Bite Turbo Chess by Dr. Chad Foster

Categories: Orthodontics;
Bite Turbo Chess 

Unlocking a severe malocclusion in a periodontally compromised patient


by Dr. Chad Foster


Shelley was 62 years old when she came to our office for an orthodontic consultation. She was referred by her general dentist because of suspicion that her malocclusion was contributing to her slow periodontal decline. The dentist noted grade 2 mobility of her lower right lateral incisor and multiple areas of recession.

Shelley had been generally unhappy with her teeth her whole life. Many years prior she was told by another orthodontist that correction of her bite would require jaw surgery, which she was not willing to pursue. Her current wish was to do anything to make her smile finally look nicer.
Bite Turbo Chess
 
Bite Turbo Chess
 
Bite Turbo Chess
 


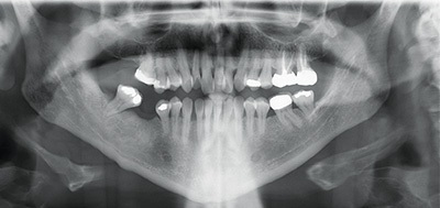
Diagnosing from “outside-in,” she showed lower 1/3 vertical facial height in slight excess, a prominent chin and mild mandibular asymmetry to the right. Unfavorable dark triangles are obvious in her smile because of periodontal recession. She shows only mild Class III occlusion, but a significant number of teeth are in full crossbite position. Notable cephalometric findings include mild mandibular prognathism, a high mandibular plane angle and lower incisors that are slightly compensated/upright as you might expect with a Class III excess mandible. Multiple areas of varying bone loss are present and the LR8 was given a poor long-term prognosis by the dentist.

My first and most important decision was to refer Shelley to a periodontist for pre-orthodontic clearance and to discuss what periodontal therapies could be needed before, during or after our orthodontic treatment. The periodontist and I let Shelley know that while orthodontic correction of her malocclusion (particularly the crossbites) would likely place her teeth in a better functional position to benefit their long-term periodontal health, the road to get there via comprehensive treatment with braces could stress their periodontal support in the short-term and had the possibility of increasing recession in certain areas and even, in the worst case scenario, accelerating the risk of tooth loss. I find that it is extremely important when treating periodontally compromised patients that they are clearly aware of worst-case scenario risks the treatment poses. My job is to first make sure they are educated and emotionally/financially prepared for that situation and then execute a plan that minimizes, as best as possible, the chance of that worst-case scenario happening.

Orthognathic surgery was discussed with Shelley as the most ideal plan, with a lesser risk of periodontal stress compared to the non-surgical plan, but Shelley declined that ideal option. When I had Shelley open slightly, I could see that her lower jaw dropped down and back enough to bring her into an edge-to-edge bite with the upper left central incisor. I knew that if I could disclude her properly, unravel the upper crowding and close the minimal space on the lower, her occlusion should fall very close to where we would need it. The big decision in this case was where and how to disclude her.

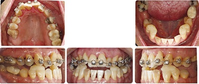
I felt that choosing to place the bite turbos on posterior teeth would be unfavorable for two reasons. First, posterior turbos tend to limit posterior extrusion and overall vertical opening. Posterior extrusion and vertical opening of the MPA alone favor occlusal correction of Class III to Class I and underbite correction as the lower jaw rolls slightly down and back. Second, in Shelley’s case, if the posterior teeth were intruded at all, great care would be needed at the end of treatment to make sure that these teeth completely settled into full contact to prevent a harder than ideal occlusion on the anterior teeth (the lower incisors show significant periodontal loss).

I also felt that placing the bite turbos on the incisors, perhaps in a Class III ramp bonded to all the lower incisors, would also not be as ideal in her case. While a Class III ramp is an excellent choice for mild Class III patients with an underbite, Shelley has compromised support for her lower incisors, and I would not choose to concentrate the force of her bite on those teeth.

Instead, the turbos were placed on the lower canines and first bicuspids. These teeth, and the maxillary canines that would abut them, showed relatively good periodontal support and longer roots. They could likely shoulder the concentrated masticatory load in this periodontally compromised patient for more than a few months of treatment if needed. Also the turbos were shaped into a ramp (they sloped in to the lingual) to give function to their form. As the maxillary canines (which were in crossbite) hit the ramps, there would be a labial crown-tipping effect to jump their position out of crossbite as the maxillary teeth aligned. Crossbite elastics also played an important role in this regard as well.
Bite Turbo Chess

Bite Turbo Chess

Bite Turbo Chess

Another important strategy was to use early interproximal reduction (IPR) in multiple stages during alignment of the maxillary crowding. While it was expected that Shelley’s dark triangles would not be able to be corrected with our treatment (her anterior papillas were almost completely gone), early IPR has been shown to limit “round-tripping” and minimize the unfavorable dark triangle potential.

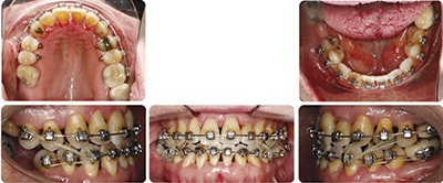
Despite significant IPR throughout treatment, these dark triangles are still obvious in her final smile. I was tempted to continue with further IPR for aesthetic reasons but here is my rationale for not doing so. In order to decrease the most aesthetically prominent dark triangles, which are in her maxillary anterior teeth, I would need to also perform more IPR in her lower anterior teeth to allow the overjet to couple appropriately. Remember that Shelley’s lower incisors were the teeth that were of greatest periodontal concern at the start of treatment. The lower incisors were also in a slightly more compensated/upright position to begin with in her forward mandible. When I closed her pre-existing mandibular anterior spaces these teeth uprighted a bit more. When I performed IPR throughout treatment on the lower anterior teeth to minimize the dark triangles and then closed those spaces, these teeth uprighted a bit more again. You can see the change in angulation of these teeth when comparing pre to posttreatment ceph images. Despite my distaste for dark triangles in the smile, I did not think it wise to further decrease the labiolingual inclination of these teeth any further with continued IPR.

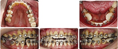
Shelley’s treatment finished in 20 months and she and her general dentist were very satisfied with her outcome. The key takeaways from this unique case are:

  • When in doubt, get a periodontist’s clearance for your periodontal patients and make sure they accept the worst-case scenario consequences.
  • Get creative with your positioning and shaping of your bite turbos. I am convinced with nearly all cases this is a key to case efficiency.
  • IPR is a powerful and effective tool, but case selection and knowing its potentially unfavorable effects are equally valuable.
Bite Turbo Chess


Author Bio
Dr. Chad Foster Dr. Chad Foster is Orthotown’s editorial director, a board-certified orthodontist and owner of Butterfly Orthodontics in Phoenix. A graduate of Chapman University, he earned a Doctor of Dental Surgery and a master’s degree in craniofacial biology and completed his orthodontic residency at the University of Southern California. Foster writes and lectures internationally on the topic of orthodontic aesthetics.




Sponsors
Townie® Poll
Which emerging technology do you think will have the biggest impact on practice efficiency in the next 5 years?
  
The Orthotown Team, Farran Media Support
Phone: +1-480-445-9710
Email: support@orthotown.com
©2026 Orthotown, a division of Farran Media • All Rights Reserved
9633 S. 48th Street Suite 200 • Phoenix, AZ 85044 • Phone:+1-480-598-0001 • Fax:+1-480-598-3450