Townie Treatment Case: On the Flip Side by Dr. Bilal Koleilat

Categories: Orthodontics;
Townie Treatment Case: On the Flip Side 

Treating a Class III patient with self-ligating braces flipped 180 degrees, elastics and buccal shelf TADs


by Dr. Bilal Koleilat


The treatment of Class III dentoskeletal malocclusions can be divided into three categories: growth modification; camouflage treatment after cessation of growth; and orthognathic surgery for severe facial discrepancies. One common point among the three categories is the lack of maxillary anterior teeth display, resulting in an unattractive smile and patient dissatisfaction.1

Diagnosis

A 25-year-old patient with skeletal and dental Class III presented with the chief complaints that his upper teeth didn’t show enough when he smiled and he didn’t like how his cuspids stuck out.

The extraoral examination revealed a concave general and subnasal profile, and a thin and retrusive upper lip, with the lower lip and chin ahead of the upper lip. The intraoral examination revealed an anterior crossbite with negative overbite and overjet; 50% of upper incisors showing upon smile, with retroclination in respect to lower incisors; the cant of smile line with canines sticking out (Figs. 1a–1h); an uneven gingival display during smile in the anterior region, complicated by an uneven gingival architecture around upper anterior teeth and the uneven size of left and right central and lateral maxillary incisors; and moderate maxillary and mandibular crowding (Figs. 1b and 1e).

Radiographically (Fig. 2a and 2b), the patient showed a moderate dolichofacial pattern, with deficient and excessive midfacial length and mandibular body, respectively. All third molars were present.

dentoskeletal-malocclusion
Fig. 1a
dentoskeletal-malocclusion
Fig. 1b
dentoskeletal-malocclusion
Fig. 1c
dentoskeletal-malocclusion
Fig. 1d
dentoskeletal-malocclusion
Fig. 1e
dentoskeletal-malocclusion
Fig. 1f
dentoskeletal-malocclusion
Fig. 1g
dentoskeletal-malocclusion
Fig. 1h
dentoskeletal-malocclusion
Fig. 2a
dentoskeletal-malocclusion
Fig. 2b


Treatment objectives and planning

This case falls into the category of nonsurgical camouflage treatment because of the mild skeletal discrepancy and the mild to moderate space deficiency. Unlocking of the anterior bite along with conventional Class III mechanics was applied, with an emphasis on enhancing smile aesthetics and the display of maxillary anterior teeth.2

The patient was instructed to have all third molars extracted before bonding, so the retromolar space could be used for full lower arch distalization, with the help of temporary anchorage devices (TADs) if needed. Maxillary and mandibular incisor brackets would be flipped 180 degrees to counteract the side effects of Class III mechanics, mainly flaring of the maxillary anterior teeth and retroclination of the lower mandibular anterior teeth.3

Treatment progress

Passive self-ligating braces with 0.0215-by-0.0275-inch slot dimension (Genius, MEM) were directly bonded from 7–7, and 14 thermally activated nickel titanium wires (Thermal Ultra, MEM) were inserted, delivering 25 g for 1.5 mm of wire deflection. Stops were placed on upper and lower wires at midline. Immediate Class III elastics (2.5-ounce, 3/16-inch, worn full time) ran from the upper first molar to lower first bicuspids bilaterally. Disarticulation required light-cure band cement (Bandlock, Reliance Orthodontics) on the palatal cusp of upper second molars (Figs. 3a–3c).

dentoskeletal-malocclusion
Fig. 3a
dentoskeletal-malocclusion
Fig. 3b
dentoskeletal-malocclusion
Fig. 3c


On the third visit, 4½ months into treatment, 0.018-inch thermally activated nickel titanium wires (Thermal Ultra) were engaged in both arches, and two 12-mm TAD microimplants (Abso-Anchor, Dentos) were placed in the distobuccal area of the mandibular buccal shelf of the mandibular second molar (Figs. 4a–4c).4 The initial plan was to place the TADs in the retromolar area; however, nearly five months after the extraction of all third molars and the start of the fixed appliance therapy, the quality of the bone was not adequate to ensure initial stability of the TADs.

dentoskeletal-malocclusion
Fig .4a
dentoskeletal-malocclusion
Fig. 4b
dentoskeletal-malocclusion
Fig. 4c


On the fourth visit, six months into treatment, 0.014-by-0.025- inch thermally activated nickel titanium wires (Thermal Ultra) were inserted in both arches, and full lower-arch distalization was carried out using the buccal shelf TADs.

On the seventh visit, eight months into treatment, 0.018-by-0.025- inch thermally activated nickel titanium wires (Thermal Ultra) were engaged on both arches. The force used to connect the TADs to the lower arch was increased progressively from 100 g per side on round nickel titanium wires to 200 g per side when in rectangular nickel titanium wires (Figs. 5a–5c).

dentoskeletal-malocclusion
Fig. 5a
dentoskeletal-malocclusion
Fig. 5b
dentoskeletal-malocclusion
Fig. 5c


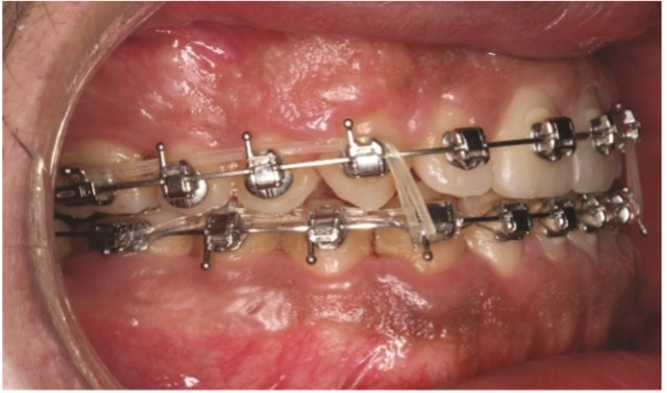
On the eighth visit, 10 months into treatment, a 0.019-by-0.025- inch stainless steel arch form (Europa II Genius) was engaged in the upper arch, with a figure-eight ligature from 3–3, a tieback from 6 to 3 bilaterally, torque expression on anterior teeth, and flipped anterior brackets to resist the flaring effect of the heavy Class III elastics. On the lower arch, a 0.017-by-0.025-inch stainless steel arch form (Europa II Genius) was engaged, with interproximal reduction from mandibular canine to canine to harmonize the contact points and increase the overjet, to allow the negative torque on upper anterior teeth to upright the incisors into a more aesthetic position (Figs. 6a–6c). The patient was instructed to wear Class III elastics (4-ounce, 5/16-inch) at night for the next couple of months to preserve the bite correction, running from upper 6 to upper 3 down to lower 3 (Figs. 7a and 7b).

dentoskeletal-malocclusion
Fig. 6a
dentoskeletal-malocclusion
Fig. 6b
dentoskeletal-malocclusion
Fig. 6c
dentoskeletal-malocclusion
Fig. 7a
dentoskeletal-malocclusion
Fig. 7b


On the 12th visit, 15 months into treatment, an 0.018-by-0.025- inch thermally activated nickel titanium wire (Thermal Ultra) and a 0.017-by-0.025-inch stainless steel archwire (Europa II Genius) were engaged in the upper and lower brackets, respectively. All four maxillary anterior central and lateral incisor brackets were repositioned for a better smile arc, and interproximal reduction from lower canine to canine was performed with energy chain under the brackets to close the spaces with reduced friction. A control panoramic and cephalometric X-ray (Figs. 8a and 8b) were taken at this stage before debonding.

dentoskeletal-malocclusion
Fig. 8a
dentoskeletal-malocclusion
Fig. 8b


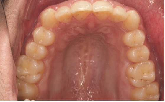
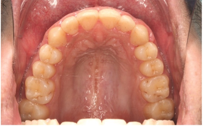
On the 13th visit, 17 months into treatment, upper and lower fixed appliances were debonded, and a lower 3–3 fixed wire retainer (Ortho FlexTech, Reliance) was installed. Soft and hard tissue were contoured, the embrasure touched up and gingiva on upper anterior teeth trimmed. The patient was supplied with polycarbonate retainers for both arches to wear at night (Figs. 9a–9h).

dentoskeletal-malocclusion
Fig. 9a
dentoskeletal-malocclusion
Fig. 9b
dentoskeletal-malocclusion
Fig. 9c
dentoskeletal-malocclusion
Fig. 9d
dentoskeletal-malocclusion
Fig. 9e
dentoskeletal-malocclusion
Fig. 9f
dentoskeletal-malocclusion
Fig. 9g
dentoskeletal-malocclusion
Fig. 9h


Case discussion

The case was completed in 17 months with 13 visits. The use of a reduced-slot passive self-ligating bracket system, with slow, light wire expansion delivering forces around 25–30g, helped achieve the transverse and antero-posterior correction of the malocclusion, assisted by immediate light short Class III elastics and posterior bite disarticulation.

Flipping upper and lower anterior brackets from lateral to lateral to get opposite torque built in the prescription was an important factor in controlling the axial inclination of the anterior teeth and counteracting the side effects of using Class III elastics. It would have been more efficient to bond upper anterior brackets more gingivally from the start to achieve a better smile arc and incisor display. Some upper and lower interproximal reduction was necessary to harmonize contact points and coordinate the upper and lower anterior teeth size.5

The application of buccal shelf TADs ensured a full mandibular dentoalveolar distal retraction and helped optimize the antero-posterior position of the maxillary anterior teeth, preventing them from unwanted excessive labial movement, which would have caused a compromise in the smile dynamics of the patient. Before/after pairings are Figs. 10 and 11.

dentoskeletal-malocclusion
Fig. 10a
dentoskeletal-malocclusion
Fig. 10b
dentoskeletal-malocclusion
Fig. 11a
dentoskeletal-malocclusion
Fig. 11b

Conclusion

Camouflage treatment of adult Class III malocclusion has always been considered to offer suboptimal results because the unwanted side effects of the mechanics used successfully correct the underlying dentoskeletal problem but miss the goals regarding aesthetic outcomes. By using mandibular buccal shelf TADs and taking advantage of the ability to flip the upper and lower anterior brackets 180 degrees, control over placement of the maxillary incisors for the most pleasing aesthetic result can now be achieved.


References
1. Park, Hyo-Sang. “Efficient Use of Microimplants in Orthodontics.” Dentos 2015: Vol. 2, Chapter 4: 206–210.
2. Buitrago, Diego Fernando López, and Saavedra, Claudia Marcela Corral. “Therapeutic Management of a Pseudo Class III Malocclusion Case Report.” Rev Mex de Orto, 2015: 249.
3. Foster, Chad. “A Protocol for Inverting Upper Incisor Brackets.” Orthodontic Practice, Vol. 12, Spring 2021: N1.
4. Chang, Chris, Huang, Chi, and Roberts, Eugene W. “3D Cortical Bone Anatomy of the Mandibular Buccal Shelf: A CBCT Study to Define Sites for Extra-Alveolar Bone Screws To Treat Class III Malocclusion.” IJOI 41, 2016.
5. Sarver, D. “Enameloplasty and Esthetic Finishing in Orthodontics: Identification and Treatment of Microesthetic Features In Orthodontics, Part 1.” J Esth Rest Dent, Vol 23 Issue 5: 296–302.

Author Bio
Dr. Bilal Koleilat Dr. Bilal Koleilat earned his DDS from St. Joseph University in Beirut in 1993 and a master’s degree in orthodontics in Finland in 1996. He maintains private practices in Beirut and Dubai, United Arab Emirates. Koleilat has been teaching since 2002, serving as an assistant professor and the former postgraduate program director for the Lebanese University Faculty of Dental Medicine in Beirut. He has lectured in more than 25 countries, with a special interest in light forces, self-ligation and skeletal anchorage.
Sponsors
Townie® Poll
Which emerging technology do you think will have the biggest impact on practice efficiency in the next 5 years?
  
The Orthotown Team, Farran Media Support
Phone: +1-480-445-9710
Email: support@orthotown.com
©2026 Orthotown, a division of Farran Media • All Rights Reserved
9633 S. 48th Street Suite 200 • Phoenix, AZ 85044 • Phone:+1-480-598-0001 • Fax:+1-480-598-3450