Managing a Simple Anterior Crossbite

Managing a Simple Anterior Crossbite
Straight Talk draws its cases and discussions from the Orthotown message boards. Written by the editorial team with the assistance of AI, each article showcases how orthodontists tackle unusual and challenging scenarios.
Treating a simple anterior crossbite may require varying levels of intervention, depending on the patient and clinical goals. In a recent Orthotown message board discussion, orthodontists shared their perspectives on the continued use of tongue blade therapy and alternative approaches.

The original question asked whether clinicians were still using a tongue blade to correct a single-tooth anterior crossbite and what instructions they provided to patients and parents. One contributor shared a detailed protocol, instructing patients to place the tongue blade vertically and bite down to wedge it between the upper and lower incisors, applying gentle, constant force below the pain threshold for several hours each day. Once the upper incisor moved forward, the patient was told to wedge the lower incisors behind it. In that doctor’s experience, only about one in eight patients followed through long enough to succeed, and a three-month deadline was set before moving on to a removable appliance with a finger spring.

Others echoed the concern about predictability. Several orthodontists noted that, while a tongue blade can be effective in carefully selected cases, the lack of tooth control and the heavy reliance on patient compliance make it a less desirable option. Without close follow-up, there is also a risk of unwanted tooth movement, which could further complicate the bite. For these reasons, many favored a removable appliance with a finger spring as a more controlled and reliable solution when the rest of the occlusion is within normal limits.

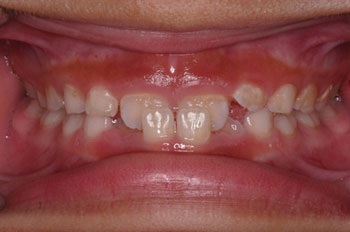
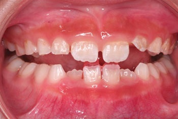
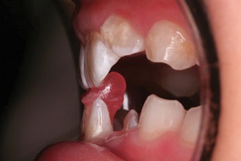
Another contributor described what they referred to as the “Popsicle stick” technique, acknowledging that it can work but rarely does because most patients simply do not use it for enough time. To reduce dependence on compliance, they may offer bonded bite ramps instead, sometimes in combination with limited braces (Figs. 1–4). In straightforward anterior crossbite cases, correction can occur in a matter of weeks. When braces are added, they may be left on longer to improve torque and stability.
Managing a Simple Anterior Crossbite
Fig. 1
Managing a Simple Anterior Crossbite
Fig. 2
Managing a Simple Anterior Crossbite
Fig. 3
Managing a Simple Anterior Crossbite
Fig. 4

Not everyone was convinced the tongue blade was worth attempting at all. One orthodontist reported that early in their career, they repeatedly tried the method but never saw it succeed. Their conclusion was blunt: kids just are not going to do it for more than a few days.

A more creative take came from a clinician who tied compliance to screen time. They instructed children to wedge the tongue blade during every television commercial, which typically lasts two to four minutes and occurs multiple times per hour. Parents were told their child could watch as much TV as they wanted for a week, provided the rules were followed. Using this approach, the doctor reported a 50 percent success rate, with a plan to switch to alternative treatments if no progress was observed within a week.

The discussion eventually shifted to the bite ramp technique, including questions about fees. One orthodontist emphasized that they never charged for tongue blade therapy, viewing the goodwill generated as far more valuable than the cost of materials and chair time. In their view, parents appreciated the conservative approach, and patients who were unsuccessful often returned for more comprehensive treatment. Others clarified that while Popsicle stick therapy was typically offered at no charge, bonded ramps or limited braces were billed on a case-by-case basis, depending on complexity and anticipated duration.

The thread highlights a range of philosophies, from trying the simplest possible solution first to bypassing compliance-heavy methods altogether in favor of faster, more predictable mechanics. It also underscores how something as basic as a tongue blade can still prompt meaningful discussion about efficiency, control, and patient behavior.

When managing a single-tooth anterior crossbite, is it worth starting with a simple, compliance-dependent fix, or does a more controlled approach offer greater predictability from day one? 

Join the Conversation!


Sponsors
Townie® Poll
Which emerging technology do you think will have the biggest impact on practice efficiency in the next 5 years?
  
The Orthotown Team, Farran Media Support
Phone: +1-480-445-9710
Email: support@orthotown.com
©2026 Orthotown, a division of Farran Media • All Rights Reserved
9633 S. 48th Street Suite 200 • Phoenix, AZ 85044 • Phone:+1-480-598-0001 • Fax:+1-480-598-3450