Tooth vs. Tray by Drs. Chris Cetta and Rooz Khosravi

Categories: Orthodontics;
Tooth vs. Tray 

Comparing integrated and direct bond buttons for elastic wear during clear aligner therapy


by Drs. Chris Cetta and Rooz Khosravi


Clear aligner systems have undergone significant advancements over the past few decades. Early analog aligner systems, such as the Essix appliance system introduced in 1994, were limited to minor tooth movements. Today, early options are being replaced by multiple CAD/CAM-driven digital aligner systems, which are equipped with features such as composite attachments, virtual bite ramps and auxiliaries for elastic band integration. As aligner therapy continues to expand its scope to address more complex malocclusions, intermaxillary elastics are being increasingly used as part of comprehensive treatment.

In this article, we explore the role of elastic bands in clear aligner therapy. While many aspects of this topic remain open for debate, our goal is to share clinical insights, highlight key literature and present working hypotheses that may help spark meaningful conversations among fellow orthodontists who are passionate about innovation in aligner therapy.


Overview of buttons in aligner therapy
Orthodontists have long been accustomed to using elastic bands with fixed appliances, so it’s no surprise that creative techniques to incorporate elastics into clear aligner therapy emerged early on. Some of the earliest documented methods date back to the analog Essix system,1 where Dr. John Sheridan described a range of strategies for elastic integration:
  • Cutting elastic tabs directly into the plastic with a scalpel
  • Making plastic attachment buttons on a tray using Hilliard Thermoplier pliers
  • Bonding buttons to the aligner using adhesive materials
  • Creating slits in the aligner to accommodate band or bracket hooks
As aligner therapy transitioned from its analog roots (1945–1998) to the digital, CAD/CAM-driven era (1999–present), many of these techniques were refined to suit modern clinical workflows. For example, the Invisalign system—the first digital aligner platform—introduced detailed guidelines on the use of buttons and elastic cutouts in its Clinical Monitoring Guide.2 Many of these early recommendations aimed to compensate for the limitations and inefficiencies of the system at the time. Research has continued to explore the effectiveness of these strategies.

Today, two primary strategies exist for elastic use in aligner therapy: single-tooth anchorage and group-tooth anchorage. Elastics may be connected to individual teeth, groups of teeth or directly to the aligners themselves. The choice of these strategies often depends on biomechanical goals, practitioner preference or patient factors such as concerns over visible attachments. However, there is still no clear consensus on which technique offers superior clinical outcomes.

In this article, we’ll take a closer look at two primary approaches: direct bond buttons (attached to the teeth) versus integrated buttons (incorporated into the aligners). We’ll share our working hypotheses and personal insights into each method, as we believe that, in our experience, a skilled orthodontist should be comfortable employing both strategies when the case requires it.


Direct bond buttons (buttons on the teeth)
A wide variety of direct bond buttons are available to orthodontists today. These buttons differ in both shape—round, rectangular, ovoid, flat or curved—and material, including metal, ceramic and resin polymers. The choice of button often depends on several clinical considerations, including placement location, cost and aesthetics.

When elastics are connected to a direct bond button, the force is delivered directly to the tooth. To accommodate this, the aligner must be fabricated or modified with a cutout that fits around the bonded button.

While direct bonding is routine in orthodontic practice, it does require additional chair time. Etching enamel, applying adhesive and later removing the composite can occasionally lead to sensitivity, especially in adult patients with exposed root surfaces. Moreover, these buttons have been associated with a higher rate of emergency visits caused by debonding.

Several variables influence the failure rate of direct bonded buttons, including base pad shape, pad or mesh surface area, adhesive selection, and overall bonding technique.

The Precision Aligner Buttons from DynaFlex (Disclosure: Dr. Cetta is the co-inventor of Precision Aligner Buttons) were developed to address many of these clinical challenges. Designed with specialized base pads featuring increased surface area, the buttons are contoured to fit within the cervical third of the tooth and align with the cutout windows of most major aligner systems (Fig. 1).

The Precision Aligner Buttons are either metal for molars or clear for canines and premolars. Both the metal and clear buttons are available in standard size versions as well as slightly smaller mini versions.
Tooth vs. Tray
Fig. 1: Metal and clear Precision Aligner Buttons by DynaFlex, featuring direct bond buttons with specialized base pads for enhanced bonding retention.

Integrated buttons (buttons on the tray)
An alternative to tooth-bonded buttons, integrated buttons are incorporated directly into the aligner, either as bonded elements or as part of a 3D-printed design. These buttons can be added manually using a lightcured aligner adhesive, such as Bond Aligner from Reliance Orthodontics, or they can be built into the aligner by the manufacturer.

Several aligner systems now offer streamlined options for integrated elastic wear. Examples include the Angel Aligner’s angelButton and Spark Aligners’ integrated hooks. More recently, with direct-print aligners, elastic buttons and hooks have been integrated directly into the printed aligner itself, further expanding clinical versatility (Figs. 2 and 3).

Unlike direct bond buttons, elastic forces applied to integrated buttons are distributed through the aligner rather than concentrated on a single tooth. This design may help reduce emergency visits and has the added benefit of requiring no additional chair time for placement.

Tooth vs. Tray
Fig. 2: An example of an integrated hook and button 3D-printed into the aligner.

Tooth vs. Tray
Fig. 3:Combining both direct bond and integrated buttons to address AP discrepancies.

Application-based decision making
When deciding between direct bond buttons and integrated buttons, orthodontists must weigh several key factors. Among the most common clinical considerations are:
1. The desired point of force application.
2. The direction and magnitude of the required force.
3. The type of tooth movement—single tooth versus en masse.
4. The stability of the aligner during elastic wear.
5. The ease of elastic attachment for the patient.
6. The likelihood of emergency visits.
7. The patient’s aesthetic preferences.

We list the common clinical scenarios below and discuss our recommendations through the aforementioned considerations.


Anterior-posterior discrepancies
One of the most frequent clinical questions regarding anterior-posterior (AP) or sagittal correction with clear aligners is whether intermaxillary elastics behave differently than they do with fixed appliances and wires. Two theories exist in the aligner world: sequential tooth movement versus en masse movement. The choice between direct bond and integrated buttons often reflects which theory the clinician is applying.

Integrated buttons or elastic slits on the aligners are commonly used during sequential distalization of posterior teeth. In these cases, light elastics are often prescribed to minimize unwanted proclination of the anterior teeth. However, it’s important to recognize that elastics anchored to the aligner shell can introduce unwanted vertical forces, such as intrusion of the first premolars and accentuation of the Curve of Spee. Using light force elastics (e.g., 4.5 oz) may help mitigate these adverse effects.

Bonding buttons directly to the canines can localize elastic forces to those teeth, reducing the likelihood of anterior flaring. Likewise, placing buttons on the lower molars helps redirect force application away from the anterior region, reducing the risk of proclination in the lower arch (Fig. 4).
Tooth vs. Tray
Fig. 4: Examples of direct bond buttons used to correct sagittal discrepancies in a lingual braces’ patient and to de-rotate posterior teeth with clear aligners.

When treating AP discrepancies with an en masse movement approach, elastic forces are often used to modify the occlusal plane, much like what occurs with traditional fixed appliances. In such cases, integrated buttons may be preferred to better distribute the forces across multiple teeth.

Another working hypothesis draws on the philosophy behind the Motion appliance: bonding buttons on the canines may act similarly to segmental appliances, facilitating sagittal correction.

Our general recommendations include:

  • Use integrated buttons or slits for cases involving sequential distalization, especially when seeking to minimize side effects.
  • Consider direct bond buttons for full-cusp correction in growing patients.
  • Bond buttons on the lower molars when the goal is to reduce lower incisor proclination associated with integrated button wear.

Vertical and transverse discrepancies

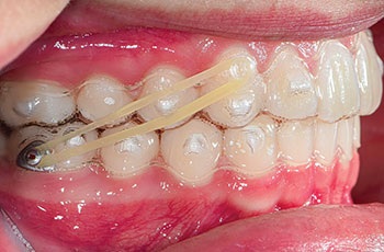
Bootstrap elastics are a common method for extruding teeth. In these cases, direct bond buttons are preferred, as they allow targeted vertical force and facilitate the tooth’s movement into the aligner shell (Fig. 5). Similarly, bonded buttons are useful for occlusal settling, functioning much like settling elastics used with traditional braces.
Tooth vs. Tray
Fig. 5: An example of a bootstrap elastic for vertical extrusion of the maxillary right lateral incisor (UR2). In contrast, integrated buttons are well-suited for en masse intrusion, such as anterior open bite correction or reducing excessive gingival display. In the transverse dimension, integrated buttons can be used to promote group tooth movement, mimicking progressive archwire torque.

Our general recommendations include:
  • Choose integrated buttons for group movement in the vertical and transverse planes.
  • Opt for direct bond buttons when addressing individual tooth movements or specific vertical mechanics.

Severe tooth rotations

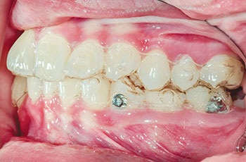
Direct bond buttons are especially helpful when addressing severely rotated teeth, commonly canines and premolars. In these cases, dual cutouts can be designed during digital treatment planning to create a coupling effect that enhances the force system of the aligners (Figs. 6a and b).

As mentioned previously, some orthodontists also favor direct bond buttons when addressing interarch discrepancies or when a stronger vertical force is required, as they allow for more direct and targeted elastic application.

Tooth vs. Tray
Fig. 6a: An example of direct bond metal buttons being used to de-rotate a mandibular left first premolar (LL4) with a severe rotation.
Tooth vs. Tray
Fig. 6b: The location of buttons would be planned in the tooth movement software.


Tooth vs. Tray
Recommended applications for elastic buttons in aligner therapy
Use this quick-reference guide to help determine when to incorporate direct bond buttons (tooth) versus integrated buttons (tray) into your aligner treatment protocols.


Direct Bond Buttons (tooth):
Ideal for targeted force application and intra-arch mechanics:
  • Severe tooth rotations (≥45°).
  • Bootstrap elastics for vertical extrusion.
  • Single tooth posterior crossbites.
  • Bite-settling mechanics.
  • Full-cusp Class II or Class III correction (especially in growing patients).
Buttons Incorporated into the Aligner (tray):
Best for distributed force application and group tooth movements:
  • Sequential distalization cases where anterior proclination or extrusion must be minimized.
  • Posterior crossbites involving multiple teeth.
  • En masse intrusion to correct anterior open bites.
  • En masse intrusion for reducing excessive gingival display.
  • Half-cusp Class II or Class III correction requiring less sagittal movement.
Unanswered questions and research opportunities
As discussed throughout this article, a wide range of applications exist for both direct bond and integrated buttons, often grounded in the practitioner’s working hypotheses. While these techniques are widely used, their precise mechanisms—and relative clinical efficacies—remain underexplored in the literature.

To date, most research on buttons and elastics in aligner therapy relies on finite element modeling. These simulations offer a strong theoretical foundation but often lack the physiological heterogeneity found in real-world clinical scenarios.

We believe there is tremendous value in future clinical studies that could address practical questions such as: Can I correct the AP discrepancy in a growing patient with a Class II malocclusion more efficiently with integrated buttons or direct bond buttons?


Takeaway
Elastics remain a vital tool in managing moderate to complex cases with clear aligners. Both direct bond and integrated buttons are widely used across aligner platforms, but a standardized protocol for selecting between them has yet to emerge.

We encourage practitioners to develop a decision-making framework based on the following key questions:
  • Are you aiming for single tooth movement or group tooth movement?
  • Are elastic forces intended to drive movement or to mitigate aligner side effects?
  • Are your team and the patient prepared to manage broken button appointments?
  • Does your chosen aligner system offer integrated button options?
While no one-size-fits-all answer exists, being deliberate and strategic in your approach can elevate your aligner outcomes and reduce unwanted side effects, ensuring each case is guided by both sound biomechanics and patient-centered decision-making.


References
1. Sheridan, John J., Keith Hilliard, and Paul Armbruster. Essix Appliance Technology: Applications, Fabrication, and Rationale. GAC International, 2003.
2. Invisalign Clinical Monitoring Guide. Align Technology, Aug. 2003.


Author Bios
Dr. Chris Cetta Dr. Chris Cetta is a boardcertified orthodontist practicing at Hess Orthodontics in Sarasota and Parrish, Florida. He hosts “The Illuminate Orthodontic Podcast” and often speaks on orthodontic innovation and clinical products. Cetta is the co-inventor of Precision Aligner Buttons by DynaFlex and serves on the clinical advisory council for The Journal of Clinical Orthodontics as well as the editorial advisory board for Orthotown. His work has appeared in leading publications. Cetta resides in sunny St. Petersburg, Florida, with his wife, Nicole, and their dog, Jagger.



Dr. Rooz Khosravi Dr. Rooz Khosravi is an associate professor of orthodontics at the University of Washington. He serves as the director of the interdisciplinary seminar series and clinic, working with the departments of pediatric dentistry, periodontics and prosthodontics. He also leads various research projects focused on clear aligner therapy, dental 3D printing and pediatric sleep-related breathing disorders. Khosravi practices at PORTH (Personalized Orthodontics) with locations in Bellevue and Sammamish, Washington. In addition to his private practice and academic work, he founded the Digital Orthodontic Hub, a resource dedicated to integrating digital technology in orthodontics. Rooz collaborates with numerous companies to develop digitally driven orthodontic solutions and services.

Sponsors
Townie® Poll
Which emerging technology do you think will have the biggest impact on practice efficiency in the next 5 years?
  
The Orthotown Team, Farran Media Support
Phone: +1-480-445-9710
Email: support@orthotown.com
©2026 Orthotown, a division of Farran Media • All Rights Reserved
9633 S. 48th Street Suite 200 • Phoenix, AZ 85044 • Phone:+1-480-598-0001 • Fax:+1-480-598-3450