Hooked on Progress by Drs. Peter Ngan and Madison Smith

Categories: Orthodontics;
Hooked on Progress 

Maxillary expansion and protraction treated with Angel Aligners to correct anterior crossbite and normalize anteroposterior jaw relationship


by Drs. Peter Ngan and Madison Smith


With more than 40 years of experience in orthodontics, I’ve had the privilege of witnessing significant transformations in our field. Early in my career, my focus was primarily on traditional braces and fixed appliances. As technology advanced, I embraced new approaches in clear aligner therapy, eventually integrating the Angel Aligner system into my practice.

One profound insight I’ve gained is on the biomechanics of maxillary protraction. Using traditional fixed appliances, such as a rapid palatal expansion appliance as anchorage for maxillary protraction, one must bond a buccal wire on the maxillary first permanent molar and extend it to the canine, so the resultant force will not tip the palatal plane. This is very cumbersome and sometimes this design is not possible because of ectopic eruption of the maxillary permanent canines. The angelHook attachments now make it possible to protract and translate the maxilla forward at the center of resistance.

This journey has underscored the importance of adapting to innovative solutions, including clear aligner-based approaches, such as the Angel Aligner system.

Before using Angel Aligners, early treatment for patients with Class III malocclusions and maxillary deficiency was primarily limited to the fabrication of a fixed expansion appliance for maxillary protraction with a facemask. This process requires the insertion of separators, fitting of orthodontic bands and sending impressions to an orthodontic laboratory for fabrication. With the advent of customized bands and CAD-CAM technology, many contemporary orthodontic offices no longer stock premolar or even orthodontic bands. Furthermore, patients increasingly prefer fewer appointments and greater comfort with orthodontic appliances.

The use of clear aligners for early orthodontic treatment significantly enhances patient comfort and treatment efficiency. With fewer appliances in the mouth, breakages are minimized, leading to fewer emergency visits. Aligners allow providers to simultaneously address arch development and tooth alignment during orthopedic treatment, which can reduce the length of Phase I treatment. Additionally, treatment with clear aligners in children notably improves their oral hygiene and the aesthetics of their school pictures.

At West Virginia University School of Dentistry, where I currently serve as professor and chairman of the Department of Orthodontics, we began using Angel Aligners in 2024 for the early treatment of Class III malocclusions with maxillary deficiency in conjunction with a facemask. Children with these dental issues typically present with an anterior crossbite alongside a transverse maxillary discrepancy.

Our process involves taking a set of orthodontic records and sending a prescription to the Angel Aligner team for a preliminary plan using their iOrtho software. For maxillary protraction, an elastic force of 16 oz or 500 gm per side is required to elicit an orthopedic force. It is essential to include angelHook around the maxillary primary canine areas to engage elastics, which then will be connected to the facemask. Additionally, patients are required to wear Class III elastics during the daytime. We also include angelButtons on the maxillary permanent first molars and mandibular primary canine areas. A high trimline is essential to maximize aligner retention during orthodontic/orthopedic treatment. Overcorrection of the anterior crossbite should be prescribed to an overjet of 2-3 mm to anticipate future excess mandibular growth. The aligners are changed weekly. The facemask is worn after dinner, when the child is not actively playing. Class III elastics are worn during the daytime to maintain the forward position of the maxilla after protraction.

Case overview
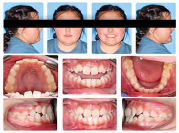
The patient, an 8-year-old female, sought orthodontic treatment because of concerns regarding alignment and bite correction. At the time of the consultation, the patient was in the mixed dentition stage and exhibited an anterior crossbite (Figs. 1-2).

[MAGAZINE TITLE]
Fig. 1: Pre-treatment extraoral and intraoral photographs
[MAGAZINE TITLE]
Fig. 2: Pre-treatment intraoral scan showing maxillary and mandibular intercanine and intermolar widths, with pre-treatment lateral cephalogram; post-treatment intraoral scan and lateral cephalogram of the patient.


Diagnosis and treatment plan
Clinical examination indicated a straight facial profile with maxillary retrusion. Intraoral assessment showed a Class III molar relationship and an anterior crossbite with a shallow overbite. The upper and lower arches presented mild crowding in the anterior segment, along with a narrow intercanine width. The lower dental midline was slightly deviated to the patient’s left. The intercanine width pre-treatment was 23 mm in the maxilla and 26 mm in the mandible. Cephalometric analysis revealed a mild to moderate Class III malocclusion with skeletal maxillary retrusion (ANB = 1.3° and WITS = -6.8 mm).

The primary objectives of the early orthodontic treatment were to expand and protract the maxilla. This was necessary to correct the anterior crossbite and establish a proper anteroposterior jaw relationship.

To achieve these goals, the patient was presented with two different treatment options, one using a fixed appliance and one with aligner therapy. The angelHook Maxillary Protraction Solution with facemask was ultimately selected for treatment. Angel Aligner allows for the simultaneous treatment of maxillary expansion, protraction and alignment of anterior teeth.

The integration of the buttons and hook attachments with facemask and elastic wear, along with a high trimline, effectively supported maxillary expansion and protraction. Furthermore, the inclusion of a posterior bite block was beneficial in helping with the shallow overbite. Finally, the use of both horizontal and vertical rectangular attachments ensured excellent tracking and engagement of the aligners.

Treatment progression
iOrtho software prescribed a total of 16 sets of aligners, representing a 16-week treatment period. To aid in maxillary protraction, the patient wore a protraction facemask at night for 10 to 12 hours (Fig. 3). Additionally, Class III elastics (1/4”, 6 oz) were worn during the day for eight hours to help maintain the maxilla in the forward protracted position. The facemask applied an anterior protraction force of 500 gm on each side, while the elastics provided 100 gm of force on each side for this purpose.
A Clear View of the Future
Fig. 3: Facemask treatment at night (16 oz or 500 gm/side) using angelHooks. Class III elastics (4-6 oz or 80-100 gm/side) using the angelButtons.

Clinical outcomes
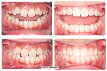
Phase I treatment was completed with the anterior crossbite successfully corrected in eight weeks using eight sets of aligners (Fig. 4). To anticipate excessive growth of the mandible during the pubertal growth spurt, the maxilla was overcorrected to a 2-3 mm excess overjet. By the end of the treatment, the intercanine width in the maxilla expanded from 25.6 mm to 29 mm. The patient is now ready for Phase 2 treatment.
A Clear View of the Future
Fig. 4: After correcting the anterior crossbite with the first eight sets of aligners (eight weeks).

Doctor commentary
The results of the treatment demonstrated that using the angelHook Maxillary Protraction Solution with facemask and angelButtons effectively helps correct mild to moderate maxillary deficiency within a four- to six-month timeframe. The inclusion of a high trimline provides additional anchorage for both maxillary expansion and protraction.

Conclusions
Anterior crossbite can be effectively corrected within eight to 12 weeks during the mixed dentition stage using the Angel Aligner system. The system’s angelHook Maxillary Protraction Solution with facemask allows for simultaneous alignment of anterior teeth along with the protraction and expansion of the maxillary arch.

To further support maxillary protraction, angelButtons and angelHooks can be utilized to facilitate Class III elastics (4-6oz per side). These elastics should be worn during the day to help maintain the maxilla in the forward position. Additionally, the use of horizontal and vertical attachments, combined with a high trimline, improves retention throughout the orthopedic protraction of the maxilla.

Overcorrection was prescribed to account for potential excessive future growth of the mandible. By the end of the treatment phase, the intercanine width in the maxillary arch had expanded by 4 mm, coinciding with the forward movement of the maxilla.

The total active tooth movement treatment period lasted four months, followed by a one-year retention phase (Figs. 2, 5). The patient was instructed to wear full palatal coverage retainers at night for one year.

The patient expressed satisfaction with the improved appearance and the ability to chew food comfortably with their front teeth (Fig. 6).

[MAGAZINE TITLE]
Fig. 5: After completion of all 16 sets of aligners. 
[MAGAZINE TITLE]
Fig. 6: Before and after intraoral images.



Author Bios
Dr. Peter Ngan Dr. Peter Ngan is a Branson-Maddrell Endowed Professor and the chair of the Department of Orthodontics at West Virginia University’s School of Dentistry. He serves as the president of AngleEast (the Eastern Component of the Edward H. Angle Society) and is a Diplomate of both the American Board of Orthodontics and the American Board of Pediatric Dentistry. He has published more than 200 original research and clinical papers in peer-reviewed journals, along with 180 abstracts, and has contributed to several monographs and textbooks. He has been invited to lecture for professional organizations in 40 countries.



Dr. Madison Smith Dr. Madison Smith is an orthodontic resident at West Virginia University, entering her third year. She completed her undergraduate studies at Radford University in Virginia, where she earned a Bachelor of Science in biology with a minor in chemistry. She then attended dental school at West Virginia University, graduating in 2023 with her DDS. 





Sponsors
Townie® Poll
Which emerging technology do you think will have the biggest impact on practice efficiency in the next 5 years?
  
The Orthotown Team, Farran Media Support
Phone: +1-480-445-9710
Email: support@orthotown.com
©2026 Orthotown, a division of Farran Media • All Rights Reserved
9633 S. 48th Street Suite 200 • Phoenix, AZ 85044 • Phone:+1-480-598-0001 • Fax:+1-480-598-3450