The Finishing Touches by Dr. Trevor Nichols

Categories: Orthodontics;
The Finishing Touches 

Reshaping hard tissue to create a fantastic smile


by Dr. Trevor Nichols


One of the most important keys to finishing an amazing orthodontic case is the shape and contour of the teeth and tissues after braces have been removed or aligner treatment is finished. The way we finish our cases is a reflection of our passion, our brand and our skill set, and our final touches can affect that finish the same way final brushstrokes can add the ultimate detail to a painting. By shaping both the teeth and the tissues, we produce a superior result that changes our patients’ lives and helps to build our brand. This article will discuss what we call hard- and soft-tissue contouring.

Hard-tissue contouring refers to the shape of the teeth from both a macro and microaesthetic perspective. The alignment, color, shape and size of teeth greatly influence the aesthetics of a person’s smile. Straight, well-proportioned teeth that are in harmony with facial features create an appealing, attractive smile. A beautiful smile can enhance overall facial appearance and contribute to a positive first impression. If we can learn to be excellent at contouring teeth, we can take ordinary cases to extraordinary through a simple method that requires little time.

People seek hard-tissue teeth reshaping—also known as enameloplasty or tooth contouring—for various reasons related to functional and aesthetic concerns, including:
  • Uneven tooth length. Some people have teeth that appear uneven in length because of wear, genetics or other factors. Enameloplasty can gently reshape the edges of the teeth, creating a more symmetrical and balanced appearance.
  • Minor chips or fractures. Small chips or fractures on the edges of teeth can be smoothed out through enameloplasty. This can improve the tooth’s appearance and prevent further damage to the enamel.
  • Pointed or jagged teeth. Some people may have pointed or jagged teeth that can be uncomfortable or cause irritation to the lips, cheeks or tongue. Enameloplasty can round off these sharp edges, enhancing comfort and oral health.
  • Correction of small irregularities. Enameloplasty can address small tooth imperfections in tooth shape, such as minor grooves, bulges or rough surfaces, that might bother someone.
  • Harmony with facial features. Teeth that are disproportionately large or small in relation to other facial features can affect overall facial harmony. Enameloplasty can help create a more balanced and natural look by adjusting tooth proportions.
  • A quick, noninvasive solution. Enameloplasty typically does not require anesthesia, and offers a simple solution for someone seeking minor improvements to their teeth without more extensive dental work and need for replacement later in life.
  • Boosting self-confidence. Aesthetic concerns related to tooth shape can affect someone’s self-confidence. Enameloplasty can help improve self-esteem by addressing these concerns and creating a smile they’re proud to show.

Key aspects of artistic tooth design

The artistic dimensions of tooth shape in dentistry refer to the careful consideration and manipulation of various aesthetic elements to create harmonious, visually pleasing smiles. Just like an artist works with colors, shapes and proportions in a painting, dental professionals work with tooth shapes, sizes and contours to achieve optimal dental aesthetics. The artistic dimensions of tooth shape are crucial in cosmetic dentistry and a stellar orthodontic finish, and play a significant role in creating natural-looking, beautiful smiles. Here are some key aspects of the artistic dimensions of tooth shape:
  1. Proportion and golden ratio. Dental artists often adhere to the golden ratio, a mathematical concept of proportion that’s been used in art and architecture for centuries. Applying this ratio to tooth dimensions can lead to a smile that’s perceived as balanced and attractive. For example, the width of a front tooth in relation to the tooth next to it can follow the golden ratio to create an aesthetically pleasing appearance.
  2. Tooth length. The length of teeth is an essential consideration. Teeth that are too short or too long in relation to each other and the surrounding facial features can disrupt overall harmony. Dental artists take into account factors such as the size of the face, lips and gums to determine an appropriate tooth length that complements the patient’s features.
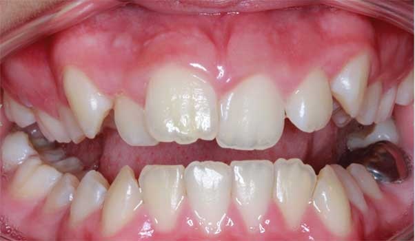
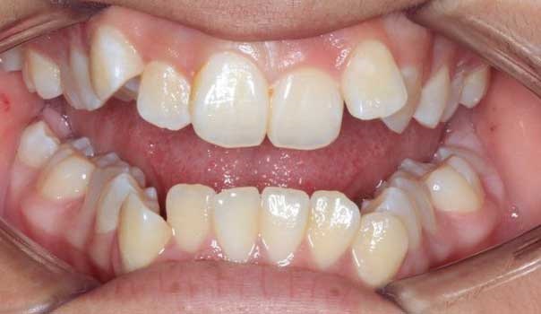
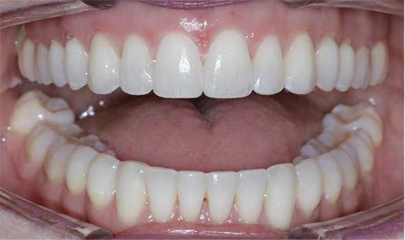
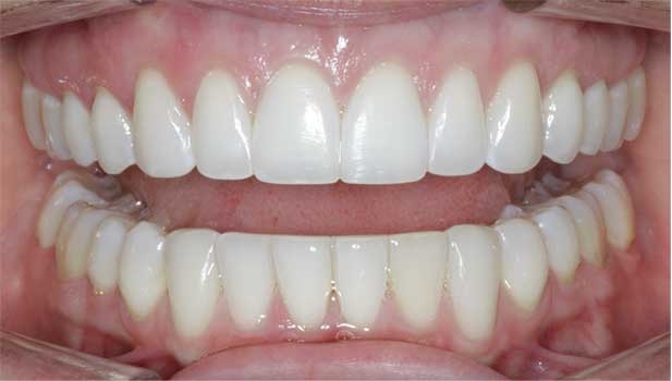
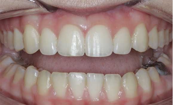
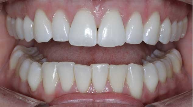
  3. Tooth width and proportions. The width of teeth, especially in the anterior region, affects the appearance of a smile. Teeth that are too narrow or too wide can create an unbalanced look. Orthodontic artists consider the patient’s facial width, midline and the proportions of neighboring teeth to determine the ideal tooth width (Figs. 1 and 2).
  4. Tooth contours and curvature. The contour or curvature of tooth surfaces contributes to the play of light and shadow, affecting how teeth reflect light. Orthodontic artists shape tooth surfaces to create a natural and dynamic appearance. For example, central incisors often have a more pronounced curvature, while lateral incisors may have softer contours.
  5. Embrasures and contact points. Orthodontic artists carefully shape these areas to mimic the natural variations seen in healthy teeth. Properly designed embrasures and contact points create a lifelike appearance and prevent teeth from appearing too uniform.
  6. Texture and surface anatomy. The texture of tooth surfaces is important for creating a realistic appearance. Teeth have subtle imperfections, fissures and variations in surface texture. Orthodontic artists re-create these details to make teeth look natural rather than overly polished or artificial.
  7. Midline and incisal edge alignment. The midline, which is an imaginary vertical line that divides the face and the dental arch, should ideally align with the center of the face. The alignment of the incisal (biting) edges of front teeth also contributes to overall symmetry.
  8. Individualization. No two teeth are exactly alike, and orthodontic artists take this into account when shaping teeth. Creating individualized tooth shapes that complement the patient’s unique facial features and personality is essential for achieving natural- looking results.
  9. Cultural and gender considerations. Different cultures and genders often have distinct dental aesthetics. Orthodontic artists consider these cultural and gender norms when designing smiles to ensure the final result is in harmony with the patient’s background.
  10. Patient input. Aesthetic dentistry is a collaborative process. Orthodontic artists work closely with patients to understand their preferences and expectations. Patient input guides decisions about tooth shape, ensuring the final outcome aligns with their desires.

The Finishing Touches
Fig. 1
The Finishing Touches
Fig. 2

The artistic dimensions of tooth shape involve a combination of scientific knowledge, artistic skill and individualized considerations. Orthodontic professionals use these dimensions to create smiles that not only look beautiful but also enhance the patient’s overall facial aesthetics and self-confidence.


Limitations of tooth reshaping
While tooth reshaping can be effective for certain cosmetic concerns, it does have limitations, especially compared with more comprehensive options like veneers. Some limitations include:
  • Structural concerns. If a tooth has structural issues such as cracks, chips or deep fractures, enameloplasty may not be sufficient to address these problems. Veneers can offer both cosmetic enhancement and structural support.
  • Irreversibility. Enameloplasty is a permanent procedure because once enamel is removed, it doesn’t naturally regenerate. While the amount of enamel removed is minimal, it’s important for patients to understand that the changes are irreversible.
  • Ability to address discoloration. Enameloplasty cannot change the intrinsic color of a tooth. It can help remove surface stains, but can’t effectively address deep or severe tooth discoloration. Veneers, on the other hand, can provide a solution for both discoloration and shape changes.
  • Natural tooth structure. Enameloplasty requires having enough healthy enamel to work with. If the tooth’s enamel layer is already thin because of wear, decay or previous dental work, further reshaping may not be recommended.
  • Desire for comprehensive changes. If a patient is seeking comprehensive changes to their smile—alterations to tooth color, shape and size—veneers may offer a more versatile and comprehensive solution than enameloplasty alone.
  • Patient expectations. Patients who have high expectations for a drastic transformation may not be fully satisfied with the limitations of enameloplasty. Veneers can offer a more noticeable and dramatic change in these cases when desired.

Clinical process and tools
Product ordering list
  • Fine diamond wheel bur
  • Straight fine diamond chamfer bur
  • Rubber-point polishing bur
  • Coarse soft-flex disc
  • Fine diamond soft-flex disc
The Finishing Touches
The clinical procedure for hard-tissue contouring can be done all at once or in several stages, depending on the severity, need, sensitivity and desire of the patient. I learned the techniques in this article from my longtime mentor, Dr. Stuart Frost, who taught and demonstrated them in our office. He truly is the king of tooth shaping!

In our practice, we perform most of the hard-tissue shaping midtreatment and posttreatment. Although we might prefer for a large amount of the reshaping to be done at the beginning of treatment, before brackets are placed or before a scan is obtained, it’s often best to earn a patient’s trust over time before completing an irreversible procedure.

In our discussions during consultation and treatment visits, we show patients photographs of other cases and photographs of their case to discuss options for reshaping and, if necessary, discuss a multidisciplinary approach for posttreatment cosmetic dentistry. If possible, our goal is to create a natural, maintenance-free smile.

For most cases, the enameloplasty will begin with incisal-edge contouring for major discrepancies on both upper and lower arches, from molar to molar. This is done at the pano reposition visit or before the patient is scanned for refinement. This is truly important: If incisal-edge shaping is completed only at the end of treatment, the smile arch will be flattened. However, if the shaping is done at the reposition or refinement, smile arch can be re-created if necessary with adjusted incisal edges. The major incisal-edge contouring is done using the flat fine diamond bur, as well as at a slow speed with a coarse disc.

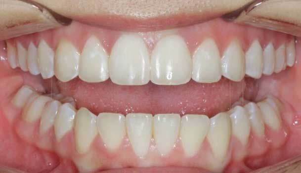
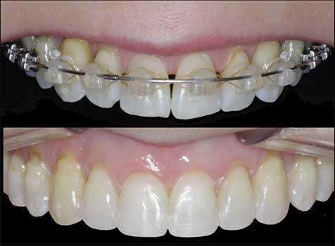
Interproximal shaping is completed during the final-quarter stages of treatment— typically, during final wire adjustments or during the final refinement. Most interproximal adjustments are done via IPR to reduce black triangles and to flatten contacts for more ovoid-shaped teeth (Fig. 3). This is done sequentially during visits until the shaping of the teeth is ideal.

The Finishing Touches
Fig. 3

We use diamond discs, which come in a variety of options (single-sided, double-sided and a variety of thicknesses). After the diamond disc, we use an Intensiv Swingle IPR system to round contacts and sharp edges.

We were all taught in dental school that to avoid black triangle formation, the contact point should be no more than 5 mm from the crest of the bone. Many times, these contact points need to be moved more gingival via IPR to decrease the distance between the contact point and the crest of the bone and to elongate the contact. We also know there’s a limit to the amount of IPR that should be performed, so if a patient has moderate to severe recession or attachment loss, a referral to a periodontist might be best.

Now that most of the incisal edges are clean and contoured, interproximal contacts are elongated and black triangles eliminated, the case can be completed and we can move on to the final stage of tooth shaping. This is typically done at the time of gingivectomy, if needed; otherwise, at the time of bracket or attachment removal. This allows for full shaping and polishing of the entire clinical crown.

The final shaping of the teeth proceeds as follows:
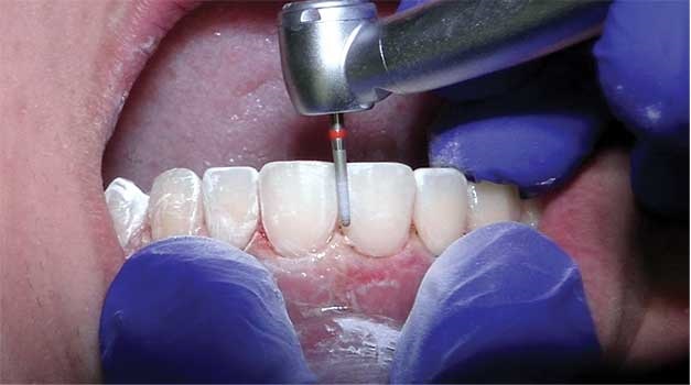
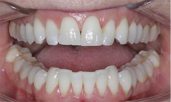
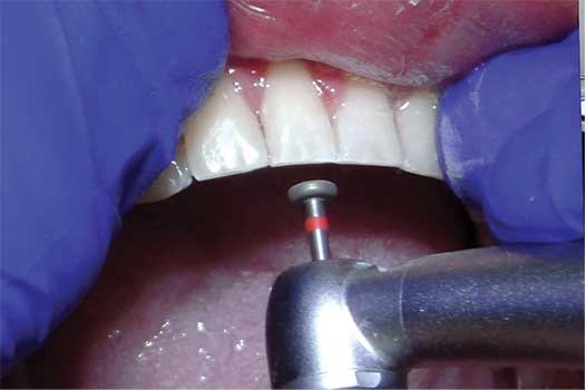
  1. The flat, red fine diamond wheel bur is used to smooth lingual incisal and incisal edges of lower anteriors and round lower cuspids and bicuspids as needed (Fig. 4). This is done dry, and at a stall-out speed to not heat up the tooth or cause excess sensitivity.
  2. The red fine diamond chamfer bur is then used on all facial surfaces (Figs. 5 and 6). This is also done at a stall-out speed and is used to flatten any facial enamel defects, white spot lesions or bulky areas of the tooth. This bur is used to parallel the long axis of the tooth and is also used at the same angulation from tooth to tooth to allow for proper flow. If a tooth is bulbous or appears to be flared, the bur can be used parallel to the adjacent teeth to improve the appearance of the tooth that appears to protrude from the arch form. This is done gently without overreducing the enamel, and done at a very slow speed to prevent scuffing of the enamel.
  3. The black rubber-point tip is used on a high speed to polish the enamel on each tooth (Fig. 7). This is again done dry at a stallout speed. This bur will put an impressive shine on the enamel that will reflect light beautifully. This bur is used without pushing too hard on the enamel, and is used repeatedly until the tooth appears shiny.
  4. The teeth are cleaned, mouth rinsed and verification is completed for Steps 1–3.
  5. The incisal edges are revisited with the black soft-flex disc to ensure flat and even edges (Fig. 8). This is done carrying the flat portion of the disc from tooth to tooth, ensuring symmetry and flow from right to left. Many times, it is important to come in front of the patient to ensure the teeth are flat and symmetric from side to side.
  6. Finally, the diamond-impregnated fine diamond disc is used for embrasures and lingual surfaces (Fig. 9). This is done with extra fulcrum and caution, because this disc can remove enamel easily. Embrasures are created, increasing in size from central to lateral, lateral to cuspid, etc. We look from all angles to remove any sharp edges or discrepancies.
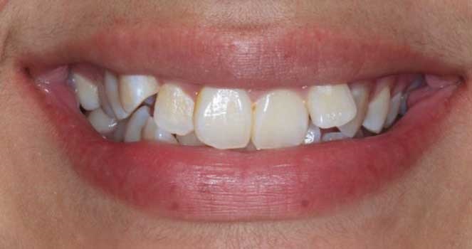
  7. Final photos are obtained and evaluated in the smiling patient photo. A black stick photo is also taken and inspected for needed changes.

The Finishing Touches
Fig. 4
The Finishing Touches
Fig. 5
The Finishing Touches
Fig. 6

The Finishing Touches
Fig. 7
The Finishing Touches
Fig. 8
The Finishing Touches
Fig. 9


Conclusion
Tooth shaping stands as a transformative and vital aspect of the orthodontic journey, marrying aesthetics with functionality. Ultimately this process, like many others, requires a vision for what is to be created, attention to detail and many reps.

As orthodontic treatments realign teeth to their optimal positions, tooth shaping adds the final touch, refining contours and proportions to create a harmonious and confident smile. This procedure, while noninvasive, holds the power to boost self-esteem and enhance oral health. By embracing tooth shaping as an essential step in postorthodontic care, individuals can relish the full spectrum of benefits that a beautifully balanced smile can bring to their lives.



References
1. Sarver DM. “Enameloplasty and Esthetic Finishing in Orthodontics—Identification and Treatment of Microesthetic Features in Orthodontics Part 1.” J Esthet Restor Dent. 2011 Oct; 23(5):296–302.
2. Brandão RCB, Brandão LBC. “Finishing Procedures in Orthodontics: Dental Dimensions and Proportions (Microesthetics).” Dental Press J Orthod. 2013; 18(5):147–174.

Author Bio
Dr. Trevor Nichols Dr. Trevor Nichols attended Arizona State University, where he completed a bachelor’s degree in science and fitness and graduated as valedictorian. He then attended the Arizona School of Dentistry and Oral Health for his doctoral training, where he served as class president. While there, he also completed a certificate in dental public health. After obtaining his DMD, Nichols completed his specialty training in orthodontics at ASDOH and earned a master’s degree while completing research on TMD. He has also received inaugural awards in clinical excellence and leadership. Nichols is involved in organized orthodontics and as a lecturer educates other orthodontists and residents in the creation of beautiful, healthy, life-lasting smiles


 
Sponsors
Townie® Poll
Which emerging technology do you think will have the biggest impact on practice efficiency in the next 5 years?
  
The Orthotown Team, Farran Media Support
Phone: +1-480-445-9710
Email: support@orthotown.com
©2026 Orthotown, a division of Farran Media • All Rights Reserved
9633 S. 48th Street Suite 200 • Phoenix, AZ 85044 • Phone:+1-480-598-0001 • Fax:+1-480-598-3450