An Ambitious Plan for Success by Dr. Jeremy Manuele

Categories: Orthodontics;
An Ambitious Plan for Success

Treating mutilated dentition without surgery


by Dr. Jeremy Manuele


“So, you’re my fourth opinion—the other three said I need jaw surgery, but I don’t want jaw surgery.” Before I could reply, Paula pulled out her phone and said, “This is what I want my smile to look like.” I glanced at the photo of a beautiful woman with a perfect smile, which she must have lifted straight off the cover of an issue of Glamour, and sat there for a moment, just processing.
Before
An Ambitious Plan for Success
After
An Ambitious Plan for Success


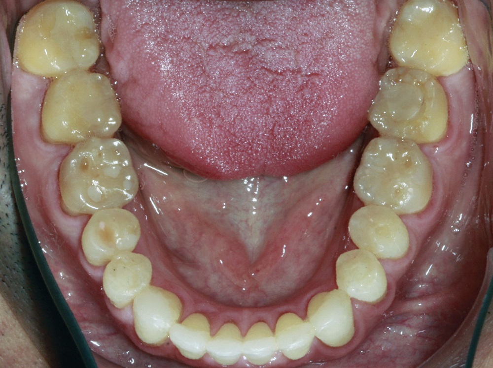
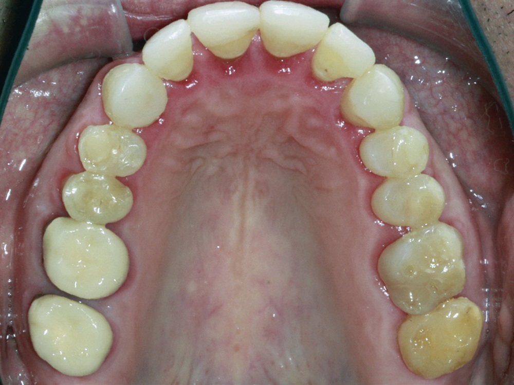
Having previously reviewed her records and history with my treatment coordinator, I knew Paula had a history of rapid maxillary expansion as a child, full braces and lower incisor extraction, all attempting to disguise her underlying transverse and AP skeletal issues, and yet 30 years later she was sitting in my office with an edge/edge anterior bite, unilateral posterior crossbite and a severely worn/mutilated dentition (Figs. 1a–1h). At that moment, it was clear this patient needed help, but underlying skeletal issues would need to be addressed to get the result she was looking for.

FIGS. 1A–1H
An Ambitious Plan for Success
An Ambitious Plan for Success
An Ambitious Plan for Success
An Ambitious Plan for Success
An Ambitious Plan for Success
An Ambitious Plan for Success
An Ambitious Plan for Success
An Ambitious Plan for Success


Feeling the weight of the clinical and emotional complexity of her case, it took me longer than I would have liked to come up with a game plan that had a chance of success. After deep contemplation, I sat up, looked her in the eyes (mentally bracing myself for whatever her response might be) and almost said, “I think it’s time for you to get a fifth opinion.” Although those exact words never actually made it out of my mouth, they certainly ran through my head a few times as I continued to unpack the situation and what this sincere woman was asking me to do.

3 challenges to overcome
A few things worked to our advantage: In addition to not wanting jaw surgery, Paula didn’t want changes to her face, a desire I fully supported. She had a healthy and aesthetically pleasing face and although she was slightly more prognathic in profile than a “textbook norm,” it fit her driven, determined and enthusiastic personality perfectly. Additionally, she had a willingness and commitment to do whatever needed to be done, save jaw surgery, to obtain the smile she desired.

To get her from her current situation to her “ideal smile,” there were three major challenges:
  • Incisal display. Her lip at rest was -2 mm, and even her largest smile produced only about 2 mm of incisal show (Figs. 2a and 2b).
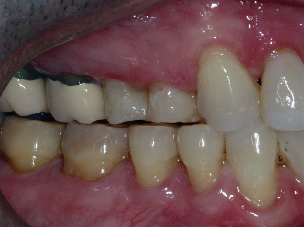
  • Maxillary width. Not only did she desire a broader smile, but I also couldn’t think of a way to get her occlusion (Fig. 3) correct and stable without addressing the transverse deficient maxilla (to the tune of 7–13 mm, according to Hayes1).
  • Incisor coupling. I would have to correct her edge/edge relationship to prevent her from having to come back 30 years later with more of the same issues.
FIG. 2A
An Ambitious Plan for Success
FIG. 2B
An Ambitious Plan for Success
FIG. 3
An Ambitious Plan for Success

Working within these parameters, a plan was formulated. For incisal display, she had a significant curve of Spee in the maxilla, which I anticipated would give us 1–2 mm additional smile show once leveled. Additionally, we could use a combination of bracket position, reverse curve of Spee wires, step bends and elastics to produce another 1–2 mm. Lastly, her restorative dentist was planning on adding length via definitive restorations, which would also help greatly.

For maxillary width, we decided to use a maxillary skeletal expander (MSE) in conjunction with microosteoperforations (MOPs) to get as much skeletal transverse improvement as we could. For incisor coupling, we would use a combination of:
  1. Restoring the maxillary anterior teeth wider to take up more arch length.
  2. Obtaining downward, backward rotation of the mandible in conjunction with the MSE and posterior extrusion elastics.
  3. Using Class III elastics to further compensate and distalize the lower dentition as needed.
With our plan in place, we were off to the races. We performed MOPs (Fig. 4), delivered her MSE and bracketed the remaining teeth. At her five-week virtual check, she was already showing great progress (Figs. 5a and 5b). We were both very excited to see the formation of a diastema. At her eight-week appointment, we added open-coil springs U3–3 to start making room for what eventually would be wider restorations on these teeth.

FIG. 4
An Ambitious Plan for Success
FIG. 5A
An Ambitious Plan for Success
FIG. 5B
An Ambitious Plan for Success


A bonding moment
At her four-month appointment, overjet was looking better and spacing U3–3 was sufficient for future restoration. At this appointment, we performed “temp bonds,” which greatly increased the efficiency of her treatment and allowed us to get her a more accurate result. Essentially, this involved removing the brackets from the teeth, adding freehand composite bonding to the facial of each tooth, forming the crowns of the teeth in a way that matched their axial inclinations—bonded not to look cosmetically straight but to match their respective root positions—and replacing the brackets ideally to finish any alignment that was still needed.

Before her temp bond appointment, Paula’s wire had dislodged from her UL2 bracket, causing that tooth to move lingual (Figs. 6a and 6b). To compensate for this, we bonded the crown of that tooth more to the lingual (Figs. 6c and 6d). Additionally, we added turbos to the lingual of the maxillary canines to set the vertical dimension to ideal and facilitate the clockwise rotation of the mandible (helping us with AP correction). At this point, we also changed her elastics to help facilitate extrusion of the posterior teeth, reestablish her posterior occlusion (because the turbos were in place holding the ideal vertical position) and continue to address the AP discrepancy.

FIGS. 6A AND 6B
An Ambitious Plan for Success
An Ambitious Plan for Success
FIGS. 6C AND 6D
An Ambitious Plan for Success
An Ambitious Plan for Success


[Editor’s note: The temp bond procedure can be used in a number of different ways to make orthodontic treatment more efficient and to obtain a more accurate result. At the end of this article, the author shares a second case in which this technique was used.]

The finishing touches
At Paula’s six-month visit, we removed her MSE and started to detail (Figs. 7a–7h). Five months later, her braces came off (Figs. 8a–8h). Because of her great compliance with elastics, we were delighted to have slight excess overjet. We decided to open some space mesial and distal to the lower incisors to allow for wider restorations on these teeth; this led to more ideal incisor coupling and better disguised the fact that she was missing a lower incisor. We utilized uLab Systems clear aligners to distribute the excess space evenly (Figs. 9a–9d).

FIGS. 7A–7H
An Ambitious Plan for Success
An Ambitious Plan for Success
An Ambitious Plan for Success
An Ambitious Plan for Success
An Ambitious Plan for Success
An Ambitious Plan for Success
An Ambitious Plan for Success
An Ambitious Plan for Success

FIGS. 8A–8H

An Ambitious Plan for Success
An Ambitious Plan for Success
An Ambitious Plan for Success
An Ambitious Plan for Success
An Ambitious Plan for Success
An Ambitious Plan for Success
An Ambitious Plan for Success
An Ambitious Plan for Success

FIGS. 9A–9D

An Ambitious Plan for Success
An Ambitious Plan for Success
An Ambitious Plan for Success
An Ambitious Plan for Success

Once complete, Paula made her long-awaited appointment with her restorative dentist (Dr. J.B. White of Las Vegas) and obtained her final restorations (Figs. 10a–10h). From start to finish, her treatment consisted of 11 months (eight office visits) wearing braces and six weeks (one office visit) wearing uLab clear aligners.

FIG. 10A: Before uLab aligners.
An Ambitious Plan for Success
FIG. 10B: Initial setup.
An Ambitious Plan for Success
FIG. 10C: Final setup.
An Ambitious Plan for Success
FIG. 10D: After aligners.
An Ambitious Plan for Success

FIGS. 10E–10H

An Ambitious Plan for Success
An Ambitious Plan for Success
An Ambitious Plan for Success
An Ambitious Plan for Success


Helping others restore confidence in their smiles and in themselves is largely what gets me out of bed each morning. Paula is a remarkable human being. Her family, friends and associates refer to her as daughter, wife, friend, neighbor, professor, yogini, mentor and confidante. She is indeed deserving of all such titles and the accolades that accompany them. But at the end of the day, I’ll continue to refer to her in the endearing way I have since I was a child: “Auntie Paula.”

Reference
1. Hayes, John. (2010). “In Search of Improved Skeletal Transverse Diagnosis. Part II: A New Measurement Technique Used in 114 Consecutive Untreated Patients.” Orthodontic Practice US. 1. 34–39.



The temp bond procedure can be used in a number of different ways to make orthodontic treatment more efficient and to obtain a more accurate result. In this case, we were able to use temporary bondings to add length, open the bite, and establish ideal height and width of all the anterior teeth. Total treatment time in this case was 10 months, and the patient’s final restorations are shown in Figs. 15a–15h.

FIGS. 11A–11H: Initial presentation.
An Ambitious Plan for Success
An Ambitious Plan for Success
An Ambitious Plan for Success

An Ambitious Plan for Success
An Ambitious Plan for Success
An Ambitious Plan for Success

An Ambitious Plan for Success
An Ambitious Plan for Success

FIGS. 12A and 12B: 6-month follow-up, before bonding.
An Ambitious Plan for Success
An Ambitious Plan for Success
FIGS. 12C and 12D: 6-month follow-up, after bonding.
An Ambitious Plan for Success
An Ambitious Plan for Success

FIGS. 13A–13H: 8-month follow-up.

An Ambitious Plan for Success
An Ambitious Plan for Success
An Ambitious Plan for Success
An Ambitious Plan for Success
An Ambitious Plan for Success
An Ambitious Plan for Success
An Ambitious Plan for Success
An Ambitious Plan for Success

FIGS. 14A–14H: 10-month follow-up.
An Ambitious Plan for Success
An Ambitious Plan for Success
An Ambitious Plan for Success
An Ambitious Plan for Success
An Ambitious Plan for Success
An Ambitious Plan for Success
An Ambitious Plan for Success
An Ambitious Plan for Success

FIGS. 15A–15H: Final restorations.
An Ambitious Plan for Success
An Ambitious Plan for Success
An Ambitious Plan for Success
An Ambitious Plan for Success
An Ambitious Plan for Success
An Ambitious Plan for Success
An Ambitious Plan for Success
An Ambitious Plan for Success

Author Bio
Dr. Jeremy Manuele Dr. Jeremy Manuele earned his DMD from the University of Nevada, Las Vegas School of Dental Medicine and his orthodontics certificate from Louisiana State University in New Orleans. He teaches early interventional orthodontics part time at UNLV SDM while maintaining a partner practice with Dr. R. Cree Hamilton in Las Vegas.

Manuele is a key opinion leader and on the clinical advisory board for uLab Systems and provides orthodontic coaching services through Your Ortho Coach. He has been in the Army National Guard for 21 years, and served an 18-month deployment to Ramadi, Iraq, in 2005–2006. In his free time, he enjoys travel, pickleball and all things outdoors with his wife and their four children.

Sponsors
Townie® Poll
Which emerging technology do you think will have the biggest impact on practice efficiency in the next 5 years?
  
The Orthotown Team, Farran Media Support
Phone: +1-480-445-9710
Email: support@orthotown.com
©2026 Orthotown, a division of Farran Media • All Rights Reserved
9633 S. 48th Street Suite 200 • Phoenix, AZ 85044 • Phone:+1-480-598-0001 • Fax:+1-480-598-3450