Introduction
The orthodontist is only as good as a patient will allow him
or her to be. This truism is all too often overlooked when evaluating
patients. An orthodontist may possess superb diagnostic
and clinical skills, but if the patient cannot or will not comply
with directions, the case is destined for failure. Compliance
takes on many forms. Compliance can be how well a patient
keeps scheduled appointments, how respectful the patient is in
terms of limiting breakage and in notifying the office when
breakage occurs, attitude toward treatment, level of oral hygiene,
and how well the patient understands, executes and follows the
directions of the orthodontist.
As practitioners, we often need to evaluate which patients will
have the psychological commitment to see the case through to completion.
Virtually all surgical patients would rather avoid surgery,
and tell us that they are committed to a non-surgical treatment plan,
but it is a minority of patients who are 100 percent compliant.
The following case illustrates the importance of compliance
and how with active patient participation we can effectively realize
our ideal treatment plan. This is a case where the patient had
sought non-surgical options for her orthodontic problems for a
number of years, but always received the same assessment – that
her case was only surgical in nature.
Case Presentation
Diagnosis
A 38-year-old female presented with 15-plus years of TM
joint issues, lateral tongue thrust and difficulty biting, eating
and chewing. She had four previous consultations that offered
her two possible solutions: she couldn’t be treated, or she could
be treated, but required surgery, and treatment would take at
least 30 months. Despite initial advice, the patient continued to
look for a solution that wouldn’t require surgery and would treat
her with cosmetic appliances in less than two years.
The patient expressed clear desire for elimination of right
buccal segment crossbite, good dental intercuspation, closure of
the anterior open bite, control of tongue thrust and an aesthetic
smile in terms of teeth, gingiva and occlusion.
Treatment Plan
With a severe lateral open bite, tongue thrust and TMJ issues
coupled with transverse asymmetry, desire for cosmetic appliances
and an adult patient with complete growth, an extremely
organized and well-executed treatment plan was essential.
The Damon System (passive self-ligation) was the logical
choice for this case due to its unique design allowing for reduced
friction and reduced resistance to sliding. This case, which is
extraordinarily dependent upon elastic therapy for tooth movement,
called for reduced friction and sliding. Binding between
teeth and wires and overpowering the biology of the periodontal
complex due to the delivery of heavy forces, so common in
traditional bracket systems, needed to be nearly eliminated for
success. Additionally, to address the patient’s aesthetic demands,
Damon Clear anterior brackets were selected for treatment.
Elastics
In case presentations where elastic band wear is required, it’s
recommended to introduce elastics slowly and methodically. All
too often a patient is overwhelmed by instruction to wear a myriad
of elastic patterns, resulting in frustration rather than confidence.
To prevent such frustration, the patient was started with one cross
elastic (XE) on her first visit. The location was the most anterior
elastic of the buccal segment (i.e. the premolar area), as that was the
easiest for her to engage. She was instructed to wear the elastic for
22 hours a day for a week, and to return for additional instruction
and progress evaluation. At the one-week appointment it was clear
that she had mastered implementation and she was then instructed
to wear three XEs. Two weeks later she returned, again having mastered
the new pattern, at which time we gave her the remainder of
the XEs necessary to correct her transverse needs.
The complete elastic progression was as follows:
Transverse: XEs were started at the initial banding appointment
and were worn full time for three months and at night for
the following three months. The patterned progressed from
3/16in, 2oz elastics (Quail) placed from the lingual tooth on the
upper arch to the labial tooth on the lower arch. As the wire sizes
increased, elastic therapy increased as follows: 3/16in, 4.5oz
(Kangaroo) to 3/16in, 6oz (Impala).
 |
|
|
| Initial Through Work Wires |
Finishing Wires |
| .014 Damon Copper NiTi |
Upper 19x25 TMA |
| .018 Damon Copper NiTi |
Lower 17x25 TMA |
| 14x25 Damon Copper NiTi |
|
18x25 Copper NiTi
(for a six-week interval) |
|
Sagittal: Once the transverse dimension was under control
and improving, the sagittal elastics were implemented. At month
four of treatment, both transverse and sagittal elastics were used
simultaneously when it was apparent that the patient was capable
of understanding and implementing the instructions given.
|
|
Class III elastics were started on the left side first and then,
once all transverse corrections were complete and the sagittal
dimension became the aspect of concentration, progressed to
include a Class III elastic on the right. As the sagittal correction
developed, we instructed the patient to additionally place transverse
elastics at night to ensure that the correction was maintained.
These movements took place throughout the copper
NiTi wire progression (listed later in article) and continued for
approximately eight months.
Once the transverse and sagittal corrections were in place,
we inserted the TMA wires. The upper TMA wire was expanded
and the lower was constricted in order to maintain the transverse
correction while the final vertical correction was performed. At
the 12-month juncture, elastics were placed in a pattern that
resembled the letter W. These are very difficult for patients to
master and comply with, but provide the greatest vertical correction
available. Having the 17x25 TMA wire in the lower arch
allowed for arch control, but also more vertical correction, as the
wire did not fully fill the slot. This method of vertical closure in
open bites is extremely successful. It is the most difficult pattern for the patient to manage, but by this stage in the treatment
most have become masterful in their ability to wear elastics.
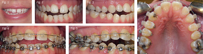
Brackets and Wires
Space closure was accomplished by first consolidating all
spaces by chaining the six anterior teeth together and the four
right posterior teeth and four left posterior teeth as individual
units, under the archwires. Once space was consolidated, closure
was achieved by employing traditional Damon System mechanics
whereby posted wires were inserted and medium NiTi coil
springs were attached from the posts to the first molars. Doing
so provided light, continuous space closing forces.
Wire progression for this case followed traditional Damon
System mechanics.
Finishing
Selective rebonding of brackets was performed at the 12-
month juncture for improved root angulation and marginal
ridge alignment. Interproximal reduction was performed on
selected anterior (upper and lower) teeth to decrease non-aesthetic
“dark triangles.” Additionally, hard-tissue recontouring
(enamoplasty) was performed at the band removal appointment,
once adequate vertical correction had been achieved. The recontouring
provided the patient with an enhanced cosmetic result,
while maintaining appropriate incisal overbite.
When finishing, we focused on making sure the wire did not
entirely fill the slot to allow the vertical elastics to have some
wire play and positive impact on the intercuspation. To achieve
this, the upper was treated with 19x25 TMA and the lower was
treated with 17x25 TMA.
Retention is an important factor in a case of this nature. To
support this, fixed, bonded retainers in both the upper and
lower arches were inserted. In addition to the bonded retainers
we utilized a Damon Splint for long-term stability and maintenance.
The splint maintained the corrected tooth positions and
the transverse, sagittal and vertical corrections. Both the fixed
splints and the Damon Splint are recommended for the patient
to wear into the foreseeable future.
Results
Due to the patient’s exceptional response from both a compliance
and orthodontic progress perspective, surgical correction
was not required. Throughout treatment, Damon Clear
responded very well to all mechanics, underwent no breakage
and allowed for elastic placement due to well-designed tie wings.
Additionally, the posterior metal brackets performed to the
expectations by contributing to the necessary sliding mechanics
as opposed to inhibiting them.
The total treatment time was 22 months and the patient was
seen more than 20 times during the active treatment period. The
final result satisfied the desire of the patient from a functional,
pain elimination and aesthetic position. Dental interferences were eliminated, which aided in reduction of the TM joint discomfort.
The patient also reported she “no longer is taking six or more
Motrin tablets every day,” and her “ability to chew, eat and enjoy
food is dramatically improved.” Obvious aesthetic improvement
is apparent and overall self-confidence elevated.
Conclusion
The key to this case was determining the right treatment
plan and its proper execution. Incremental elastic increases were
critical for aggressive elastic therapy success. Not every patient
would be able to commit to the same level; therefore the doctor
must be aware that mutual frustration, by both doctor and
patient, is a very real possibility in a case like this.
It must also be emphasized that retention is key for long-term
success. Not only is compliance critical during the course of the
active orthodontic phase, the commitment and motivation must
continue far after the case is complete to allow sustained results.
It is suggested that cases such as this are never deleted from a doctor’s
patient database and are followed on an annual basis.
The unique design of the Damon passive self-ligating
bracket – the systematic protocol and mechanics for correction
of severe skeletal malocclusions – and the contribution of the
Damon Clear brackets made the Damon System the ideal
modality to treat this case. In the end, this case was treated without
surgery, but rather with logical mechanics, high-technology
appliances and devout patient compliance.
|