From Underwater to Unstoppable by Dr. Jacquee Schieck

From Underwater to UnstoppableRedefining orthodontic success with customization, remote monitoring, and intentionality

by Dr. Jacquee Schieck


When I first entered private practice as an associate, I was newly pregnant and filled with both determination and uncertainty. I was committed to delivering exceptional care, but I hadn’t yet learned how to advocate for myself. I accepted just two weeks of maternity leave, convinced I should feel grateful simply to be in the room. That early decision set a tone I didn’t recognize at the time: I was already compromising what mattered most in the name of “doing it all.”

Those early years of associateship helped me hone in on my values. I knew I wanted a more sustainable practice life—something built with intention, not just ambition. When I opened my practice in 2014, I wasn’t just building a clinic. I was building a culture grounded in authenticity, generosity, clinical excellence, and balance.

Starting a business with a toddler and a newborn was far from easy. I was pulled in every direction. I would run home between exams to nurse and remember a moment when a team member pulled a stray Cheerio from my hair while I was bent over the patient in front of me. Outwardly, I kept it together and showed up every day for my family, patients, and team. Internally, I was being stretched thin, pushing myself to maintain impossible standards without knowing how to ask for or receive help.

From Underwater to Unstoppable
Fig. 1: Pretreatment extraoral photographs
From Underwater to Unstoppable
Fig. 2: Pretreatment intraoral photographs

Over time, I realized that pushing forward without strong internal systems to support my vision was not sustainable. That realization, born from a desire for growth and intentional practice, prompted me to shift my approach and build a more balanced and effective way of working before reaching a breaking point.

I pivoted into making decisions not from a place of survival, but from a place of strategy and sustainability. I began working with coaches and consultants, building stronger systems and incorporating technology into patient care and practice operations.

I didn’t implement digital tools just to keep up. I chose them to enhance precision, reduce inefficiency, and create space—for my patients and team to have a better experience, and for me to lead without sacrificing my wellbeing. Digital workflows allowed me to elevate my quality of care while reclaiming the flexibility that had long felt out of reach.

Rather than lowering standards, I redesigned the systems that supported them.

To fellow orthodontists who feel the weight of patient care, business ownership, and personal sacrifice: I see you. The pressure is real—but so is the opportunity. You can lead a practice that reflects both your professional values and your personal priorities. You can innovate not to work harder, but to work smarter—and live better.

Technology isn’t just about efficiency. It’s about sustainability. And for me, it’s been a catalyst for building something stronger, more intentional, and far more aligned with the future I want to have.

From Underwater to Unstoppable
Fig. 3: Pretreatment OPG and lateral cephalogram

The digital shift
As I began to shift my mindset, I started looking closely at my systems. Where was I spending the most time? What decisions were being repeated over and over? What could be automated, delegated, or redesigned? That’s when I realized digital transformation wasn’t just about being modern or “cool,” it was about being intentional and better.

When I opened my practice in 2014, we implemented digital impressioning from Day 1. In 2018, we introduced 3D-printed bands to eliminate separator appointments and improve fit and predictability. That same year, I began offering custom lingual braces to give patients a digitally-designed fixed aesthetic option while allowing me to incorporate delegated indirect bonding to my clinical workflow.

In 2019, CBCT imaging was added to enhance diagnostics, especially for airway evaluation, skeletal patterns, and root positioning. By 2020, we had fully embraced a custom-only approach with the LightForce system. Having braces designed around my treatment plan—not the other way around—gave me a level of control and precision I hadn’t experienced before.

Finally, in 2022, I implemented DentalMonitoring. That was the final piece of the puzzle. With weekly virtual oversight, I could track progress, catch issues early, and only bring patients in when truly necessary.

Each step served a purpose. None of it was tech for tech’s sake, although there is always the “fun” factor for me as well. These were intentional choices, designed to support my patients, my team, and the kind of practice—and life—I wanted to build.

Real-life clinical impact: Meet Ruby
Ruby, a 14-year-old female patient, presented with crowding of the upper incisors, Class II malocclusion, over-retained primary second molars, a midline discrepancy, and narrow arch forms (Figs. 1–3). We initiated treatment using the LightForce system, combined with remote monitoring through DentalMonitoring.

Traditionally, a comprehensive case like this would have required 18 to 24 months of treatment and frequent in-office visits to guide wire progression and track dental development. Instead, we used DentalMonitoring Goals to take a more proactive and responsive approach (Fig. 4). We monitored for archwire passivity to determine optimal timing for wire changes, tracked the loss of deciduous teeth, and set Class I canine relationship as a defined endpoint.

Instead of following the traditional path of four-to-eight-week appointment intervals, we maintained weekly oversight through DentalMonitoring, scheduled only eight in-office appointments, and, in some phases, extended visit intervals to as much as 16 weeks (Fig. 5).

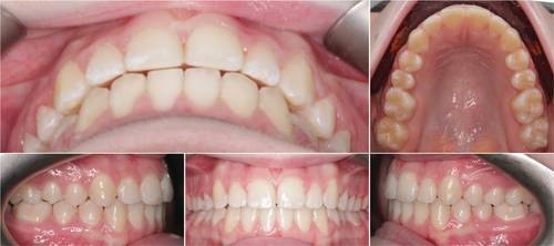
Ruby’s journey reflects the clinical precision, scheduling flexibility, and patient-centered efficiency that become possible when digital tools are used not just for convenience, but with intention (Figs. 6–8).

From Underwater to Unstoppable
Fig. 4: Canine Class I goal achieved notification on DentalMonitoring

From Underwater to Unstoppable
Fig. 5: The scheduling workflow with DentalMonitoring

Efficiency metrics and practice impact
Everything I’ve changed in my practice—from custom appliances to remote monitoring—has been rooted in one goal: To improve experience and efficiency without compromising care. These weren’t aesthetic upgrades or tech for tech’s sake. They were intentional choices to improve quality, simplify workflows, and reclaim time for myself, my team, and my patients.

In 2018, we averaged 21 in-office visits per fixed comprehensive patient. By 2024, that number was closer to 12, a reduction of more than 40%. At the same time, the value per visit more than doubled, and our net production increased by 2.5x (Fig. 9), all without increasing the number of clinical days (Table 1).

For patients and families, fewer visits mean fewer missed school and workdays. For my team, fewer appointments translate to calmer days and more focused care. For the practice, this means operating more efficiently and improving profitability while maintaining treatment outcomes.

From Underwater to Unstoppable
Fig. 6: Posttreatment extraoral photograph
From Underwater to Unstoppable
Fig. 7: Posttreatment intraoral photographs

From Underwater to Unstoppable
Fig. 8: Posttreatment OPG and lateral cephalogram

From Underwater to Unstoppable
Fig. 9: Appointments, value per visit, and production over time

Closing reflections
If I could go back and speak to the version of myself just starting out—determined, tired, and unable to release the grip on things for fear of losing control—I’d tell her this: You don’t have to do it all yourself to do it well.

Delegation and leaning on technology for support isn’t lowering your standards. It’s creating space to engage and empower your team, to create smarter systems that support your vision, and to focus your time on what matters most to you. The practice I have today isn’t less committed, less clinical, or less ambitious; it’s just more intentional—and more fun.

Every decision to delegate, to digitize, to rethink what was “normal” brought me closer to the kind of practice—and life—I actually wanted. 


Author Bio
Dr. Jacquee Schieck Jacquee Schieck, DDS, is a board-certified orthodontist who completed her orthodontic residency at the University of Minnesota in 2010. She earned her DDS summa cum laude from the University of Missouri–Kansas City and is an active member of the American Association of Orthodontists. She hosts a local Spear Study Club and plays bass in the orthodontist band Relapse.



This content is sponsored by Dental Monitoring. For more information, visit dental-monitoring.com.


Sponsors
Townie® Poll
Historically, which area has the most turnover in your office?
  
The Orthotown Team, Farran Media Support
Phone: +1-480-445-9710
Email: support@orthotown.com
©2026 Orthotown, a division of Farran Media • All Rights Reserved
9633 S. 48th Street Suite 200 • Phoenix, AZ 85044 • Phone:+1-480-598-0001 • Fax:+1-480-598-3450