We are aware of an issue preventing most videos from displaying and are working to fix it. Thank you for your patience.

The Power of Anterior-Posterior Control with Clear Aligners by Dr. Mike DePascale

The Power of Anterior-Posterior Control with Clear Aligners


by Dr. Mike DePascale


Saddle up: Today I invite you to continue a seemingly endless debate: Do we really have control of teeth with plastic? Can we actually accomplish the same things with clear aligners as we can with braces? Can we maybe even move teeth in ways that braces can’t? Did I just get some people excited and make others mad? Yes, yes, yes, and probably yes. Glad I have your attention! Let’s talk about what aligners can do, what they’re really good at, and what they’re not.

Allow me to preface this piece by saying that 70% of our patients are treated with fixed appliances, so please keep in mind as we go on this journey that in absolutely no way am I bashing the metal mouth militia. We love braces. We use Damon brackets and we transform many smiles beautifully with them. That being said, I’m going to highlight what can be achieved with clear aligner therapy. I use Spark clear aligners in my practice because I believe they are what works best (song for another time, folks…stay calm), but what I want to cover are specific mechanical principles that can be applied broadly through all systems. For years, we have been told that aligners can’t move teeth effectively or are inefficient in their movement. I intend to change that. Read on if you don’t believe me.


Why anterior-posterior control matters
Anterior-posterior control in correcting malocclusions is critical to orthodontic success. In our office, we do our best to keep all the permanent dentition, and that means we have to find ways to shift what is already there to obtain the best result. Yes, I avoid extractions. No, I am not an orthodontist who never extracts teeth no matter what, but I digress. There are many advantages to aligners that braces simply cannot provide. In the interest of staying engaged with the topic at hand, I will focus solely on how aligners can both distalize and mesialize the dentition. Whether or not you feel my methods are appropriate to apply for each individual patient is, of course, dependent on many factors and your own treatment-planning goals and decisions. This will provide you with the tools to confidently make that judgment yourself, as well as highlight why I chose them for the examples that you will see.


Case study 1
Let’s jump in. Meet patient A—an amazing young woman who deserves a smile that matches her personality and her overall beauty (Figs. 1a–b). She came to us after seeing several other orthodontists who recommended extractions with braces and/or some type of expander. It was not my contention that these were wrong, but she did not want to pursue either option and almost decided against treatment altogether. After hearing great things about us from a friend, she sought out our office to see if there was any other method we could offer.
The Power of Anterior-Posterior Control with Clear Aligners
Fig. 1a
The Power of Anterior-Posterior Control with Clear Aligners
Fig. 1b


I’ll pause here to mention two important things. First, I was unaware of the other opinions when I initially saw her. Second, I actually think this is a great case for extracting a lower incisor. The challenge, though, is that she will only let you use aligners and she will not let you take any teeth out, including her wisdom teeth! I know there are people out there who would say they can’t treat her because I’ve heard it before, and in this case, I would not fault you for that. However, that is not how I choose to practice. My goal is to be able to provide patients with an experience and result they desire in the way they want to do it. If you’re someone who wants to have more tools in your toolbox, you’re in the right place. We can distalize the lower arch in a case like hers, and although I would have loved to remove her lower wisdom teeth to do so, it’s still possible with them there.

My general distalization protocol is as follows:
  • Distalize one tooth every four to five aligners.
  • Never move more than three teeth at one time, but you can treat canine to canine as one tooth and move them en masse. This means that you distalize the 7 first, then 6, then 5. Once the 7 is fully distalized, the 4 starts moving. Once the 6 is finished, 3–3 follow and the spaces are closed.
  • 3–4 mm HRA on all teeth distalizing.
  • Support the movement with 1/4” to 5/16” and 3.5–6 oz elastics. These are worn full-time from aligner one. The strength depends on several factors, including amount of distillation, type of elastic attachment being used, crowding, missing teeth, and some other factors for each individual’s needs. Often, I am using 3.5–4.5 oz (Penguin or Bear if you’re into Ormco elastics).
For patients who have excess overjet, this rarely changes, although the attachment design may vary based on other required movements on specific teeth. For patients who have negative overjet, I alter a few very critical things. You want to take advantage of the likely mesially inclined lower molar(s). Rather than distalize bodily from the beginning, which creates too much resistance in the bone and unseating of aligners, I apply a force that creates distal crown tip first, then apply bodily movement to whatever remaining Class III correction is necessary. That is exactly how I would word it to a technician until your digital protocols are built out as well. As an aside, for Spark users, the StageRx tool is especially helpful for developing systems like this.

The distal crown tip is much more predictable than trying to push a 10- to 30-degree angulated root through the mandible. It also positions the lower molars in a healthier, stable upright position to receive occlusal forces. Importantly, if you apply only the distal crown tip first, the molars will inevitably extrude slightly and potentially create an anterior open bite. To mitigate this, you must intrude the molars during the distal crown tip application. There is no specific degree or amount for this movement. I treat these on a case-by-case basis depending on many factors, including existing overbite, degree of distalization, age, and others. Use your judgment, but you don’t need a ton of overcorrection here (Fig. 2).
The Power of Anterior-Posterior Control with Clear Aligners
Fig. 2

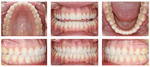
The rest of this is simply applying protocols as you normally would to control posterior crown tip and torque, incisor rotation, and final tooth position. Patient A’s case turned out beautifully in just 16 months (Figs. 3 and 4). One thing that stands out to me that I don’t love is her current third molar position, which is now further into the ramus of the mandible (Fig. 5). Of course, that is not where I want them, but it’s undoubtedly a better overall position than before treatment (and remember I told her to get rid of them). That’s simply where they needed to go with the constraints. I know there will be those who disagree with leaving them in the new position, but I strive to always look at the bigger picture of the person who lives with these teeth. I don’t think not treating her was a better option. She has a beautiful smile, a new aura, and a healthier mouth. If you don’t have these tools, someone like her may simply walk away and never have the chance to live the confident, full life she now can. This is how we help the world smile more.
The Power of Anterior-Posterior Control with Clear Aligners
Fig. 3
The Power of Anterior-Posterior Control with Clear Aligners
Fig. 4
The Power of Anterior-Posterior Control with Clear Aligners
Fig. 5


Case study 2
Let’s look at one more patient—patient B, a wonderful young man aspiring to be an esteemed actor who is keen on paving his way to professional success (Fig. 6). Patient B travels back and forth between his primary home in southeastern Connecticut and his job in Los Angeles to pursue his dream. As you can imagine, a negative 4 mm overjet is a less-than-ideal presentation for him. He would love to have a smile that fits his glowing personality and helps, rather than detracts from, his life goals. However, although we discussed all of the options, anything involving extractions and/or surgical correction could significantly impede his forward momentum because of aesthetic, functional, and logistical challenges, as well a myriad of variables involved with all of those options.
The Power of Anterior-Posterior Control with Clear Aligners
Fig. 6

So, what do you do? Do you tell him he has to live like that, or do you find a way to help him live a truly fulfilled life? This is a perfect situation for clear aligners and elastics. They eliminate all of the aforementioned challenges and allow him to continue his lifestyle just as before. We can sequentially distalize the lower arch, supported by Class III elastics, and obtain positive overjet in the same way described above.

While patient A’s treatment turned out to be very straightforward, patient B’s case was different in a number of ways. His demanding lifestyle and work schedule proved to be too much initially for aligners, but he was committed to a successful journey, partly because braces simply were not a reasonable option for someone like him. Although it is rare that I run into this, as predictable as aligner mechanics can be (see space opening in Figure 7), he was one of the few patients where lower distalization was not quite enough to bring him home (Fig. 8).
The Power of Anterior-Posterior Control with Clear Aligners
Fig. 7
The Power of Anterior-Posterior Control with Clear Aligners
Fig. 8

The power of clear aligners shows itself yet again because I was able to slightly mesialize the upper arch sequentially, just as you would in the opposite direction. I use the same protocol as above but plan it in reverse order (mesialize 3–3, then 4s, then 5s, etc.). The Class III elastics still support that movement.

I used 6 oz elastics for patient B because I had observed his teeth moving inadequately in the past and was confident there would be no untoward side effects from the elastics, which there were not. Typically, I do not recommend going to 6 oz strength as this can cause unseating of the aligner or flaring of the incisors. However, the aligners mitigate the latter effect significantly, so use your judgment and select elastics strength as you see fit. Once I applied these mechanics, both the lower arch was distalizing and upper arch mesializing, allowing us to establish a functional Class I occlusion—once again using only clear aligners and elastics (Figs. 9a–b). No gimmicks. No auxiliary appliances. Nothing fancy at all. Just a great system, great materials, and a great patient.
The Power of Anterior-Posterior Control with Clear Aligners
Fig. 9a
The Power of Anterior-Posterior Control with Clear Aligners
Fig. 9b


As you can see, this is another great result. His bite will settle in beautifully in just a few months of night time retainer wear. Patient B is absolutely thrilled and so am I (Fig. 10). In fact, he came in to see us shortly after he finished to check on his retainer and was extremely excited to show me his most recent headshot. In his words, “This is the first time in my life I’ve actually smiled in a headshot and it’s all thanks to you” (Fig. 11). Honestly, what better compliment can you get as an orthodontist than that? This, folks, is exactly why we do what we do!
The Power of Anterior-Posterior Control with Clear Aligners
Fig. 10
The Power of Anterior-Posterior Control with Clear Aligners
Fig. 11


Final thoughts
These are two of many examples of what aligner treatment can provide for our patients. Here’s the real point: staging—how teeth get from one place to another—is where the magic lies in every patient and every situation with aligner therapy. This is where you should spend most of your time learning and this is where most people miss the mark.

I am not saying your choice of appliances is wrong. There are so many ways to do what we do. If you are happy with your current distalizing appliance, by all means, go for it. I am simply giving you a method to treat patients conveniently, comfortably, and effectively using only clear aligners and elastics. I’m also offering a way to meet patients where they are. Even when it may seem like the “best” option, many of our patients don’t want surgery or MARPE or the myriad of additional things we think of as clinicians. Others may not have the means to comply. We have to recognize that. I am not saying we should recommend treatment that is not safe or reasonable, but I do believe we’ve got to find a way to align with our patients.

This is something I’ve always been passionate about and I think it’s critical to delivering an amazing customer service experience on top of the results we all strive to provide. I’ll leave it up to you to decide when to tell someone they need teeth removed, or need an appliance, or a [fill in the blank]. But if you’re like me—or want to be like me (orthodontically, of course!)—you like to keep things simple and you want to treat complex situations by doing more with less, then let this be your first step in that direction. Remember to keep pushing your boundaries and keep the patient’s goals and desires at the forefront of your clinical decisions.

As always … do more, be more, smile more.

Author Bio
Dr. Mike DePascale Dr. Mike DePascale, New Jersey native, received his orthodontic master’s degree at the University of Maryland in Baltimore. In 2017, he joined the team at Kozlowski Orthodontics, a practice that matched his dedication to high-quality treatment, innovation, efficiency, and education. When DePascale is not in the office, you can find him in his garage gym or coaching CrossFit at a local gym, where he puts to use his passion for personal growth, leadership, and commitment to others. He believes in pushing boundaries, doing what you love and sharing that with the world.



Sponsors
The Orthotown Team, Farran Media Support
Phone: +1-480-445-9710
Email: support@orthotown.com
©2026 Orthotown, a division of Farran Media • All Rights Reserved
9633 S. 48th Street Suite 200 • Phoenix, AZ 85044 • Phone:+1-480-598-0001 • Fax:+1-480-598-3450