Surgery Off the Table

Surgery Off the Table
Straight Talk draws its cases and discussions from the Orthotown message boards. Written by the editorial team with the assistance of AI, each article showcases how orthodontists tackle unusual and challenging scenarios.
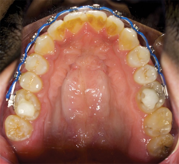
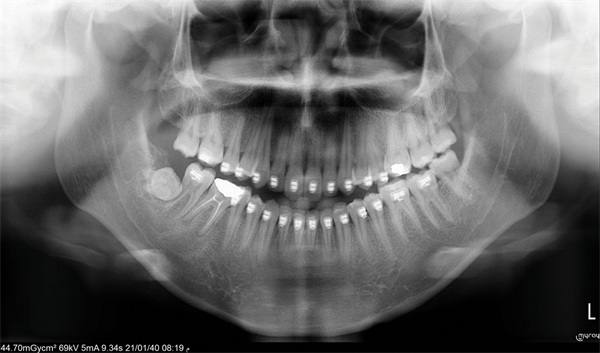
Orthodontic records have a way of reframing everything. A young adult male arrived at a new practice after two years of treatment initiated by a general practitioner, with an anterior open bite that had not improved, and a patient who had run out of patience. The incoming orthodontist cleared the existing hardware, referred for hygiene, and took new records. What came back was not a dental problem dressed up as something complicated. It was a skeletal case that had never been properly identified, and now the question was not how to finish the original plan but whether any realistic path forward existed at all.

The cephalometric findings pointed clearly toward vertical maxillary excess. The asymmetric molar relationships, increased lower facial height, and posterior crossbite tendency all reinforced a picture that self-ligating brackets and wire changes were never going to resolve. The community’s response was equally clear: The ideal treatment is orthognathic surgery. The harder question was what to do when surgery is not a viable option (Figs. 1–10).
Surgery Off the Table
Fig. 1
Surgery Off the Table
Fig. 2
Surgery Off the Table
Fig. 3
Surgery Off the Table
Fig. 4
Surgery Off the Table
Fig. 5
Surgery Off the Table
Fig. 6
Surgery Off the Table
Fig. 7
Surgery Off the Table
Fig. 8
Surgery Off the Table
Fig. 9
Surgery Off the Table
Fig. 10

Before any treatment planning conversation could move forward, one Townie raised a foundational concern: The incoming records may not yet be sufficient. Working with mounted casts was suggested as a prerequisite given the complexity of the case. The asymmetric molar relationships and transverse discrepancy made it difficult to fully assess arch coordination from photographs and radiographs alone.

For those who agreed surgery was the ideal answer, the specifics centered on maxillary impaction to address the vertical excess and gummy smile, with the transverse skeletal discrepancy potentially requiring a staged approach depending on the magnitude of the deficit. Whether that could be accomplished in a single procedure or would need expansion first was left open, contingent on model analysis. The facial photographs made the vertical component hard to argue with.

When surgery is off the table because of cost or access, the discussion must shift to what camouflage could realistically accomplish. TADs for posterior intrusion came up consistently, with several orthodontists noting that the bite turbos placed during the original treatment had likely allowed further posterior eruption, compounding the open bite. Myofunctional therapy was recommended to address tongue posture as a contributing factor. Wisdom tooth removal was suggested to make intrusion and potential distalization more manageable. One Townie offered a more conservative read: banding the upper second molars and repositioning the upper first molars buccally to improve posterior occlusion, or trialing a posterior bite plate for molar intrusion as a lower-intervention option. Several orthodontists cut straight to it and recommended removing the brackets entirely, allowing a rest period, taking fresh records, and replanning the case from the beginning before any active treatment resumed.

A separate but pointed thread in the discussion questioned whether the incoming orthodontist should be managing this case at all. The general practitioner who initiated treatment had made a specific promise to the patient and had missed a skeletal diagnosis that fundamentally shaped everything that followed. Some Townies felt that responsibility should stay with the clinician who created the situation rather than transfer along with the patient.

What this case puts in sharp relief is the gap between the textbook answer and the available one. Orthognathic surgery is the correct treatment for vertical maxillary excess with an anterior open bite and increased lower facial height. But correct and accessible are not always the same thing, and orthodontists working in environments where surgery is financially or logistically out of reach face a different set of decisions than the clinical literature tends to address. Camouflage has limits, and those limits matter more in some cases than others.

When the skeletal diagnosis is clear and the surgical solution is evident, but the patient cannot access it, how do you define a successful outcome, and at what point does attempting camouflage cross from reasonable compromise into setting the patient up for a result that will not hold? 

Join the Conversation!


Sponsors
Townie® Poll
Historically, which area has the most turnover in your office?
  
The Orthotown Team, Farran Media Support
Phone: +1-480-445-9710
Email: support@orthotown.com
©2026 Orthotown, a division of Farran Media • All Rights Reserved
9633 S. 48th Street Suite 200 • Phoenix, AZ 85044 • Phone:+1-480-598-0001 • Fax:+1-480-598-3450