Managing Asymmetry in an Adult Skeletal Class II Patient

Categories: Orthodontics;
Managing Asymmetry in an Adult Skeletal Class II Patient
Straight Talk draws its cases and discussions from the Orthotown message boards. Written by the editorial team with the assistance of AI, each article showcases how orthodontists tackle unusual and challenging scenarios.
Adult patients seeking orthodontic treatment often present with concerns that appear straightforward on the surface but reveal significant complexity upon examination. In a recent Orthotown message board discussion, clinicians debated management options for a 26-year-old woman whose chief complaint was simply wanting to straighten her teeth.

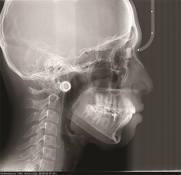
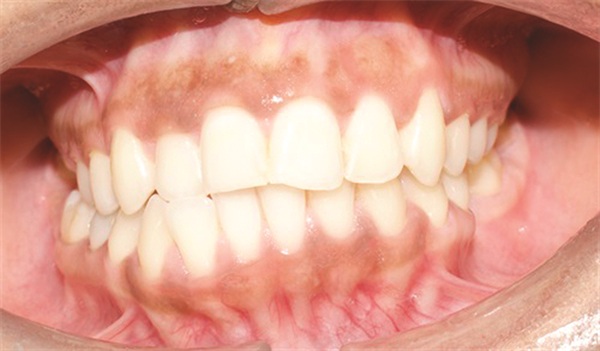
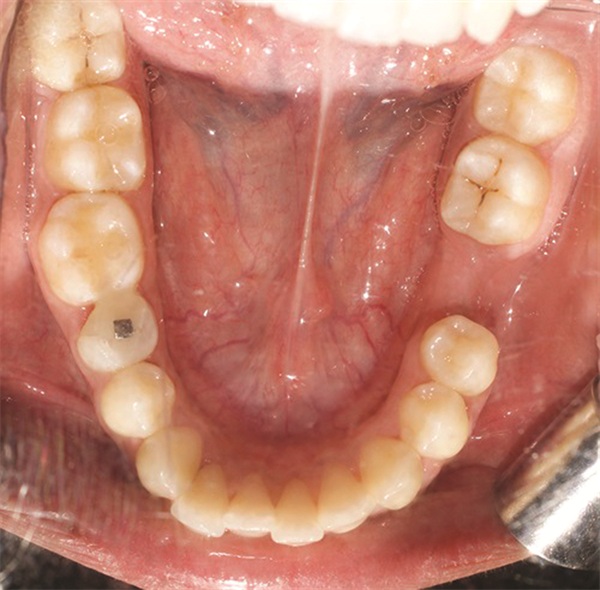
The diagnostic findings told a more complicated story. The patient presented with a skeletal Class II relationship, bilateral Class I molar and canine relationships, collapsed arches, and proclined incisors in both arches. Both midlines were shifted to the right. She also exhibited crossbite of the upper right first molar and upper right lateral incisor, a discrepancy between centric relation and centric occlusion, and a noticeable cant in the lower anterior segment. Her dental history included previous extractions of the upper right third molar and upper left second molar (Figs. 1–12).
Managing Asymmetry in an Adult Skeletal Class II Patient
Fig. 1
Managing Asymmetry in an Adult Skeletal Class II Patient
Fig. 2
Managing Asymmetry in an Adult Skeletal Class II Patient
Fig. 3
Managing Asymmetry in an Adult Skeletal Class II Patient
Fig. 4
Managing Asymmetry in an Adult Skeletal Class II Patient
Fig. 5
Managing Asymmetry in an Adult Skeletal Class II Patient
Fig. 6
Managing Asymmetry in an Adult Skeletal Class II Patient
Fig. 7
Managing Asymmetry in an Adult Skeletal Class II Patient
Fig. 8
Managing Asymmetry in an Adult Skeletal Class II Patient
Fig. 9
Managing Asymmetry in an Adult Skeletal Class II Patient
Fig. 10
Managing Asymmetry in an Adult Skeletal Class II Patient
Fig. 11
Managing Asymmetry in an Adult Skeletal Class II Patient
Fig. 12

Given the skeletal discrepancy and asymmetry, the original poster’s first inclination was surgical treatment. The question posed to the forum was whether the case could be managed orthodontically with the assistance of temporary anchorage devices, and what a reasonable nonsurgical treatment plan might involve.

One contributor suggested a camouflage approach that included extraction of the upper left second premolar, closure of lower left spaces, and strategic use of temporary anchorage devices for anchorage control. Bracket positioning would be adjusted to improve the cant, and vertical curvatures placed in the archwire could help refine the occlusal plane. The clinician emphasized, however, that such an approach would not address the underlying skeletal discrepancy, and the patient should be informed that some degree of cant may remain at the finish.

Other orthodontists raised additional considerations. One pointed out that while the intraoral images appeared canted, the extraoral photograph did not clearly demonstrate a maxillary cant. The patient’s lips showed some asymmetry when smiling, which might influence how aggressively the occlusal plane should be corrected. In certain cases, maintaining minor occlusal cant may harmonize better with the soft tissue presentation.

Concerns were also expressed about the lower left posterior region, where bone appeared narrow. Before committing to asymmetric extraction mechanics, members advised evaluating whether space closure would be biologically feasible or whether grafting might be necessary. The potential for periodontal attachment loss in the lower left quadrant was specifically mentioned as a risk that should be discussed with the patient.

The original poster clarified that treatment had begun with a quad helix to move the upper right first molar buccally out of crossbite and asked for additional clarification on the wire technique being described. Other members noted they used stainless steel wire with up and down curves placed as needed to address mild canting, similar to the approach used when adding a reverse curve to an archwire.

Throughout the discussion, a common theme emerged: While orthodontic camouflage with temporary anchorage device support may produce meaningful improvement, it cannot correct a skeletal Class II discrepancy. The decision ultimately depends on patient goals, willingness to consider surgery, and acceptance of a compromised but aesthetically improved outcome.

The thread underscores the balance clinicians must strike when treating adult patients with skeletal asymmetry. When surgery is declined or deemed unnecessary by the patient, orthodontic treatment can still offer significant benefits, but only with careful diagnosis, realistic expectations, and transparent communication about limitations.

When managing adult Class II cases with cant and midline deviation, how do you determine when camouflage is appropriate and when surgical referral remains the better option? 

Join the Conversation!


Sponsors
Townie® Poll
Historically, which area has the most turnover in your office?
  
The Orthotown Team, Farran Media Support
Phone: +1-480-445-9710
Email: support@orthotown.com
©2026 Orthotown, a division of Farran Media • All Rights Reserved
9633 S. 48th Street Suite 200 • Phoenix, AZ 85044 • Phone:+1-480-598-0001 • Fax:+1-480-598-3450