The Pivot Point by Dr. Chad Foster

Categories: Orthodontics;
The Pivot Point 

Real-world examples and clinical strategies for making early, confident treatment pivots in borderline non-extraction orthodontic cases


by Dr. Chad Foster


I’ve written many times before about borderline extraction cases. They are great to discuss because they can often be well-treated in multiple ways, depending on the treatment goals. I would like to share the errors and pivots I made in treatment-planning for two such cases.

If a case is obviously in need of extractions, especially due to severe crowding, it is almost always best to do so from the very beginning. Unnecessarily delaying extractions that are obviously necessary can significantly impact treatment efficiency. In certain borderline cases where non-extraction treatment is chosen, I believe it is good practice to create an opportunity to reassess and change course if needed.

For me, the key to doing so is making a habit of taking a progress cephalometric X-ray at the pano/repo appointment for my borderline non-extraction patients. This typically happens at five to seven months into treatment. At this time, most alignment and leveling issues have been resolved. Additionally, it is also important to note that if arch expansion was part of the plan to increase arch length, much of this has already been achieved with expanded NiTi archwires. At that point, I like to reassess the upper incisor position by referencing the progress ceph and visually observing the patient’s side smiling profile.

Following that re-assessment, if I feel that the ideal upper incisor anteroposterior (AP) position and labiolingual inclination (independent traits) can be achieved through use of appropriate interproximal reduction and negative torque on the upper incisors, then the non-extraction treatment will continue. It is important to note that IPR should not be abused just to satisfy a non-extraction plan at the expense of the micro-aesthetic beauty of the upper incisors. If extractions are elected after doing significant IPR, you likely overestimated the potential effectiveness of your IPR and have also delayed the extraction decision too deep into treatment.

If negative torque is needed, I will plan to engage that in flipped/inverted upper incisor brackets with larger wires after the pano/repo/ceph visit if the non-extraction plan is continued. Often the upper incisor brackets were already flipped/inverted at the initial bonding in anticipation of this, or sometimes I will choose to flip/invert them at the pano/repo/ceph visit if I did not anticipate needing the negative torque.

If however, it is clear at the pano/repo/ceph visit that appropriate use of IPR and negative torque will not likely be able to ideally position the upper incisors AP and labiolingual position I will immediately refer for extractions when it is appropriate. Parents will be updated (borderline patients are always informed of this possibility at the initial exam) and a referral will be made.


Two cases where I pivoted
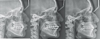
The first case is a 12-year-old female. Initially, the significant lingual inclination of her posterior teeth led me to believe that dental arch expansion would provide enough arch length to satisfy my non-extraction treatment plan. I didn’t invert upper incisor brackets as I didn’t think much negative torque would be needed after that expansion. However, her smiling side profile and the mid-treatment ceph from the pan/repo/ceph appointment at five months surprised me with the extent of the upper incisor proclination. At that point in treatment, I understood that a pivot was needed, and I felt confident that the appropriate use of negative torque and IPR would position her upper incisors where I wanted them to be within her face and smile. I decided to flip the upper incisor brackets at that same visit and progress with treatment, including IPR and engagement of the negative torque at subsequent appointments. She completed treatment in 18 months, achieving a favorable position of her upper incisors in her face and smile.

The Pivot Point
The Pivot Point
The Pivot Point
The Pivot Point


The second case is a 17-year-old male. Despite the crowding and protrusion, I felt that non-extraction treatment had a reasonably good chance of success. I initially flipped his upper incisor brackets in anticipation of needing negative torque. However, the progress records from the pan/repo/ceph appointment at seven months revealed to me that continuing with the non-extraction plan in my hands was not prudent. I did not feel confident that, even with the prospect of safely pushing the limits of IPR and negative torque, I would be able to position his upper incisors in an ideal AP and labiolingual position. The decision was made at that appointment to un-flip (reposition) the upper incisor brackets and refer for the extraction of his upper first bicuspids and lower second bicuspids. The treatment was completed in 25 months, resulting in a favorable position of his upper incisors within his face and smile.

The Pivot Point
The Pivot Point
The Pivot Point
The Pivot Point


Final thoughts
In borderline cases, there is no extra credit or accolades earned if you extracted teeth, didn’t extract teeth or decided to change your mind in that regard during treatment. In the end, all that matters is meeting your treatment goals and doing so in an efficient timeline. I’ve learned through my failures that attempting to prove my initial assessment (and ego) right by continuing down the path of an inappropriate treatment plan is never the way to go.

In my opinion, when treating non-extraction borderline cases, a few key steps are:
1. Making patient/parents aware that extractions may be ultimately necessary.
2. Reassessing your treatment progress early at the pano/repo appointment with the additional help of a progress ceph.
3. Understanding (through experience) what degree of change could then be confidently predicted from IPR, negative torque or other auxiliaries.
4. Decisively pivoting to a new treatment plan when needed to ensure an effective and efficient overall treatment. 

Author Bio
Dr. Chad Foster Dr. Chad Foster is Orthotown’s editorial director, a board-certified orthodontist and owner of Butterfly Orthodontics in Phoenix. A graduate of Chapman University, he earned a Doctor of Dental Surgery and a master’s degree in craniofacial biology and completed his orthodontic residency at the University of Southern California. Foster writes and lectures internationally on the topic of orthodontic aesthetics.



Sponsors
Townie® Poll
Which emerging technology do you think will have the biggest impact on practice efficiency in the next 5 years?
  
The Orthotown Team, Farran Media Support
Phone: +1-480-445-9710
Email: support@orthotown.com
©2026 Orthotown, a division of Farran Media • All Rights Reserved
9633 S. 48th Street Suite 200 • Phoenix, AZ 85044 • Phone:+1-480-598-0001 • Fax:+1-480-598-3450