The Trojan Horse by Dr. Chad Foster

Categories: Orthodontics;
The Trojan Horse 

Non-surgical treatment in a Class 3 short-face patient


by Dr. Chad Foster


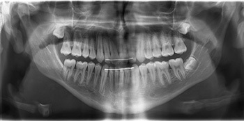
Fifteen-year-old Ethan and his mom presented to our office (Fig. 1) with a chief concern of “underbite and crowding.” During the initial exam of a patient with an anterior crossbite, the first thing my treatment coordinator will do is check for a CO/CR (centric occlusion/centric relation) slide. She will have the patient open, relax the lower jaw, touch the tip of the tongue to the roof of the mouth as far back as it can go, and then slowly bite down until first contact. Sometimes this can take a few tries. In briefing me before I meet the patient, she is always excited when she gets to inform me that we have a Class 3 patient with a significant slide.
The Trojan Horse
Fig. 1

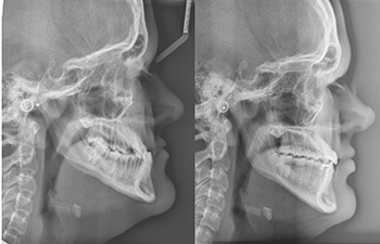
In CO, which I will refer to as position (a), Ethan showed a complete anterior crossbite with Class 3 occlusion. When Ethan rotated his mandible down and back (including the slide out of CO), his incisors could come to an edge-to-edge position when he opened to a 3 mm anterior open-bite position. I will refer to this as position (b). See Figs. 2a and 2b to compare these positions facially.
The Trojan Horse
Fig. 2a
The Trojan Horse
Fig. 2b

The facial change
In evaluating new patients, I always diagnose “outside-in” by evaluating the facial nonsmiling photos first, then the smiling photos, and then the intraoral photos. When evaluating Ethan’s facial photos in (a), the A-P disharmony dominated my initial impression. However, when I had him simulate (b), it was actually the increase in vertical that took me by surprise. This new increased lower third facial height gave much better harmony to his facial balance, profile and soft-tissue characteristics. Looking back on (a), I realized that he, by comparison, did display some common short-face characteristics that were hiding behind the glaring A-P issue.

When present in children and adolescents, I will often refer to the more aged appearance associated with a vertical facial deficiency as “little old people syndrome.” Compared to (b), the facial presentation of (a) showed compressed facial soft-tissue features, lesser vermilion display on the lips, a compressed smile window that decreased vertical incisor show, a more square frontal facial shape, and a relatively stronger chin projection.

On the other hand, (b) showed markedly more balanced facial soft-tissue features, including fuller vermilion display, a decompressed smile window, a more tapered frontal facial shape and a mild decrease in chin projection. With the hard tissue (jaws) placed in this new vertical position (b), it became clear that the soft tissue and aesthetic potential of this young man’s face was something much greater than what was permitted to be expressed in (a). Orthodontic treatment could be the path to that facial change.

The occlusal change
In Class 3 patients like Ethan (those who have a CO/CR slide and can facially tolerate or benefit from a vertical increase), in addition to the facial change, the occlusal difference from (a) to (b) is quite significant. The mandible sliding down and back decreases the magnitude of both the A-P and the transverse malocclusions.

In regard to A-P, as the mandible rotates or slides down and back, the mandibular occlusion moves posteriorly (toward Class 1) into a less severe Class 3 position. Thus the A-P burden has been decreased.

In regard to the transverse, again as the mandible rotates or slides down and back, the mandibular arch moves posteriorly into a wider part of the maxillary arch. In this position, the transverse burden to overcome has also been decreased. In short, after the CO/CR slide and in the new vertical position, the macro (facial) aesthetics of the case are greatly improved, and the severity of the malocclusion, while still present, is significantly diminished.

Treatment for Ethan
Even given the new vertical position, there are still enough skeletal discrepancies to warrant orthognathic surgery being the most ideal option here. This option was discussed with Ethan and his mom. We also discussed that if we did treat him now and future mandibular growth was unfavorable, he could likely grow out of that treatment and still need retreatment and jaw surgery down the road. Ethan’s mom and Ethan decided to elect for a compromised nonsurgical attempt at this age.

Initially, I started with upper braces only and a Class 3 bite ramp (Fig. 3) to disclude and simulate (b) See my previous article on Class 3 ramps in last month’s issue of Orthotown. Four months later (Fig. 4), lower braces were put on, and I bonded caplin hooks to the lingual of all molars for full-time (alternating crossbite pattern) vertical elastics to erupt the posterior teeth to meet the new vertical goal of (b).
The Trojan Horse
Fig. 3
The Trojan Horse
Fig. 4


Alternating crossbite pattern vertical elastics to lingual caplin hooks is the best way to erupt posterior teeth without changing their inclination as they extrude. If I had to do it over again, I would have started with these vertical elastics from Day One. The patient did a great job with the vertical elastics, and at month seven (Fig. 5) the molars were in contact, and the bite ramp was removed.

At this point Ethan’s new vertical position matched (b), and the molars had erupted into contact to support this position. The vertical elastics continued, now just at night, through most of his remaining months in treatment to prevent relapse of the extruded molars and loss of the new vertical position. Some Class 3 elastics were used as well, but vertical elastics were the most heavily used.

Figure 6 shows progress through month 16. Upper incisors were not flipped, and SAP bracket positioning (à la Tom Pitts) was used to cheat the occlusal plane in favor of more upper incisor show (Class 3 patients are quite often deficient in vertical incisor show). A noticeable change in the occlusal plane is apparent on cephalometric comparison, reflective of this SAP bracket positioning. This increased vertical incisor show is expressed well within his now decompensated (taller) smile window allowed by (b).
The Trojan Horse
Fig. 5
The Trojan Horse
Fig. 6


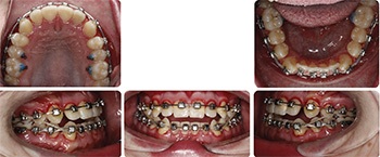
The case finished in 21 months (Figs. 7–10). Ethan will be monitored until growth is complete, and he and his mom are aware of the possibility of relapse if remaining growth is unfavorable.
The Trojan Horse
Fig. 7
The Trojan Horse
Fig. 8
The Trojan Horse
Fig. 9
The Trojan Horse
Fig. 10


A meaningful treatment
I have one final thought to close with. When I posted this case online two years ago, the discussions were quite lively. Many orthodontists were critical of starting treatment on this 15-year-old boy, who still shows a tendency toward excessive mandibular growth, even when taking the CO/CR slide into account.

Those who held that opinion felt the chance Ethan would outgrow the treatment at this age was too high and that it would not be worth treating him now just to very likely retreat him later with surgery. I want to acknowledge that while those holding that opposing view may eventually be proven right, I still would absolutely choose to treat him now, all things considered.

First, even if his growth is unfavorable and he needs treatment again later, this compromised treatment did not grossly further compensate his tooth positions to make the subsequent treatment significantly more difficult in decompensation.

Most importantly, between the formative ages of 16 and 21 (after which he would potentially have that surgical treatment if growth was unfavorable), Ethan will go through those high school and college years with the face of (b) and not the face of (a). The psychosocial impact of that on him goes well beyond facial aesthetics. His mom states that his friends and relatives can’t believe the transformation that has occurred and that he is a much different and more confident version of himself.

It’s easy for us to tell a patient “See you back next year” as we monitor them yearly until growth is complete. I do it quite frequently with severe mandibular excess patients that I know are destined for surgical treatment. Like everything, case selection and proper diagnostic vision are the key.

But believe it or not, there is a lot of life that those patients actually live and experience between their brief yearly growth or observation encounters with the orthodontist. The next five years for Ethan are not insignificant. The impact this treatment had on those five years and those thereafter cannot be overstated.

In the right cases, the ability of orthodontists to dramatically and nonsurgically play the role of facial orthopedists is singular. It is well beyond the ability of any other health care provider in the billion-dollar world of facial aesthetics, bar none We do more than just move teeth, my friends. OT


Author Bio
Dr. Chad Foster Dr. Chad Foster is Orthotown’s editorial director, a board-certified orthodontist and owner of Butterfly Orthodontics in Phoenix. A graduate of Chapman University, he earned a Doctor of Dental Surgery and a master’s degree in craniofacial biology and completed his orthodontic residency at the University of Southern California. Foster writes and lectures internationally on the topic of orthodontic aesthetics.




Sponsors
Townie® Poll
What percentage of your treatments involve traditional ortho (brackets, wires, etc.)?
  
The Orthotown Team, Farran Media Support
Phone: +1-480-445-9710
Email: support@orthotown.com
©2025 Orthotown, a division of Farran Media • All Rights Reserved
9633 S. 48th Street Suite 200 • Phoenix, AZ 85044 • Phone:+1-480-598-0001 • Fax:+1-480-598-3450