We are aware of an issue preventing most videos from displaying and are working to fix it. Thank you for your patience.

Will It Come Down on Its Own?

Will It Come Down on Its Own?
Straight Talk draws its cases and discussions from the Orthotown message boards. Written by the editorial team with the assistance of AI, each article showcases how orthodontists tackle unusual and challenging scenarios.
Ectopic canines always seem to test an orthodontist’s judgment and patience. When a maxillary canine goes rogue, the question becomes: Will extraction of the primary tooth be enough to encourage eruption, or is surgical exposure inevitable?

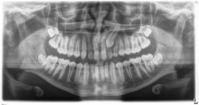
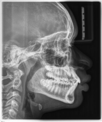
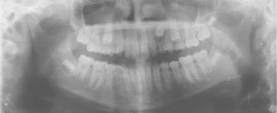
One case posted to the community involved a 13-year-old with a lingually displaced UL3 and plans for full braces, extraction of the primary ULc, and possible exposure and ligation (Figs. 1–5). The treating orthodontist asked: How likely is this canine to correct on its own after extraction?

Will It Come Down on Its Own?
Fig. 1
Will It Come Down on Its Own?
Fig. 2
Will It Come Down on Its Own?
Fig. 3
Will It Come Down on Its Own?
Fig. 4
Will It Come Down on Its Own?
Fig. 5


Most responders agreed the odds were slim. When root formation is complete and the canine has crossed more than half the root of the lateral, spontaneous correction is rare. Several Townies cited Kurol’s data, noting that while a 10-year-old might have a 70–90% chance of natural eruption, a nearly 14-year-old with full overlap is far less likely to self-correct. The general consensus is to plan for exposure and bonding.

Others emphasized the importance of space management and timing. Without at least one-and-a-half times the canine’s width of space before surgery, even a perfect exposure can fail. Experienced clinicians recommended waiting to extract the primary until the space is fully opened, then performing the exposure and bonding in the same appointment.

Surgical coordination was another recurring theme. Several orthodontists stressed the value of communicating detailed instructions to the surgeon, or better yet, working with a periodontist who’s comfortable with precise crown exposures and careful handling of cementum. A few even shared their preferred step-by-step protocols for uncovering the tooth and initiating traction immediately post-op.

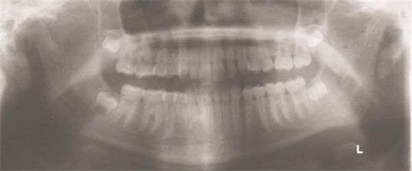
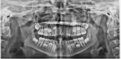
Still, one contributor reminded colleagues not to rule out nature entirely. They posted a case (Figs. 6–9) where an ectopic UL3, initially “the scariest” they’d seen, erupted spontaneously two years after the extraction of the primary canine, with no surgical or orthodontic intervention. “No voodoo,” they joked, “but plenty of hand-wringing.”

Will It Come Down on Its Own?
Fig. 6
Will It Come Down on Its Own?
Fig. 7
Will It Come Down on Its Own?
Fig. 8
Will It Come Down on Its Own?
Fig. 9

In the end, the community agreed that every case needs a balance of patience and prudence. Early intervention can save years of frustration, but so can knowing when to simply wait and watch.

How do you decide when to expose versus observe an ectopic canine in your practice?

Join the Conversation!


Sponsors
The Orthotown Team, Farran Media Support
Phone: +1-480-445-9710
Email: support@orthotown.com
©2026 Orthotown, a division of Farran Media • All Rights Reserved
9633 S. 48th Street Suite 200 • Phoenix, AZ 85044 • Phone:+1-480-598-0001 • Fax:+1-480-598-3450