Managing a 9-Year-Old Patient Missing 5s and 7s

Categories: Orthodontics;
Managing a 9-Year-Old Patient Missing 5s and 7s
Straight Talk draws its cases and discussions from the Orthotown message boards. Written by the editorial team with the assistance of AI, each article showcases how orthodontists tackle unusual and challenging scenarios.
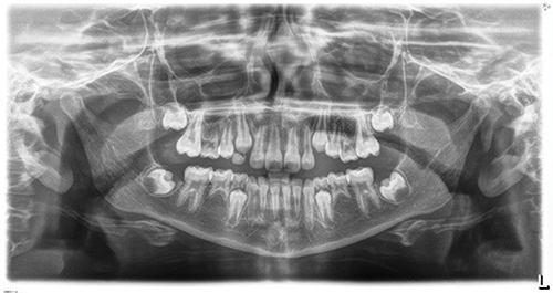
When a 9-year-old patient presents missing all four second premolars (5s) and second molars (7s), the treatment planning can be tricky. The discussion on the message boards raised the question of timing extractions and how to encourage natural drift without compromising the facial profile (Fig. 1).

Commenters shared that while they were inclined to extract the Es, they worried about insufficient mesial drift. “I’d like to extract her Es, but I worry I won’t get enough mesial drift to prevent profile changes. I’ve considered warning mom that we may need a palatal TAD to support the maxillary 3-3 position if we don’t get a lot of drift.”

Another contributor suggested waiting until the 3s and 4s erupt, noting that doing so might also help stimulate the eruption of the 8s. Others agreed that timing would be key, and that allowing additional eruption before intervention could provide a clearer picture of space management and potential drift (Figs. 2-4). Still, some clinicians favored a more proactive approach, suggesting that early extraction of the E’s might encourage the 6s to drift mesially and simplify future treatment.

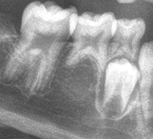
One orthodontist stepped in to clarify that the 7s appeared present, with likely absence of 8s, and pointed out that at only 9 years old, tooth development could still surprise them. “This is the kind of case where you extract the Es, take a panoramic in two years, and suddenly some of the 5s have started to form” (Fig. 5).
Managing a 9-Year-Old Patient Missing 5s and 7s
Fig. 1
Managing a 9-Year-Old Patient Missing 5s and 7s
Fig. 2
Managing a 9-Year-Old Patient Missing 5s and 7s
Fig. 3
Managing a 9-Year-Old Patient Missing 5s and 7s
Fig. 4
Managing a 9-Year-Old Patient Missing 5s and 7s
Fig. 5


That observation sparked several anecdotes. One doctor recalled finishing a case with missing 5s, only to receive a call from the general dentist a few years later with a new X-ray showing premolars that had since erupted. Another confirmed having seen similar late-developing and even supernumerary teeth appear in adolescence.

The conversation then turned to long-term strategy and philosophy. Some questioned the need for extractions at all. Others argued that, assuming the bicuspids truly were missing, it would be better to allow natural teeth to drift and close the space rather than plan for future implants. Lower Es can sometimes last for years, but not indefinitely, and upper Es tend to fail sooner. Early removal of Es, combined with “driftodontics,” was described as an effective way to simplify future orthodontic treatment.

Another recommended a staged approach, removing each E in two parts (a hemisection), while using a functional appliance such as an activator to maintain vertical dimension and guide sagittal correction before bonding fixed appliances. Others liked the idea but noted the difficulty in finding general dentists willing to perform the technique correctly.

Several participants proposed alternatives, including extracting the Es and using short space maintainers to guide the 6s, or preparing for possible future TADs to assist with anchorage and anterior control if drifting proved insufficient. There were also radiographic comments noting that the developing tooth buds suggested atypical eruption sequencing.

One contributor mentioned a JCO article from July 2014 as an additional reference, while another offered a more conservative view. They argued against extraction, preferring to preserve alveolar bone and the patient’s natural profile for as long as possible. “If she loses one or more of the primary teeth years from now,” they wrote, “we may one day be able to grow a new tooth in its place—or, at least, have the bone volume for future implants.”

The thread closed with a question about whether extraction truly risks “spoiling the profile,” leaving room for thoughtful debate. It’s a case that highlights how much judgment and experience factor into treatment planning for young patients with congenital absence of teeth. What do you think? Does early extraction set the stage for better long-term outcomes, or does delaying extraction help preserve growth potential and facial balance? 

Join the Conversation!


Sponsors
Townie® Poll
Which emerging technology do you think will have the biggest impact on practice efficiency in the next 5 years?
  
The Orthotown Team, Farran Media Support
Phone: +1-480-445-9710
Email: support@orthotown.com
©2026 Orthotown, a division of Farran Media • All Rights Reserved
9633 S. 48th Street Suite 200 • Phoenix, AZ 85044 • Phone:+1-480-598-0001 • Fax:+1-480-598-3450