Going Digital by Dr. Christian Kenworthy

Dentaltown Magazine

A step-by-step look at how to speed up treatment with a completely digital setup


by Dr. Christian R. Kenworthy


he goal of accurate bracket

placement is to increase the efficiency of orthodontic treatment. While there are many advantages to

having a fully digital orthodontic office, none of them increases efficiency and reduces treatment time more than accurately placing brackets using a digitally designed bonding jig. With this process, you can correct the malocclusion in relation to the whole tooth, instead of placing brackets based on a measurement from the incisal edge of the tooth.

This system uses the advantages of digital manipulation software to create a bracket placement guide against which flash-free brackets are bonded directly to the teeth. An arch can be bonded in less than four minutes with no flash to clean up. In fact, it takes me longer to explain the process to patients than it does to place and cure the brackets.

Here are the tools I use:

• Trios 3Shape scanner
• Orchestrate 3D software
• Juell 3D-2 printer
• Orchestrate 3D resin
• Clear Splint Biocryl 0.75mm
• 3M Clarity Advanced Ceramic Brackets precoated with 3M APC Flash-Free Adhesive

As with all orthodontic procedures, complete and accurate records are essential. They aid not only your diagnosis but also the development of your treatment plan. All my new patients get a 3D scan, photos and an ultra-low-dose CBCT that I discuss with them during their first exam. Once they decide to initiate orthodontics with fixed orthodontic appliances, we can design their bracket placement.

I trained using only indirect bonding in my residency program. This system allowed for less chair time at the bonding appointment. On bonding day, the trays were retrieved and glue placed on the brackets. The teeth were prepared, the tray was fit, the glue was cured and then the indirect tray was removed. Hopefully there were no brackets (that didn’t adhere to the tooth) left in the tray, so the orthodontist could see the next patient. Then, the assistant spent the next 30 minutes finding and removing flash from around the brackets and between the teeth. This uncomfortable patient procedure was unacceptable to me.

To avoid this long and uncomfortable patient experience, I placed brackets directly for the first several years of my practice. This process eliminated the flash cleanup problem because the flash is more easily controlled one bracket at a time. However, it’s often difficult to maintain a dry field for the duration of placing and positioning brackets. The banding appointment also required more of my time and more of the patient’s time in lip stretchers.

With both of these systems, however, the rest of the orthodontic process was very similar because the brackets were placed relative to the incisal edge of the teeth instead of in relation to a final treatment goal. Adjustments to correct an occlusal cant, a gingival margin discrepancy or a premature occlusal contact were made along the way by either repositioning the bracket or bending the archwire.

With the advent of 3D manipulating software, such as Orchestrate 3D, these problems can be avoided.

Professional Courtesy
Fig. 1

Professional Courtesy
Fig. 2

Professional Courtesy
Fig. 3

Professional Courtesy
Fig. 4

Professional Courtesy
Fig. 5

Professional Courtesy
Fig. 6

A digital setup for a rapid finish
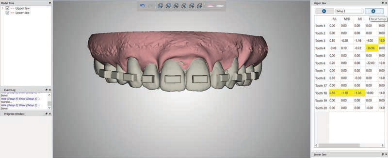
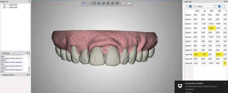
Now that you have a shopping list and some background, let me walk you through the steps. I begin by positioning the central incisors relative to the face and smile in the software (Fig. 1, p. 35). This is what the patient will focus on and it allows me to have a landmark for the setup. I use the photos to determine the ideal position and the CBCT to ensure that the ideal placement is biologically feasible, then I correct the malocclusion in the software (Figs. 2 and 3, p. 35). I can align marginal ridges regardless of incisal wear and place the opposing cusps in the fossa. I make sure that my canines are symmetrically rotated and torqued. I do the same for my laterals and centrals—deciding whether to align the incisal edges or gingival zenith. I determine how much overbite and overjet are ideal for each tooth. On a patient with a Bolton’s discrepancy I can measure the amount of space I will leave for buildups or the amount of interproximal reduction required. This takes 3–5 minutes on the computer.

Once I am satisfied with the final occlusion, I can communicate this treatment goal to the patient and the patient’s dentist. Then, I place the brackets, one of the keys to the accuracy. You don’t place brackets until after the teeth are in the correct positions. At this point, you could decide which measurement, from your bracket positioning training, should be the most important. I again choose the central incisors as the starting point. On average, I pencil in my first bracket at 4.5mm from the incisal edge of the centrals. Then, I place the remaining brackets in line with that bracket (Fig. 4). No measuring, no second-guessing, just place them in a straight line because that’s where you design your final wire to fit without bends.

Once the bracket bases are positioned, I allow the software to return the teeth to their maloccluded positions and print them (Figs. 5 and 6). A vacuform tray is formed over the teeth, and the bracket bases and their spaces are removed from the tray.

On banding day the patient’s teeth are cleaned, etched and primed, and the jig is placed (Fig. 7). It will snap into place much like a clear retainer. Then, to avoid flash and the risk of bonding a bracket base to the thermoplastic jig, I place Clarity Advanced brackets precoated with APC Flash-Free Adhesive into the guide I designed in the software and light-cure (Fig.?8). The trays, lip stretchers and dry angles are removed, and the patient is allowed to rinse. There is no flash and no risk of the tray removing a bracket. This whole procedure takes about 4 minutes for a single arch and about 6 minutes for both.

This digitally designed bracket placement guide technique allows for better communication with the patient and referring dentists about the goals and limitations of treatment. This technique also reduces the chair time for the orthodontist, the staff and the patient. In terms of efficiency, however, I also appreciate significantly reduced frequency of appointments, wire bends and treatment time.

Professional Courtesy
Fig. 7
Professional Courtesy
Fig. 8
Author Bio
Author Dr. Christian R. Kenworthy attended Brigham Young University for his undergraduate education. He received his DDS degree from the University of California San Francisco, and practiced general dentistry in Montana before going back to obtain three years of specialty training, an orthodontic certificate and a master’s degree in orthodontic treatment from the Mayo Graduate School in Medicine. Besides being familiar with current and advanced orthodontic techniques, Kenworthy has published numerous articles in scientific literature, including the Journal of Orofacial Pain, the Journal of Prosthetic Dentistry, the European Journal of Orthodontics and the American Journal of Orthodontics and Dentofacial Orthopedics. He has also presented his research at scientific meetings in the U.S., Canada and Europe. He is an active member of the American Association of Orthodontists, the American Dental Association and the Montana Dental Association, and has served as president of the Montana 3rd District Dental Society. Kenworthy has published poetry, coached semiprofessional baseball, written a few novels and led Boy Scout troops. He, his wife and their five boys enjoy fishing, hiking, four-wheeling, camping, skiing and any other outdoor activity that western Montana has to offer.
 
Sponsors
Townie® Poll
Which emerging technology do you think will have the biggest impact on practice efficiency in the next 5 years?
  
The Orthotown Team, Farran Media Support
Phone: +1-480-445-9710
Email: support@orthotown.com
©2026 Orthotown, a division of Farran Media • All Rights Reserved
9633 S. 48th Street Suite 200 • Phoenix, AZ 85044 • Phone:+1-480-598-0001 • Fax:+1-480-598-3450