The Architects of the Lips: Part 3 by Dr. Chad Foster

Categories: Orthodontics;
The Architects of the Lips: Part 3Flared upper incisors and lip position

by Dr. Chad Foster


The August 2020 issue of the American Journal of Orthodontics and Dentofacial Orthopedics featured an article titled “Evaluation of the Ideal Position of the Maxillary Incisors Relative to Upper Lip Thickness.” The authors found that for patients with thin lips, raters (60 laypeople, 60 dentists, and 60 orthodontists) preferred the non-smiling facial profiles of subjects who showed maxillary incisors at a more protrusive position than normal. They further concluded that a correct skeletal scheme or Class I occlusion does not necessarily result in ideal facial harmony.

I found this study very interesting. As orthodontists, we need to balance the aesthetic needs of what are, in some circumstances, competing traits. Obviously, no one, including myself, likes the look of protruded or “flared” upper incisors. This is one of the most common chief complaints of our patients. However, as we touched on in Part 2 of this series, modern aesthetic preferences favor (within reasonable limits) a slightly fuller or more forward position of the lips within the face. This leaves orthodontists with a unique challenge: How much retraction is truly best in cases where there are maxillary incisors outside the aesthetically ideal AP position, but where that same position directly supports an aesthetically pleasing, mildly forward lip position?

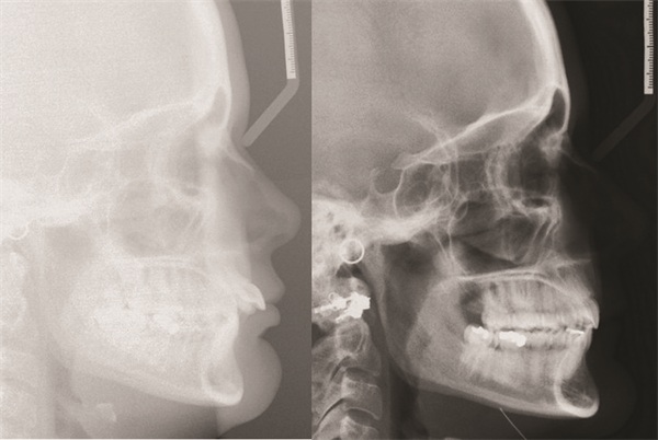
I treated 26-year-old Tara in 2018. Her chief complaint was the unaesthetic appearance of her flared upper teeth. Comprehensive treatment with braces, along with extraction of upper first bicuspids, allowed us to meet our goals in 23 months. Tara was very happy at the end of her treatment. Her lifelong insecurity about her unaesthetic flared upper teeth was completely resolved. Additionally, her teeth were straight, and she had a well-functioning occlusion (Figs. 1–4).

On assessment of my pre- and post-treatment records, I was also satisfied with many aspects of the case, including the alignment, occlusion, overjet reduction, aesthetic arch width, and aesthetic vertical position of the maxillary incisors within the smile. I felt good about the mini-aesthetic (smile) and micro-aesthetic (dental) outcome.

The Architects of the Lips: Part 3
Fig. 1

Late into Tara’s treatment in 2020, I had just begun looking at my cases from an “outside-in” perspective, with an emphasis on prioritizing macro-aesthetic facial features when evaluating all pre-treatment and post-treatment records. This was in large part because of my lengthy time away from practice during the COVID-19 shutdown, which allowed me to read Dr. David Sarver’s book Dentofacial Esthetics: From Macro to Micro. It’s the only book I’ve ever read that I immediately began rereading after finishing.

With a new perspective, I evaluated Tara’s treatment outcome. While I was still satisfied with many aspects of the final results, I was not nearly as happy with the subtle but noticeable change to her soft-tissue facial profile, particularly her lips and circumoral presentation. The amount of incisor retraction achieved through our treatment was more than enough to address the chief complaint of flared teeth, but it also, in my view, went a bit too far in reducing the fullness and forward position of her lips.

Yes, some degree of lip retraction was indicated based on the mild lip incompetence shown in the pretreatment records, but it seemed to me that I had overshot it. Outside of just the lips, her circumoral volume also seemed more deflated or sunken. Her final photos show more pronounced nasolabial folds, downward lateral commissures, and the appearance of marionette lines. Additionally, her chin projection, because of her retracted lips, now appeared relatively more forward. To me, the treatment that took two years appeared to have taken 10 years.

The Architects of the Lips: Part 3
Fig. 2

The Architects of the Lips: Part 3
Fig. 3

The Architects of the Lips: Part 3
Fig. 4

After treating Tara, 12-year-old Nicole and her mom came to my office. She had been through a brief early treatment with another practice, and their chief complaint was “excess overbite/flared front teeth.” Her presentation immediately brought Tara’s case to my mind (Figs. 5–9).

In my appraisal, Nicole presented a conundrum regarding maxillary incisor and lip position. Obviously, correction of the protrusive upper incisors to establish ideal labiolingual axial inclination was of primary importance in this case (to the patient and parents as well). However, I very much liked the presentation of her lips, and did not wish to reduce their A-P position.

I specifically asked Nicole and her mom about her lips in that initial meeting. I think that it is extremely important to do in cases that could involve significant A-P change of the maxillary incisors. It is my strong opinion that orthodontists should always discuss lip position in cases that involve maxillary incisor retraction.

Nicole and her mom stated that they would like her upper teeth “moved back” out of their protrusive position. I then asked if they liked her lip presentation, if they would like her lips “moved back,” and if so, how much. Their response was clear and without hesitation: They liked her lip position and would not like them to be retracted at all during treatment, if possible.

Since 2020, I have had hundreds of exam conversations specifically about lips with patients where incisor retraction may be involved. What Nicole and her mom stated is by far the most common response from patients that show mild to moderate forward lip position secondary to mild to moderate upper incisor protrusion.

The other macro (facial) feature that added to the complexity for Nicole was her prominent chin. In my opinion, her excess chin projection was the single facial trait most out of aesthetic balance in this otherwise beautiful face. It was clear to me that there were two aspects of orthodontic treatment that could iatrogenically worsen this sensitive trait. First, any noticeable retraction of her lips would, by relation, act to further highlight this chin prominence. Second, any decrease in her lower one-third facial height would lead to counterclockwise rotation of the mandible and result in an even more forward position of that chin.

The Architects of the Lips: Part 3
Fig. 5

The Architects of the Lips: Part 3
Fig. 6

The Architects of the Lips: Part 3
Fig. 7

I felt confident that extracting two upper bicuspids (either first or second) would allow me to retract the protrusive upper incisors. I was concerned, however, that the total amount of retraction offered by those extractions could directly impact lip retraction more than desired. I was also concerned that extractions could tend to favor overall vertical closure both during treatment and posttreatment.1 Again, my goal during and after treatment for Nicole, because of excess chin prominence and her “square”/brachy frontal facial form, would be to limit any decrease in her lower one-third facial height.

For these reasons, based on her unique aesthetic presentation, I decided to opt for a nonextraction treatment plan for Nicole.

For Nicole, I preferred idealizing her excessive upper incisor labiolingual inclination while only mildly retracting their A-P position. Mechanically, this was achieved via inverting her four upper incisor brackets to reverse the labiolingual torque, conservative interproximal reduction (0.4 mm between each contact U3–3 and L3–3), mild arch expansion (Dynaflex Norris extra-broad NiTi wires), and Class II elastics. The case was treated in 22 months.

Evaluating the case from “outside-in,” I am satisfied posttreatment with the unique macro/facial features that needed to be controlled. Her pretreatment A-P lip position, which was favored by Nicole and her mom, was well preserved, with only very minimal reduction to her forward position. Additionally, Nicole’s lower one-third facial height slightly increased during this treatment (SN-GoGn and FMA increased by 2 degrees). The eruptive nature of the Class II elastics likely played a role in this (Figs. 7–8).

Also important to consider, Nicole is brachyfacial with well-developed masseters. She has a type of facial pattern that will naturally favor vertical closure with aging. The fact that we have met our aesthetic treatment goals while retaining her full complement of dentition to support the maintenance of her lower one-third facial height is, in my opinion, meaningful. The more she vertically closes over time, the more the dominant unaesthetic feature within her face (chin projection) becomes more dominant and the more “square” her frontal facial form becomes (as opposed to the more natural tapered/ovoid frontal facial shape which is associated with a more balanced lower 1/3 facial height).

Upper incisor labiolingual inclination (U1-SN) decreased from 129 to 107 degrees. It is also important to note that the Class II elastics also advanced her lower incisors significantly, IMPA increased from 89 degrees to 99 degrees.

Many orthodontists, and especially those strongly in favor of upper bicuspid extractions in this case, might feel that this forward lower incisor change is inappropriate, and by traditional views favoring preservation of pretreatment lower incisor position, that is worth considering.

In addition to considering the quantitative change in the IMPA (“the math”), I would also request consideration of a few “non-math” variables. In my opinion, those would be her facial and smile aesthetics.

Looking at Nicole’s side smiling photo, notice the A-P position of the upper incisors within her smile and within her face (Fig. 9). This is important. Had we retracted her incisors to a greater degree (like we did for Tara by extracting bicuspids), we definitely could have fully reduced the overjet without any lower incisor advancement. In that way the pretreatment IMPA could have been preserved.

But look again at the upper incisor position within her side smiling profile. I would ask what I feel is an important question: Within that face and within that smile, would you aesthetically prefer those upper incisors to be further set back? Should they have been retracted further? Any small bit?

Yes, aesthetics is subjective, but I personally would answer an emphatic no to that question. Within the global aesthetic perspective of her other facial features, I would not at all desire those upper incisors even a half a millimeter more retracted.

The two cases and discussion presented in this article are not intended to be trivialized into a political argument against orthodontic bicuspid extractions. I know that some will unfortunately minimize this discussion to such—so be it. As someone who places a high priority on facial and smile aesthetics, extracting bicuspids is one of the most powerful tools we have available to us as orthodontists to offer life-changing aesthetic enhancement to certain patients.

Some of my most memorable aesthetic “before and after” cases were made possible through bicuspid extraction spaces. Like any treatment decision, however, case selection is of paramount importance. Incisor retraction and how that can impact lip presentation and aesthetic “projection” of the upper incisors (a Sarver term) is much more than a “math” problem, a cephalometric problem, or an occlusal problem.

I will close with a quote from Dr. Larry Andrews:

“Internal landmarks are not clinical. Society, our ultimate critic, uses external landmarks and referents for judging facial harmony. Orthodontists should too.

“Patients and parents do not know how to differentiate facial changes that occur during orthodontic treatment….most patients are generally grateful for any improvement of their original condition, especially crowding and overjet.

“Many patients would not be satisfied with the AP portion of their treatment if they knew what could have been done relative to what was done.” 
The Architects of the Lips: Part 3
Fig. 8
The Architects of the Lips: Part 3
Fig. 9


References

1. Chua AL, Lim JYS, Lubit EC: The effects of extraction versus non-extraction orthodontic treatment on the growth of the lower anterior face height. Am J Orthod Dentofacial Orthop 104: 361–368, 1993.


Author Bio
Dr. Chad Foster Dr. Chad Foster is Orthotown’s editorial director, a board-certified orthodontist and owner of Butterfly Orthodontics in Phoenix. A graduate of Chapman University, he earned a Doctor of Dental Surgery and a master’s degree in craniofacial biology and completed his orthodontic residency at the University of Southern California. Foster writes and lectures internationally on the topic of orthodontic aesthetics.



Sponsors
Townie® Poll
Historically, which area has the most turnover in your office?
  
The Orthotown Team, Farran Media Support
Phone: +1-480-445-9710
Email: support@orthotown.com
©2026 Orthotown, a division of Farran Media • All Rights Reserved
9633 S. 48th Street Suite 200 • Phoenix, AZ 85044 • Phone:+1-480-598-0001 • Fax:+1-480-598-3450