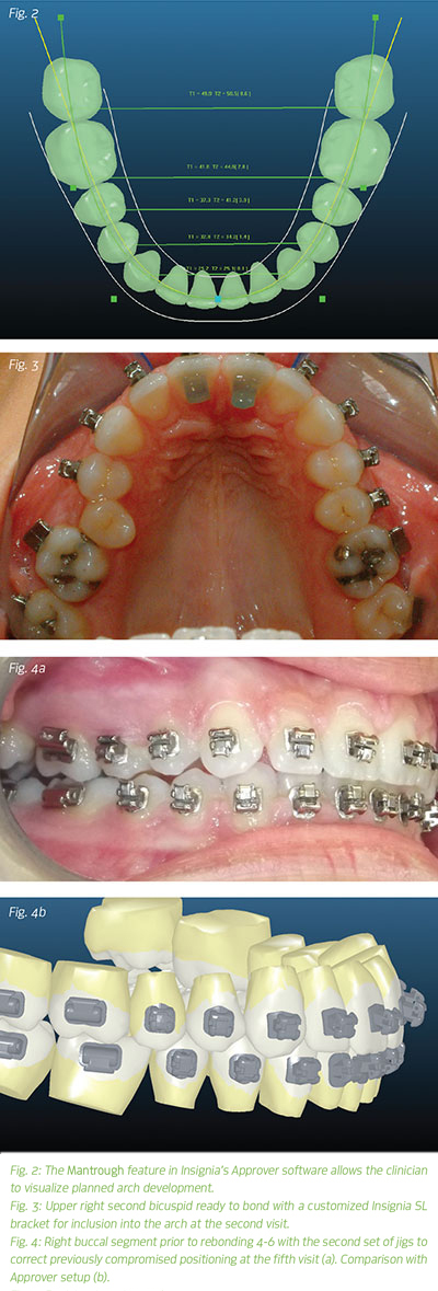
The plan was to treat the patient non-extraction by employing a system of 3D treatment software (Fig. 2) and customized passive self-ligating appliances (Insignia Custom SL, Ormco, Orange, California) with upper anterior bite turbos to disarticulate the arch and develop it transversely, thereby alleviating the crowding and correcting the crossbite while employing light CL II elastics for A/P correction.

Treatment Objectives
  • Resolve the crowding in both arches and bring the upper bicuspids into the arch via transverse arch development
  • Correct the posterior crossbite
  • Bring the molar relationships to CL I
  • Normalize the overbite and overjet
  • Protect the gingival tissue at the lower anteriors
  • Maintain the smile arc and increase tooth display in the buccal corridor

Treatment Sequence

Using the Insignia-supplied customized placement guides (jigs), the upper and lower arches were indirect bonded - except for the upper right second bicuspid - and disarticulated with bite turbos to foster transverse arch development. The archwire sequence was: .014in CuNiTi (stock) with the remaining archwires all customized, .014 x .025in and .018 x .025in CuNiTi; .019 x .025in stainless steel and .019 x .025in TMA.

The upper right second bicuspid alignment was improved (Fig. 3) by use of an open coil spring between the upper right first bicuspid and first molar with a ligature tied to a bonded button on the second bicuspid. The button was then replaced at the second visit with a bonded bracket using the Insignia provided single tooth bonding jig. At the fifth/interim panograph appointment (which I take after the .018 x .025in CuNiTi wires have been in place for six weeks), the upper right 4-6 were rebonded with the jigs to correct the placement that had been previously compromised by crowding (Fig. 4). Correction of the A/P was also begun with 2oz, 5/16in CL II elastics, maintained until debonding. Treatment progressed through the next two appointments with debonding and a thermoformed retainer delivered at the final appointment.

Treatment Results

At the initial consultation, I had relayed to the family that I was confident the patient could be treated non-extraction to a pleasing result in 18 months. The actual treatment time was 11 months (in eight appointments including bonding, debonding and one emergency appointment). The efficiency of this customized appliance system in conjunction with bite turbos, lightforce wires and light CL II elastics resolved the crowding, overbite and overjet, and corrected the A/P and crossbite (Fig. 5).

Discussion

At the interim panograph appointment, I review roots for possible bracket repositioning as well as assess whether there are any discrepancies between the digital Approver setup and the "real life" tooth positions (Fig. 6). To address discrepancies, I make a determination about whether the genesis of the issue was the Approver setup or bracket placement.

If, upon review, the "real life" tooth positions are different from the digital setup, I made a mistake in bracket placement and will use the placement jigs to reposition brackets. Sometimes, however, comparing the teeth in "real life" to the Approver software reveals a setup error. If I approved a setup that included an error, I will reposition brackets by hand in the appropriate position. There is a bit of a learning curve in understanding how the virtual setup translates to tooth positions in the mouth. The Approver software dictates bracket fabrication and placement exactly as I design setups. Clinical experience yields improved skill in setting up cases in the digital world. Excellent setups produce excellent results and efficient treatment. When learning Insignia, take the time to explore the software and become an expert in Approver setups.

Incorrect bracket placement is usually a result of an inability to position the placement jigs for sufficient draw given the crowding. Insignia comes with two sets of jigs. The first set, used for initial bonding, typically has as many teeth as possible per segment for bonding efficiency. Each jig in the second set is cut for individual teeth with deeper occlusal anatomy.


When it is impossible to place specific brackets precisely because of crowding and/or rotations, the second set of jigs will allow you to refine placement. The second set is also used to rebond loose brackets during treatment. The deepened occlusal anatomy on the second set offers a more precise feel for the correct placement of the jig on the tooth. Insignia provides paperwork before bonding that indicates if any brackets will need to be rebonded later due to probable jig fit issues. Insignia cases are now accompanied by redesigned jigs made of clear material to provide an enhanced fit that assists in first-time bracket placement and ease of curing. Integration with Ormco's new Lythos digital impression system offers a precise and efficient alternative to PVS impressions and should quickly become the modality of choice for capturing pretreatment dentition.

Conclusion

The typical response to addressing practice overload is to increase appointment intervals, which creates more appointment availability. My approach has focused on using improved technology, which has reduced overall treatment time and the number of visits required to complete treatment. Even had the number of treatment visits remained the same with this new technology, the reduced time would have indirectly reduced the load from the front office team because fewer patients would be in active treatment at any given time.

Over the past 3 1⁄2 years, I have transitioned from traditional indirect bonding of stock self-ligating appliances to directview/ indirect bonding with Insignia customized self-ligating appliances and its 3D planning software for 95 percent of my full-treatment fixed appliance cases. In doing so (Fig. 7), overall treatment time has been reduced by eight months (35 percent), the number of treatment visits by four (27 percent) and special visits by one (33 percent). In terms of profitability, the increased treatment efficiencies have improved my gross profit by $100 per visit (25 percent).

Comparison of Stock SL vs Insignia Custom SL Appliances Fig. 7
MEASUREMENT STOCK SL INSIGNIA SL PICKUP
Overall Tx Time in Months 23 15 35%
Tx Visits 15 11 27%
Special Visits 3 2 33%
Profit: Tx Visits $405 $505 25%

Treatment quality is a subjective measure, but I feel confident that this advanced technology has significantly improved the quality of my treatment results. Individual customization is here to stay. The integration of other digital technologies (e.g., digital scanning, CBCT, 3D photography) will only further improve the current state-of-the-art. It is an exciting time to be part of the greatest profession on the planet.

Author's Bio
Dr. James Reynolds earned his dental degree from the University of Michigan and his master's degree in orthodontics from the University of Detroit-Mercy. He is a diplomate of the American Board of Orthodontics and the first orthodontist to include an Insignia case in his ABO certification examination. In private practice in Novi and Rochester, Michigan, Dr. Reynolds is a featured speaker on the latest technologies in orthodontics throughout the U.S.
Sponsors
Townie® Poll
Which emerging technology do you think will have the biggest impact on practice efficiency in the next 5 years?
  
The Orthotown Team, Farran Media Support
Phone: +1-480-445-9710
Email: support@orthotown.com
©2026 Orthotown, a division of Farran Media • All Rights Reserved
9633 S. 48th Street Suite 200 • Phoenix, AZ 85044 • Phone:+1-480-598-0001 • Fax:+1-480-598-3450