Straight Talk: Extrusion Trauma and a Root Fracture

Extrusion Trauma and a Root Fracture
Straight Talk draws its cases and discussion from the Orthotown message boards. Developed with the assistance of AI tools and edited by the editorial team, each article showcases how orthodontists tackle unusual and challenging scenarios.
A teenage patient returned to her orthodontist’s office just days after being involved in a motor vehicle accident. She had completed comprehensive orthodontic treatment three years earlier, but the collision had left her with significant trauma to the mandibular anterior region.

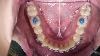
Radiographs and clinical findings showed extrusion and lingual displacement of the mandibular right central and lateral incisors. The bonded lower 3–3 retainer had been completely dislodged; emergency department staff even obtained a chest X-ray to rule out ingestion. Both incisors were in traumatic occlusion, and radiographic examination suggested a possible root fracture near the apex of the lateral incisor (Figs 1–2).

The immediate question was how to reposition and stabilize the teeth without causing additional harm to the periodontal ligament or worsening the fracture. Manual repositioning with digital pressure was not considered viable given the elapsed time since the injury and the rigidity of the teeth at presentation.
Straight Talk: Extrusion Trauma and a Root Fracture
Fig. 1: Initial presentation showing extrusion and lingual displacement of LR1 and LR2.
Straight Talk: Extrusion Trauma and a Root Fracture
Fig. 2: Periapical radiograph suggesting possible apical root fracture of LR2.


Community perspective
Orthodontists in the discussion on the Orthotown message board emphasized that the first priority in cases of extrusion is to restore the teeth to their proper position. With digital manipulation no longer an option, orthodontic mechanics were considered the safest approach. By bonding brackets to the injured incisors and adjacent anchor teeth and engaging a light nickel-titanium wire, the displaced teeth could be gently guided back into alignment. This method not only repositions the teeth gradually but also allows the wire to act as a passive splint once alignment is achieved.

There was broad agreement that splinting plays a crucial role in these cases. Flexible stabilization, whether by maintaining the orthodontic wire passively or transitioning to a bonded retainer with a soft wire, gives the injured teeth the best chance for periodontal and pulpal healing.

The suspected apical root fracture added another layer of complexity. While fractures confined to the apical third often carry a favorable prognosis if stabilized, pulpal necrosis is a frequent outcome, particularly in teeth with fully developed roots. Contributors underscored the need for careful monitoring for vitality loss or resorption and strongly recommended involving an endodontist to establish baseline radiographs and follow the case long term.


Case progress
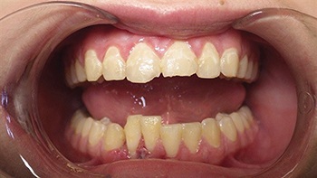
Over the following weeks, the orthodontic approach proved successful. Within a week, the extruded incisors showed visible improvement in position, and by two weeks, they were nearly realigned. The orthodontist planned to maintain the light archwire for several more weeks before replacing it with a bonded 3–3 retainer for long-term stabilization (Figs 3–8).

Throughout the short-term follow-up, the teeth remained firm and asymptomatic. The gingival and periodontal tissues appeared stable, with no signs of acute infection. Nevertheless, the community emphasized that this positive early response did not eliminate the need for long-term vigilance. Regular radiographs and ongoing monitoring by both the general dentist and an endodontist were considered essential.
Straight Talk: Extrusion Trauma and a Root Fracture
Figs. 3-4: Initial Appointment
Straight Talk: Extrusion Trauma and a Root Fracture
 
Straight Talk: Extrusion Trauma and a Root Fracture
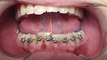
Figs. 5-6: One-week follow-up showing early alignment after placement of brackets and light NiTi wire.
Straight Talk: Extrusion Trauma and a Root Fracture
 
Straight Talk: Extrusion Trauma and a Root Fracture
Figs. 7-8: Two-week follow-up with continued improvement in positioning and stabilization.
Straight Talk: Extrusion Trauma and a Root Fracture
 


Key considerations
The discussion highlighted several key principles for managing cases like this:
  • Gentle forces: When repositioning traumatized teeth, light orthodontic mechanics are safer than attempting manual realignment once initial healing has begun.
  • Splinting: Flexible stabilization, first with a passive archwire, later with a bonded retainer, supports periodontal healing without creating rigidity that could impair recovery.
  • Interdisciplinary care: Early involvement of endodontists (and periodontists when indicated) provides a broader safety net for monitoring vitality, root development, and surrounding tissues.
  • Long-term follow-up: Even when initial results appear promising, these cases must be tracked for years to identify late complications such as ankylosis, root resorption, or pulp necrosis.

Conclusion
This case demonstrates how orthodontic mechanics can be adapted to manage acute dental trauma, even years after active treatment has been completed. By drawing on collective experience, the orthodontic community reinforced a treatment approach that balanced gentle realignment, splinting, interdisciplinary referrals, and long-term monitoring.

For orthodontists, the takeaway is clear: while trauma cases can be unpredictable, careful, conservative intervention, combined with collaboration across specialties, offers patients the best chance of maintaining both form and function in injured teeth.


Join the Conversation!


Sponsors
Townie® Poll
What percentage of your treatments involve traditional ortho (brackets, wires, etc.)?


  
The Orthotown Team, Farran Media Support
Phone: +1-480-445-9710
Email: support@orthotown.com
©2025 Orthotown, a division of Farran Media • All Rights Reserved
9633 S. 48th Street Suite 200 • Phoenix, AZ 85044 • Phone:+1-480-598-0001 • Fax:+1-480-598-3450