The Breathing Blueprint by Dr. Daniel J. Grob

Categories: Orthodontics;
The Breathing BlueprintAirway aware orthodontics in everyday practice

by Dr. Daniel J. Grob


“Of all of the various causes of malocclusion, mouth breathing is the most potent, constant, and varied in its results.”

That observation, written by Dr. Edward Angle in his 1907 textbook Treatment of Malocclusion of the Teeth1 is one that many orthodontists were not formally exposed to during training.

The time has come to explore this concept further. Dentists, medical doctors, and more specifically orthodontists, along with their patients, are taking notice.

What is airway orthodontics, and who is qualified to be an “airway dentist” or “airway orthodontist”?

Like other non-specialties within the broad spectrum of dental practice, the “airway” title is one that is chosen rather than one that is conferred, as with the few ADA-recognized dental specialties. The lack of specialized certification does not, however, mean that the topic is off-limits or invalid.

Many clinicians have pursued additional education, research, and clinical experience related to airway health and its relationship to craniofacial growth. Others may encounter airway-related concerns through routine orthodontic diagnosis and patient history.

My own approach has been to remain aware of the ongoing controversies, understand the fundamentals of diagnosis and referral, and continue educating myself, patients, and parents on how orthodontic findings may intersect with breathing, growth, and sleep-related concerns.

Most importantly, impaired breathing patterns can directly contribute to the malocclusions observed in daily practice, underscoring the relevance of Angle’s observation more than a century ago.

History
In 1981, Dr. James McNamara published a research paper describing changes in four patients because of mouth breathing or altered breathing following surgical intervention.2

His conclusion, based on patients who received no upper airway orthodontic intervention but underwent adenoidectomy, tonsillectomy, or pharyngeal flap surgery, was that facial growth characteristics did change. Patients with persistent nasal obstruction demonstrated increased facial height, while those with corrected airway obstruction exhibited deepening of the bite.

Many of us have probably noticed this in our practice on an anecdotal basis.

However, with the advent of cone-beam computed tomography (CBCT) and the rise in awareness of obstructive sleep apnea (OSA), we now study patients more closely.

To help guide us, the American Association of Orthodontists (AAO) in 2019 created a task force to examine the complexities involved in performing a thorough diagnosis and screening examination and suggested referral guidelines to help our patients with airway obstruction of varying degrees.3

While not endorsing specific treatments, the task force commented on many contributing factors and items to look for when treating the wide variety of patients a typical orthodontist encounters daily.

In the resulting report, topics mentioned included:
  • The multifactorial etiology of OSA, including neurological and anatomical factors.
  • A prevalence in the range of 15%, with men more affected than women.
OSA is one of the more underdiagnosed medical conditions, with a prevalence ranging from 10% to 20%.

Medical diagnosis remains essential, with polysomnography (PSG), interpreted by a sleep medicine specialist, considered the gold standard. The AAO report also referenced commonly used screening questionnaires, including the Pediatric Sleep Questionnaire (PSQ) and the STOP-BANG questionnaire [links to access the official forms are available in the online version of this article], and noted correlations between airway outcomes and various orthodontic and surgical interventions, including oral appliances, maxillary expansion, and jaw surgery.

Dr. Louis Chmura, an orthodontic clinician with first-hand experience as a patient with obstructive sleep apnea, authored an extensive paper with a comprehensive bibliography illustrating the complexity of airway evaluation.4

In his paper, Chmura describes several measurements and diagnostic tools used to confirm the diagnosis of OSA or sleep-disordered breathing (SDB), including:
  • Apnea-hypopnea index (AHI), representing the number of apnea events per hour, with values of approximately five indicating low risk and greater than 30 indicating severe disease
  • Pediatric Sleep Questionnaire
  • Head posture and adenoid facies associated with poor breathing
  • Nasal and skeletal anatomy determinants
  • Neck size and tongue tie showing a loose correlation to OSA
  • Enlarged tonsils and adenoids affecting breathing and development
  • Gastroesophageal reflux disease (GERD) as a potential side effect of OSA
  • Clenching and grinding as possible responses to compromised breathing during sleep
Chmura highlights that CBCT airway evaluation is helpful but highly variable, cautioning clinicians to use associated measurements, such as minimum cross-sectional area (MCA), as a guide to treatment and diagnosis rather than a definitive finding of OSA. The reported normal range for MCA is 50 mm (higher risk of OSA) to 150 mm (lower risk of OSA).

In addition to these two well-documented papers, Dr. Audrey Yoon, a pediatric dentist and orthodontist with extensive knowledge and experience in sleep medicine, has created a pathway and roadmap for intervening in patients whose history indicates a possible need for treatment.5

In her paper, Yoon describes the prevalence of OSA and SDB and offers suggestions on treatment based on patients’ skeletal and chronologic age.

Yoon also highlights that many SDB patients are treated with tonsillectomy and adenoidectomy surgery only, noting that orthodontic intervention plays a significant role in young patients.

Of interest to most orthodontists is the chart outlining the appropriate timing of palatal expansion to increase palatal width and, of course, the nasal floor:
  • 0 to 8 years for removable or fixed slow expanders
  • 6 to 15 years for conventional rapid maxillary expansion (RME)
  • 10 to 35 years for TAD-supported RME
  • 18 years and older for surgically-assisted RME
The roadmap proposed by Yoon is in its infancy and is being gradually adapted and embraced by clinicians across specialties.

Taken together, the existing literature highlights the complexity involved in developing a comprehensive understanding of airway considerations within orthodontic practice. Much like the evolution of TMJ-focused care into a distinct area of emphasis, some orthodontists elect to pursue additional training and interdisciplinary collaboration, while for many others, developing an informed understanding of airway-related diagnostic considerations and treatment pathways represents a worthwhile and relevant endeavor within everyday orthodontic practice.

Screening and referral protocol
I have developed a streamlined screening and referral process that has allowed our team to identify many patients who may be at risk or in need of further evaluation, based on the NPE protocol previously published.6

Rather than subjecting parents to extensive questionnaires, I prefer to talk about the complications of poor breathing as I work through the clinical and diagnostic record exam.

My review of a patient’s records begins with ABO-style photographs, conventional panoramic and lateral X-rays, and CBCT volumes.

The photographs reveal facial and intraoral bony anatomy as well as the dental compensations of the teeth within the alveolar housing, often referred to as the “smile bones.”

CBCT imaging highlights the airway, including MCA measurements and, perhaps most importantly, the maxillary width as described by McNamara.7 Tongue posture is evaluated with attention to the position of the tip and the space between the palate and the dorsum of the tongue.

Patient case reports
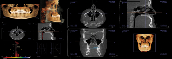
Patient one: Refer to ENT (Figs. 1–3)
The first patient was an almost 9-year-old girl referred for crowding. Her history included mouth-breathing, snoring, and an inability to breathe effectively through her nose. After discussion of airway concerns, it was noted a previous ENT physician had told the family there was no need for intervention.

Facial evaluation revealed an angular facial pattern with a retrusive mandible. The smile bones were tipped inward, accentuating the Curve of Wilson, and the buccal corridors were dark. The panoramic X-ray showed crowding primarily in the anterior. The second molars appeared to have adequate room to erupt. The lateral cephalometric view showed a Class II tendency and an open bite. The airway view on CBCT demonstrated an adequate MCA, but poor tongue posture and enlarged adenoids were noted. The palatal width was 28 mm, well under the 31 mm suggested by McNamara.

The family was given a second referral to an ENT surgeon, who removed the tonsils and adenoids. Phase I treatment was initiated to include maxillary expansion and alignment of the mixed dentition. Progress X-rays demonstrated space for erupting teeth and a Class II malocclusion. The CBCT showed reduced adenoid size following surgery and a stable MCA of 108 mm. The palatal width increased to nearly 35 mm.

Following tonsillectomy and adenoidectomy, the patient’s parent reported resolution of snoring and bruxism, improved sleep quality, and noticeable improvement in daytime appearance.

The Breathing Blueprint
Fig. 1

The Breathing Blueprint
Fig. 2

The Breathing Blueprint
Fig. 3

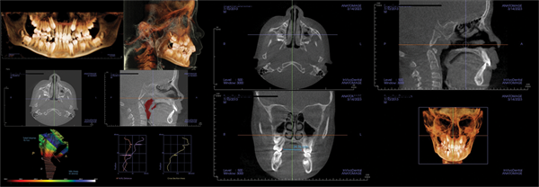
Patient two: Palatal expansion and Phase I (Figs. 4–7)
The second patient was a 7½-year-old boy referred for crowding. During the examination, it was noted that he snored, was a mouth breather, and had nocturia.

The facial examination showed well-balanced jaw relationships and narrow smile bones, resulting in a lack of a full smile. The panoramic X-ray showed anterior crowding, adequate room for the second molars, and a Class II tendency. The lateral X-ray confirmed the Class II tendency.

The airway view on CBCT demonstrated an MCA of 60 and enlarged adenoids. The palatal width was 28 mm. The parents were advised to consult an ENT surgeon, and Phase I treatment was initiated to include palatal expansion.

Following expansion, and before completing Phase I treatment with aligners, the MCA increased to more than 200 mm. The palatal width increased to 34 mm. The ENT surgeon did not recommend surgical intervention at that time. The parents reported improved sleep and resolution of enuresis.

The Breathing Blueprint
Fig. 4

The Breathing Blueprint
Fig. 5

The Breathing Blueprint
Fig. 6

The Breathing Blueprint
Fig. 7

Patient three: Palatal expansion and Phase I (Figs. 8–11)
The third patient was referred for crowding. During the examination, the mother reported that the patient snored, experienced night terrors, and did not sleep well.

The facial examination showed an angular facial form, lack of a full smile, and crowding. A tongue tie was noted, along with a dark buccal corridor. The panoramic evaluation indicated nearly adequate room for the second molars and a Class II tendency. The lateral X-ray confirmed these findings.

The airway section of the CBCT demonstrated an MCA of 51 mm and enlarged tonsils and adenoids. The palatal width was 29 mm.

The family reported that the night terrors subsided and that sleep quality improved significantly over the following year.

The Breathing Blueprint
Fig. 8

The Breathing Blueprint
Fig. 9

The Breathing Blueprint
Fig. 10

The Breathing Blueprint
Fig. 11

Patient four: Surgical intervention in an adult (Figs. 12–15)
The fourth patient, a 32-year-old woman, presented for an orthodontic examination with a desire to align her teeth. During the examination and discussion, she reported poor sleep and a prior diagnosis of OSA. Her AHI was 77.

CBCT evaluation confirmed these findings. The skeletal examination revealed a slight Class III tendency with a balanced smile.

The panoramic X-ray showed a full complement of teeth with no third molars. The lateral X-ray confirmed the Class III tendency. Her airway MCA measured 74 mm, and her palatal width was 33 mm.

The patient was referred for maxillomandibular advancement (MMA) surgery, with orthodontic preparation. Following surgery, her sleep normalized, with a post-treatment AHI of 1.5 and an MCA of 289 mm. Her facial appearance was relaxed and well-balanced. The patient indicated she would make the same decision again.

The Breathing Blueprint
Fig. 12

The Breathing Blueprint
Fig. 13

The Breathing Blueprint
Fig. 14

The Breathing Blueprint
Fig. 15

Conclusion
The patients presented responded well to the treatments provided, with improvements in breathing and sleep reported in each case. Although our practice does not identify itself as an “airway” practice, we obtain a comprehensive health history, perform a CBCT evaluation, and provide photographic documentation for all new patients. During the consultation process, we review these findings with patients and parents, and it is often through this discussion that sleep and breathing concerns are identified. When indicated, appropriate screening questionnaires are then completed. We have found this approach to be less intimidating for families and more conducive to meaningful dialogue.

I recognize the controversies regarding airway orthodontics. Even recently, commentary in an online forum questioned the level of scientific evidence supporting certain airway-related interventions. The literature and case experiences presented here suggest that, within the scope of orthodontic practice, meaningful improvements in airway function and patient well-being can occur when appropriate diagnosis and interdisciplinary care are pursued. 


References

1. Angle EH. Treatment of malocclusion of the teeth. SS White Dental Manufacturing Co; 1907.
2. McNamara JA Jr. Influence of respiratory pattern on craniofacial growth. Angle Orthod. 1981;51(4):269.
3. American Association of Orthodontists. Obstructive sleep apnea and orthodontics: an AAO white paper. Am J Orthod Dentofacial Orthop. 2019;156(1):13–28.
4. Chmura L. Obstructive sleep apnea and the orthodontist. J Clin Orthod. 2022;56:9–22.
5. Yoon A. A roadmap of craniofacial growth modification for children with sleep-disordered breathing: a multidisciplinary proposal. Sleep. 2023;46(3):zsac321.
6. Grob D. The pediatric new patient examination. Orthotown. November 2022.
7. McNamara JA Jr. Maxillary transverse discrepancy. Am J Orthod Dentofacial Orthop. 2000;117(5):567–570.


Author Bio
Dr. Daniel J. Grob Dr. Daniel J. Grob completed his dental, orthodontic and prosthodontic schooling at the Marquette University School of Dentistry. He has practiced in Tucson and Phoenix, Arizona, for more than four decades. Grob is a diplomate of the American Board of Orthodontics, a member of the American Association of Orthodontics and the American Dental Association, and the former editorial director of Orthotown magazine. Grob is a member of the Orthotown editorial advisory board.



Sponsors
The Orthotown Team, Farran Media Support
Phone: +1-480-445-9710
Email: support@orthotown.com
©2026 Orthotown, a division of Farran Media • All Rights Reserved
9633 S. 48th Street Suite 200 • Phoenix, AZ 85044 • Phone:+1-480-598-0001 • Fax:+1-480-598-3450