
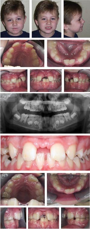
On July 10, 2008, I examined a six-year-old autistic
patient that was referred by his pediatric dentist for evaluation of
a large diastema between the upper central incisors. The unsightly
space between the centrals was exaggerated by a previous medical
intervention during a tonsillectomy. The ENT physician informed
the parents that during the tonsillectomy he assisted the dental
issue of the diastema by doing a "frenectomy." Figures 1a and 1b
show the condition that existed at the initial examination.
Notice that the interdental papilla, which is normally there
(Fig. 2), was now absent after the "frenectomy."
I discussed the upper central diastema issue with the parents
and they commented that he was very aware of the looks of his
teeth and he didn't like them. We considered fixed appliances
but mom was concerned that he might not adjust to the "hardware"
and the irritation of fixed appliance treatment. I suggested
that we consider Invisalign to correct the diastema. This option
was attractive to the parents but his acceptance of Invisalign
treatment and the ability to comply with the treatment as
required was still in question.
We decided to make an Essix appliance as a "test aligner" to
evaluate how he would accommodate wearing a removable plastic
appliance (Fig. 3).
We inserted the "test aligner" on July 17, 2008 and reappointed
him in 30 days. Two weeks after delivering the Essix
appliance, the patient was back in the office and the appliance
was severely distorted. Mom said he tended to chew on it a lot.
We made a second "test aligner" and saw him again in two
weeks. This time the Essix appliance was fitting well enough and
he had adjusted to it well enough to go forward with Invisalign
PVS impressions. We had his pediatric dentist use light nitrous
sedation for the impression appointment (Figs. 4a-4c) and we
were successful in obtaining good quality impressions.
The ClinCheck for this case showed good correction of the
upper centrals in 26 stages. Increments were 0.15mm/stage.
(Figs. 5a-5b).

We delivered the first three Invisalign aligners on October
1, 2008, and instructed mom that he was to change the aligners
every 10 days. At the next appointment mom stated that
the aligners got very loose toward the end of the 10-day interval
and it was decided that changing every seven days would
be advisable.
The treatment ended on April 7, 2009 (Fig. 6).
There was still a small open contact between the centrals, so
new PVS impressions were made in our clinic (no sedation
required now) and refinement aligners were ordered and delivered
on May 7, 2009 (five stages). Refinement was complete by
June 11, 2009 (Fig. 7).
In November, the upper lateral incisors were beginning to
erupt. An additional refinement was done (Fig. 8). This refinement
used the Invisalign Teen ClinCheck, which provided eruption
pockets in the refinement aligners to guide the laterals into
position (eight aligners). On December 17, 2009, all the aligners were delivered at one time to mom with instructions to change
them every seven days. The second refinement was finished in eight
weeks. The patient was seen on April 1, 2010, with all four upper
incisors in good alignment (Fig. 9).
Discussion
This treatment regimen challenged several accepted principles.
First, the application of Invisalign treatment to a very young patient
(under age 8). As far as I know, this is way outside the box of conventional
thinking for Invisalign treatment. However, when reviewed in
light of the patient's special needs, it is a very logical application of
treatment. Second, the success of this treatment speaks volumes for
the versatility of Invisalign as an option in the diagnosis and treatment
of special-needs patients, specifically patients with autism.
Third, the staging of the ClinCheck enabled the aligners to be
changed weekly instead of every 14 days. This proved to be a benefit
in forming a "habit pattern" that was embraced by this autistic
patient. His mother told me that, early on in the treatment he looked
forward to the day (each week) when he got his "new brace" for his
teeth. Fourth, he adapted quickly to our office environment and
became very manageable (without sedation) for taking impressions
and adding or removing attachments.
The Invisalign Teen treatment program was an advantage in continuing
a second phase of treatment by providing "pockets" to guide
the developing upper lateral incisors into place as they were erupting.
Conclusions
This special-needs patient was successfully treated with the
Invisalign System even though he was not in the conventional age
group for typical Invisalign candidates. His mother testifies that the
success of this treatment produced a significant positive effect on his
personality development and self-assurance, saying, "He smiles a lot!"
This is the first of several other special-needs patients that are in
treatment with Invisalign, one of which is seven years old and another
age 15. I hope that this will open awareness of an application for orthodontic
treatment for patients younger than the previously conventional
12-year-old base age and for special-needs patients at any age.
To view the mother's interview about his treatment, go to: www.youtube.com/user/DrRandolWomack |