Earned Placement: It’s About Time by Dr. Robert “Tito” Norris

Earned Placement: It’s About Time 

by Dr. Robert “Tito” Norris


As orthodontists, we all want to create excellent smiles for our patients. We want to create beautiful, harmonious smiles that have exceptional aesthetics and function because, after all, our patients essentially walk around flashing our signatures wherever they go and we all want our patients to love their smiles. Furthermore, we want dentists—or hygienists, or any other dental professionals who look inside a patient’s mouth—to say, “Wow, this orthodontist did an amazing job!” Perhaps that’s why finished cases assessed under the American Board of Orthodontics (ABO) standards take an average of 24.6 months and 20 appointments to complete.1,2

However, time is becoming increasingly valuable to patients, who really appreciate anything we can do as orthodontic professionals to complete their treatment in fewer appointments.

Let’s consider the events that need to occur for an orthodontic appointment to transpire:
  • An appointment needs to be created that is mutually convenient.
  • A parent often must take off time from work, take a child out of school and bring them to an appointment.
  • Then the patient needs to check in at the orthodontic office, wait in the reception room and be transported to a treatment chair, where they wait for a doctor to plan their next treatment direction.
  • Then, the team works on the execution of that decision.
  • There are oral hygiene instructions, motivational speeches and elastic-wear guidance.
  • There are instruments to sterilize and a chair to disinfect after every appointment.
It’s a lot! Furthermore, let’s consider the fact that more appointments equate to longer treatment times, and thus are often associated with iatrogenesis such as root resorption, white spot lesions, carious lesions and gingival inflammation.3 In fact, longer-than-expected treatment time is one of the major causes of patient dissatisfaction.4 There is also the issue of profitability within the practice, which wanes with each additional appointment.


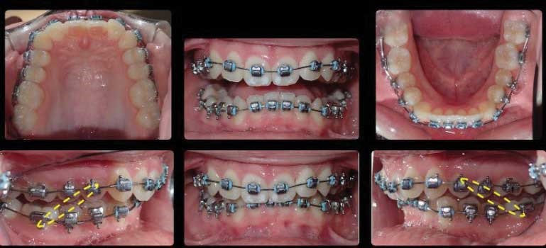
Precise finishing
Therefore, I implore my orthodontic colleagues to consider anything and everything that might decrease treatment times and, perhaps more importantly, the number of appointments required to achieve orthodontic finishing excellence. When we consider the three phases of orthodontic treatment— leveling and aligning, working and finishing— it’s typically not the leveling and aligning phase that takes much time and effort. Using light NiTi wires, most patients can be levelled and aligned within six months, or three or four appointments. And the working phase is often combined with the alignment phase via the use of early light elastics.

Usually, the finishing phase takes the most time, attention and adjustments. This is often because of inaccurate bracket positions and “slop,” or excessive play between the wire and the bracket slot. More than 80% of orthodontists in the world use an 0.022-inch bracket slot, yet less than 1% of orthodontic archwire sold is “full-sized,” or 0.021 by 0.025 inches in dimension. Therefore, most doctors are using a wire that does not fully express the bracket prescription, which leads to variation in all three planes of space: torque, tip and rotation.

The Norris 20/26 System was created to resolve this issue by shrinking the slot of the bracket to an accurate 0.020-by-0.026-inch dimension, which interplays more precisely with an 0.019-by-0.025-inch orthodontic archwire, offering more control in all three planes of space during the working and finishing stages of treatment. After completing more than 200 teen cases with the Norris 20/26 System in our office, the average number of appointments is 10, which is a 50% reduction over published average treatment times.1,2

Case study

Earned Placement: It’s About Time
 
Earned Placement: It’s About Time
 
Earned Placement: It’s About Time
 
Figs. 1-3
Earned Placement: It’s About Time
Fig.4
Earned Placement: It’s About Time
Fig.5

Earned Placement: It’s About Time
Fig.6
Earned Placement: It’s About Time
Fig.7
Earned Placement: It’s About Time
Fig.8

Earned Placement: It’s About Time
 
Earned Placement: It’s About Time
 
Earned Placement: It’s About Time
 
Figs.9-11


References
1. Aljehani D, Baeshen HA. “Effectiveness of the American Board of Orthodontics Discrepancy Index in Predicting Treatment Time.” J Contemp Dent Pract. 2018; 19(6):647–650.
2. Papageorgiou SN, Hochli D, Eliades T. “Outcomes of Comprehensive Fixed Appliance Orthodontic Treatment Asystematic Review With Meta-Analysis and Methodological Overview.” Korean J Orthod. 2017; 47(6):401–413.
3. Pinto AS, Alves LS, Maltz M, Susin C, Zenkner JEA. “Does the Duration of Fixed Orthodontic Treatment Affect Caries Activity Among Adolescents and Young Adults?” Caries Res. 2018; 52(6):463–467.
4. Pacheco-Pereira C, Pereira JR, Dick BD, Perez A, Flores-Mir C. “Factors Associated With Patient and Parent Satisfaction After Orthodontic Treatment: A Systematic Review.” Am J Orthod Dentofacial Orthop. 2015; 148(4):652–659.

Author Bio
Dr. Robert “Tito” Norris Dr. Robert “Tito” Norris graduated from the University of Texas Health Science Center at San Antonio School of Dentistry, then completed a residency at the VA Medical Center in Washington, D.C., and orthodontic specialty training at Howard University. After serving as a U.S. Air Force orthodontist, Norris returned to San Antonio and opened a private orthodontic practice. He holds several patents and trademarks, and is the inventor of the Norris 20/26 Passive Self-Ligating Bracket System.
Norris is board-certified by the American Board of Orthodontics, and is a member of 10 dental organizations and study clubs. He lectures internationally on topics including efficiency, sustainability, customer service and aligner treatment


Sponsors
Townie® Poll
Which emerging technology do you think will have the biggest impact on practice efficiency in the next 5 years?



  
The Orthotown Team, Farran Media Support
Phone: +1-480-445-9710
Email: support@orthotown.com
©2026 Orthotown, a division of Farran Media • All Rights Reserved
9633 S. 48th Street Suite 200 • Phoenix, AZ 85044 • Phone:+1-480-598-0001 • Fax:+1-480-598-3450